简述:Rabbit Polyclonal
应用:WB
种属反应性:Human
简述:Rabbit Polyclonal
应用:WB
种属反应性:Human
简述:Rabbit Polyclonal
应用:WB
种属反应性:Human
简述:Rabbit Polyclonal
应用:WB
种属反应性:Human
简述:Rabbit Polyclonal
应用:WB
种属反应性:Human
简述:Rabbit Polyclonal
应用:WB
种属反应性:Human
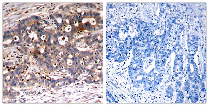
简述:Rabbit Polyclonal
应用:WB IHC IF
种属反应性:Human
简述:Rabbit Polyclonal
应用:IF
种属反应性:Human
简述:Rabbit Polyclonal
应用:WB IF
种属反应性:Human
简述:Rabbit Polyclonal
应用:WB IHC IF
种属反应性:Human
简述:Rabbit Polyclonal
应用:WB
种属反应性:Virus