免费电话:400-9961-933
邮箱:info@sabbiotech.com
欢迎光临本站
川博智能体 English
位置: 首页 > 磷酸化抗体 > JAK1(Phospho-Tyr1034) Antibody

JAK1(Phospho-Tyr1034) Antibody#11149

是否有货: 有货
产品详情

产品名称JAK1(Phospho-Tyr1034) Antibody

来源种属Rabbit

克隆性Polyclonal

纯化Antibodies were produced by immunizing rabbits with synthetic phosphopeptide and KLH conjugates. Antibodies were purified by affinity-chromatography using epitope-specific phosphopeptide. Non-phospho specific antibodies were removed by chromatogramphy using non-phosphopeptide.

应用WB IHC IF

种属反应性Human;Mouse;Rat

特异性The antibody detects endogenous level of JAK1 only when phosphorylated at tyrosine 1034.

免疫原类型Peptide-KLH

免疫原描述Peptide sequence around phosphorylation site of tyrosine 1034 (K-E-Y(p)-Y-T) derived from Human JAK1.

基因/蛋白名称JAK1

标记Unconjugated

别名Janus kinase 1

数据库入口号Swiss-Prot: P23458
NCBI Protein: NP_002218.2

Uniprot P23458

浓度1.0mg/ml

配方Liquid in PBS containing 50% glycerol, 0.5% BSA and 0.02% sodium azide.

保存Store at -20°C for long term preservation (recommended). Store at 4°C for short term use.

应用详情
WB 1:200-1:1000; IHC 1:100-1:300; IF 1:50-200
Western Blot analysis of various cells using Phospho-JAK1 (Y1034) Polyclonal Antibody diluted at 1:500
Western blot analysis of lysates from A549 cells , using JAK1 (Phospho-Tyr1034) Antibody. The lane on the right is blocked with the phospho peptide.
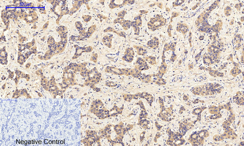
Immunohistochemical analysis of paraffin-embedded Human-liver-cancer tissue. 1,JAK1 (phospho Tyr1034) Polyclonal Antibody was diluted at 1:200(4°C,overnight). 2, Sodium citrate pH 6.0 was used for antibody retrieval(>98°C,20min). 3,Secondary antibody was diluted at 1:200(room tempeRature, 30min). Negative control was used by secondary antibody only.
Immunofluorescence analysis of mouse-liver tissue. 1,JAK1 (phospho Tyr1034) Polyclonal Antibody(red) was diluted at 1:200(4°C,overnight). 2, Cy3 labled Secondary antibody was diluted at 1:300(room temperature, 50min).3, Picture B: DAPI(blue) 10min. Picture A:Target. Picture B: DAPI. Picture C: merge of A+B

Tyrosine kinase of the non-receptor type, involved in the IFN-a/beta/gamma signal pathway. Kinase partner for the interleukin (IL)-2 receptor.

Zheng H, et al.(2005)Mol Cell Proteomics. 4(6):721-730.
Wang R, et al.(2003) Arch Biochem Biophys. 410(1): 7-15.

如果您使用该产品11149发表了文章,请通知我们,让我们可以引用您的文献。

et al,Zap70 Functions to Maintain Stemness of Mouse Embryonic Stem Cells by Negatively Regulating Jak1/Stat3/c-Myc Signaling. , (2010),
PMID: 20641039
et al,A thiazole-derived oridonIn analogue exhibits antitumor activity by directly and allosterically InhibitIng STAT3. In J Biol Chem on 2019 Nov 15;by Shen X, Zhao L,et al..PMID:31594861 , (2019),
PMID: 31594861
et al,Zap70 functions to maintain stemness of mouse embryonic stem cells by negatively regulating Jak1/Stat3/c鈥怣yc signaling.In Stem Cells on 2010 Sep by Young Cha , Bo-hyun Moon, et al..PMID:20641039 , (2010),
PMID: 20641039
et al,Down-regulation of JAK1 by RNA interference inhibits growth of the lung cancer cell line A549 and interferes with the PI3K/mTOR pathway. In J Cancer Res Clin Oncol on 2011 Nov by Dan Liu, Yi Huang, et al..PMID:21861134 , (2011),
PMID: 21861134
et al,Notch-induced hIL-6 production facilitates the maintenance of self-renewal of hCD34+ cord blood cells through the activation of Jak-PI3K-STAT3 pathway. In Am J Pathol on 2012 Jan by Bongkum Choi, Eunyoung Chun, et al..PMID:22062221 , (2012),
PMID: 22062221
et al,Activation of Janus kinase 1 confers poor prognosis in patients with non鈥憇mall cell lung cancer.In Oncol Lett on 2017 Oct by Dan Liu, Yi Huang ,et al..PMID: 28989534 , (2017),
PMID: 28989534
et al,Salinomycin promotes T-cell proliferation by inhibiting the expression and enzymatic activity of immunosuppressive indoleamine-2,3-dioxygenase in human breast cancer cells. In Toxicol Appl Pharmacol on 2020 Oct 1 by Yuwen Sheng, Zhonghui Zhang, et al..PMID:32822738 , (2020),
PMID: 32822738
查看更多
et al,A 2-Benzylmalonate Derivative as STAT3 Inhibitor Suppresses Tumor Growth in Hepatocellular Carcinoma by Upregulating β-TrCP E3 Ubiquitin Ligase. In Int J Mol Sci on 2021 Mar 25 by Ting Peng, Orawan Wonganan, et al..PMID:33805945 , (2021),
PMID: 33805945
et al,Dietary quercetin potentiates the antiproliferative effect of interferon-α in hepatocellular carcinoma cells through activation of JAK/STAT pathway signaling by inhibition of SHP2 phosphatase , (2017),
PMID: 29371942
et al,[HTML][HTML] Structure-Affinity Driven Repurposing of Natural Compounds and Herbal Prescriptions for Ulcerative Colitis and Psoriasis , (2025),
PMID: 40582205

注释

应用

  • WB免疫印迹
  • IHC免疫组化
  • IF免疫荧光
  • ICC免疫细胞化学
  • FC流式细胞
  • IP免疫沉淀
  • E酶联免疫吸附法
  • DB免疫斑点法
  • ChIP染色质免疫沉淀
  • GICA胶体金免疫层析法
  • NC阴性对照

种属反应性

  • Hu
  • Ms小鼠
  • Rt大鼠
  • Dm果蝇
  • C线虫
  • Mk
  • Rb
  • B
  • D
  • P
  • Hm仓鼠
  • ChHm中国仓鼠
  • Chk
;

联系我们

Location :

南京市高新开发区星火路10号人才大厦C座

Phone :

400-9961-933
025-58868422

Email Address

info@sabbiotech.com