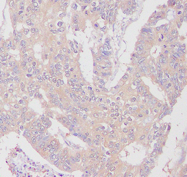
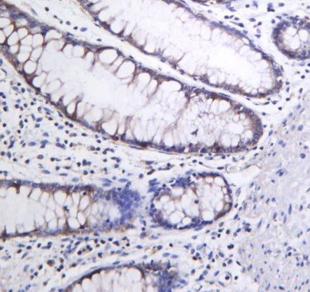
简述:Recombinant Rabbit Monoclonal
应用:WB IHC ICC/IF
种属反应性:Human;Mouse;Rat
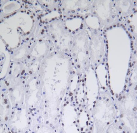
简述:Recombinant Rabbit Monoclonal
应用:WB IHC ICC/IF
种属反应性:Human;Mouse;Rat
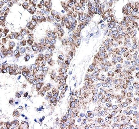
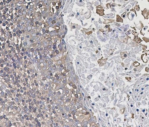
简述:Recombinant Rabbit Monoclonal
应用:WB IHC ICC/IF
种属反应性:Human;Mouse;Rat
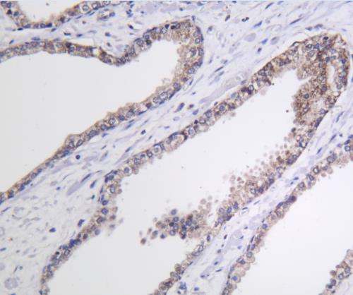
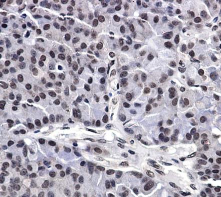
简述:Recombinant Rabbit Monoclonal
应用:WB;IHC;IF
种属反应性:Human;Mouse;Rat
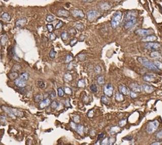
简述:Recombinant Rabbit Monoclonal
应用:WB IHC ICC/IF IP FC
种属反应性:Human;Mouse;Rat
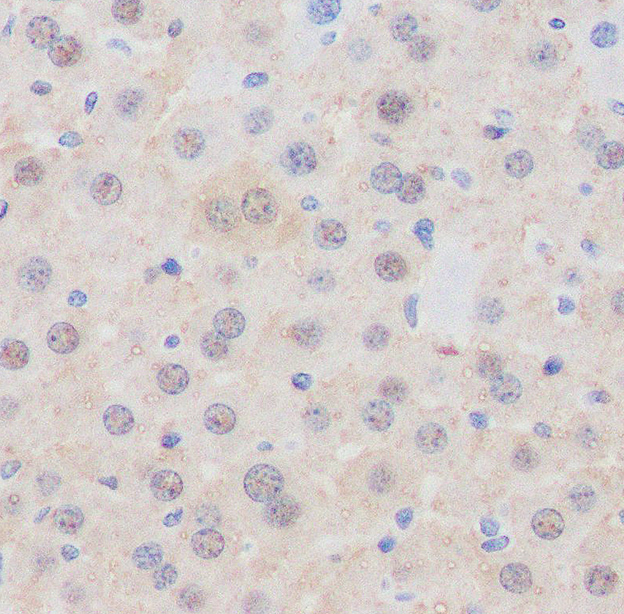
简述:Recombinant Rabbit Monoclonal
应用:WB IHC ICC/IF
种属反应性:Human
简述:Recombinant Rabbit Monoclonal
应用:WB IHC
种属反应性:Human;Mouse;Rat
简述:Recombinant Rabbit Monoclonal
应用:WB
种属反应性:Human;Mouse;Rat
简述:Recombinant Rabbit Monoclonal
应用:WB IHC ICC/IF
种属反应性:Human;Mouse;Rat