免费电话:400-9961-933
邮箱:info@sabbiotech.com
欢迎光临本站
川博智能体 English
位置: 首页 > 重组兔单抗 > HDAC2 Rabbit mAb

HDAC2 Rabbit mAb#48802

是否有货: Yes
产品详情

产品名称HDAC2 Rabbit mAb

克隆号SY29-02

来源种属Recombinant Rabbit

克隆性Monoclonal antibody

纯化ProA affinity purified

应用WB, ICC/IF, IHC, FC

种属反应性Human;Mouse;Rat

免疫原描述recombinant protein

标记Unconjugated

别名D10Wsu179e antibody
HD 2 antibody
HD2 antibody
HDAC 2 antibody
Hdac2 antibody
HDAC2_HUMAN antibody
Histone deacetylase 2 (HD2) antibody
Histone deacetylase 2 antibody
OTTHUMP00000017046 antibody
OTTHUMP00000227077 antibody
OTTHUMP00000227078 antibody
RPD3 antibody
transcriptional regulator homolog RPD3 antibody
YAF1 antibody
YY1 associated factor 1 antibody
YY1 transcription factor binding protein antibody
Yy1bp antibody

数据库入口号Swiss-Prot#:Q92769

Uniprot Q92769

计算分子量55 kDa

实际分子量55 kDa

配方1*TBS (pH7.4), 1%BSA, 40%Glycerol. Preservative: 0.05% Sodium Azide.

保存Store at -20˚C

应用详情
WB: 1:1,000-1:2,000
IHC: 1:50-1:200
ICC/IF: 1:50-1:200
FC: 1:50-1:100
Immunohistochemical analysis of paraffin-embedded rat spinal cord tissue using anti-HDAC2 antibody. Counter stained with hematoxylin.
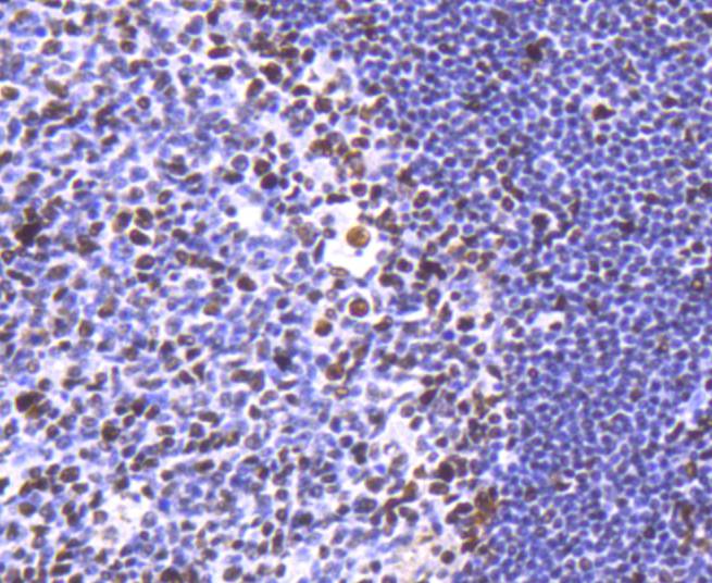
Immunohistochemical analysis of paraffin-embedded human tonsil tissue using anti-HDAC2 antibody. Counter stained with hematoxylin.
Immunohistochemical analysis of paraffin-embedded human breast carcinoma tissue using anti-HDAC2 antibody. Counter stained with hematoxylin.
Immunohistochemical analysis of paraffin-embedded mouse spinal cord tissue using anti-HDAC2 antibody. Counter stained with hematoxylin.
ICC staining HDAC2 in Hela cells (green). The nuclear counter stain is DAPI (blue). Cells were fixed in paraformaldehyde, permeabilised with 0.25% Triton X100/PBS.
ICC staining HDAC2 in SHG-44 cells (green). The nuclear counter stain is DAPI (blue). Cells were fixed in paraformaldehyde, permeabilised with 0.25% Triton X100/PBS.
ICC staining HDAC2 in 293 cells (green). The nuclear counter stain is DAPI (blue). Cells were fixed in paraformaldehyde, permeabilised with 0.25% Triton X100/PBS.
Flow cytometric analysis of Hela cells with HDAC2 antibody at 1/50 dilution (red) compared with an unlabelled control (cells without incubation with primary antibody; black). Alexa Fluor 488-conjugated goat anti rabbit IgG was used as the secondary antibody.
All lanes : HDAC2 Rabbit mAb at 1/1k dilution
Lane 1 : C6 cell lysate
Lane 2 : Hela cell lysate
Lane 3 : NIH-3T3 cell lysate
Lane 4 : K562 cell lysate
Lane 5 : A431 cell lysate
Lane 6 : HepG2 cell lysate
Lysates/proteins at 20 µg per lane.
Predicted band size: 55kDa
Observed band size: 55kDa
All lanes : HDAC2 Rabbit mAb at 1/1k dilution
Lane 1 : Wild-type HAP1 cell lysate
Lane 2 : HDAC2 knockout HAP1 cell lysate
Lysates/proteins at 20 µg per lane.
In the intact cell, DNA closely associates with histones and other nuclear proteins to form chromatin. The remodeling of chromatin is believed to be a critical component of transcriptional regulation, and a major source of this remodeling is brought about by the acetylation of nucleosomal histones. Acetylation of lysine residues in the amino terminal tail domain of histone results in an allosteric change in the nucleosomal conformation and an increased accessibility to transcription factors by DNA. Conversely, the deacetylation of histones is associated with transcriptional silencing. Several mammalian proteins have been identified as nuclear histone acetylases, including GCN5, PCAF (for p300/CBP-associated factor), p300/CBP and the TFIID subunit TAF II p250. Mammalian HDAC1 (also designated HD1) and HDAC2 (also designated mammalian RPD3), both of which are related to the yeast transcriptional regulator Rpd3p, have been identified as histone deacetylases.

如果您使用该产品48802发表了文章,请通知我们,让我们可以引用您的文献。

注释

应用

  • WB免疫印迹
  • IHC免疫组化
  • IF免疫荧光
  • ICC免疫细胞化学
  • FC流式细胞
  • IP免疫沉淀
  • E酶联免疫吸附法
  • DB免疫斑点法
  • ChIP染色质免疫沉淀
  • GICA胶体金免疫层析法
  • NC阴性对照

种属反应性

  • Hu
  • Ms小鼠
  • Rt大鼠
  • Dm果蝇
  • C线虫
  • Mk
  • Rb
  • B
  • D
  • P
  • Hm仓鼠
  • ChHm中国仓鼠
  • Chk
;

联系我们

Location :

南京市高新开发区星火路10号人才大厦C座

Phone :

400-9961-933
025-58868422

Email Address

info@sabbiotech.com