免费电话:400-9961-933
邮箱:info@sabbiotech.com
欢迎光临本站
川博智能体 English
位置: 首页 > 重组兔单抗 > CD133 Rabbit mAb

CD133 Rabbit mAb#56954

是否有货: Yes
产品详情

产品名称CD133 Rabbit mAb

来源种属Recombinant Rabbit

克隆性Monoclonal

亚型Rabbit IgG

纯化Affinity-chromatography

应用WB IHC

种属反应性Human

特异性CD133 Antibody detects endogenous levels of total CD133

免疫原描述A synthesized peptide derived from human CD133

标记Unconjugated

别名AC133; CD133; CORD12; hProminin; MCDR2; PROM1; Prominin like 1; Prominin1; PROML1; RP41; STGD4

数据库入口号Uniprot:O43490

Uniprot O43490

计算分子量97kDa

实际分子量133kDa

配方Rabbit IgG in phosphate buffered saline , pH 7.4, 150mM NaCl, 0.02% sodium azide and 50% glycerol.

保存Store at +4˚C short term. Store at -20˚C long term. Avoid freeze / thaw cycle.

应用详情
WB:1:500~1:2000
IHC:1:50~1:200
Western blot analysis of CD133 expression in HT-29 cell lysate.
All lanes : CD133 Rabbit mAb at 1/1k dilution
Lane 1 : Wild-type HAP1 cell lysate
Lane 2 : CD133 knockout HAP1 cell lysate
Lysates/proteins at 20 µg per lane.
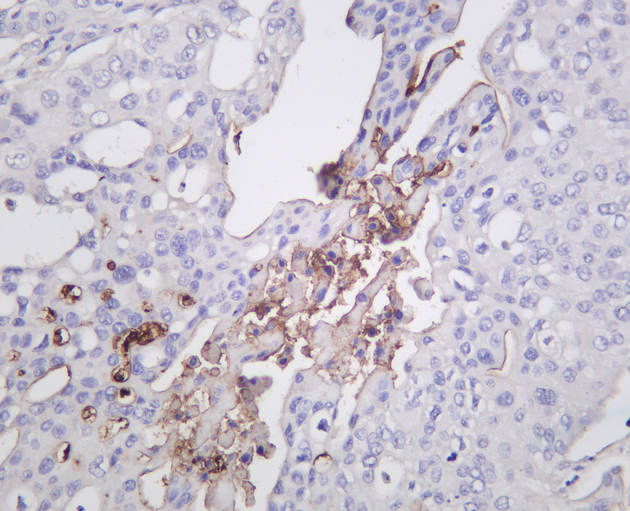
Formalin-fixed, paraffin-embedded Human bladder carcinoma tissue stained for CD133 using 56954 at 1/100 dilution in immunohistochemical analysis.

如果您使用该产品56954发表了文章,请通知我们,让我们可以引用您的文献。

注释

应用

  • WB免疫印迹
  • IHC免疫组化
  • IF免疫荧光
  • ICC免疫细胞化学
  • FC流式细胞
  • IP免疫沉淀
  • E酶联免疫吸附法
  • DB免疫斑点法
  • ChIP染色质免疫沉淀
  • GICA胶体金免疫层析法
  • NC阴性对照

种属反应性

  • Hu
  • Ms小鼠
  • Rt大鼠
  • Dm果蝇
  • C线虫
  • Mk
  • Rb
  • B
  • D
  • P
  • Hm仓鼠
  • ChHm中国仓鼠
  • Chk
;

联系我们

Location :

南京市高新开发区星火路10号人才大厦C座

Phone :

400-9961-933
025-58868422

Email Address

info@sabbiotech.com