免费电话:400-9961-933
邮箱:info@sabbiotech.com
欢迎光临本站
川博智能体 English
位置: 首页 > 磷酸化抗体 > AMPKα1/AMPKα2(Phospho-Thr183/Thr172) Antibody

AMPKα1/AMPKα2(Phospho-Thr183/Thr172) Antibody#11183

是否有货: 有货
产品详情

产品名称AMPKα1/AMPKα2(Phospho-Thr183/Thr172) Antibody

来源种属Rabbit

克隆性Polyclonal

纯化The antibody was affinity-purified from rabbit antiserum by affinity-chromatography using epitope-specific immunogen.

应用WB;IHC;IF

种属反应性Human;Mouse;Rat

特异性The antibody detects endogenous level of AMPKα1/AMPKα2 only when phosphorylated at threonine 183 or 172.

免疫原类型Peptide-KLH

免疫原描述The antiserum was produced against synthesized peptide derived from human AMPK alpha around the phosphorylation site of Thr172.

基因/蛋白名称AMPKα1/AMPKα2

标记Unconjugated

别名AMPK; AMPKa1; AMPK2

数据库入口号Swiss-Prot: Q13131/P54646; NCBI Gene ID: 5562/5563; NCBI mRNA: NM_006251.5/ NM_006252.3; NCBI Protein: NP_006242.5 /NP_006243.2

Uniprot Q13131

实际分子量63

浓度1.0mg/ml

配方Liquid in PBS containing 50% glycerol, 0.5% BSA and 0.02% sodium azide.

保存Store at -20°C

应用详情
WB 1:500-1:2000
IHC 1:100-1:300
IF 1:50-200;
Western Blot analysis of various cells using Phospho-AMPKα1/2 (T183/172) Polyclonal Antibody diluted at 1:500
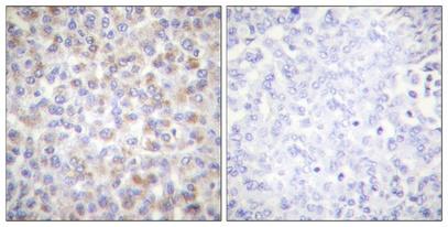
Immunohistochemical analysis of paraffin-embedded Human breast cancer. Antibody was diluted at 1:100(4° overnight). High-pressure and temperature Tris-EDTA,pH8.0 was used for antigen retrieval. Negetive contrl (right) obtaned from antibody was pre-absorbed by immunogen peptide.
Immunofluorescence analysis of Hela cell. 1,AMPKα1/2 (phospho Thr183/172) Polyclonal Antibody(green) was diluted at 1:200(4° overnight). (red) was diluted at 1:200(4° overnight). 2, Goat Anti Rabbit Alexa Fluor 488 was diluted at 1:1000(room temperature, 50min). Goat Anti Mouse Alexa Fluor 594 was diluted at 1:1000(room temperature, 50min).

 Catalytic subunit of AMP-activated protein kinase (AMPK), an energy sensor protein kinase that plays a key role in regulating cellular energy metabolism. In response to reduction of intracellular ATP levels, AMPK activates energy-producing pathways and inhibits energy-consuming processes: inhibits protein, carbohydrate and lipid biosynthesis, as well as cell growth and proliferation. AMPK acts via direct phosphorylation of metabolic enzymes, and by longer-term effects via phosphorylation of transcription regulators. Also acts as a regulator of cellular polarity by remodeling the actin cytoskeleton; probably by indirectly activating myosin. Regulates lipid synthesis by phosphorylating and inactivating lipid metabolic enzymes such as ACACA, ACACB, GYS1, HMGCR and LIPE; regulates fatty acid and cholesterol synthesis by phosphorylating acetyl-CoA carboxylase (ACACA and ACACB) and hormone-sensitive lipase (LIPE) enzymes, respectively. Regulates insulin-signaling and glycolysis by phosphorylating IRS1, PFKFB2 and PFKFB3. AMPK stimulates glucose uptake in muscle by increasing the translocation of the glucose transporter SLC2A4/GLUT4 to the plasma membrane, possibly by mediating phosphorylation of TBC1D4/AS160. Regulates transcription and chromatin structure by phosphorylating transcription regulators involved in energy metabolism such as CRTC2/TORC2, FOXO3, histone H2B, HDAC5, MEF2C, MLXIPL/ChREBP, EP300, HNF4A, p53/TP53, SREBF1, SREBF2 and PPARGC1A. Acts as a key regulator of glucose homeostasis in liver by phosphorylating CRTC2/TORC2, leading to CRTC2/TORC2 sequestration in the cytoplasm. In response to stress, phosphorylates 'Ser-36' of histone H2B (H2BS36ph), leading to promote transcription. Acts as a key regulator of cell growth and proliferation by phosphorylating TSC2, RPTOR and ATG1: in response to nutrient limitation, negatively regulates the mTORC1 complex by phosphorylating RPTOR component of the mTORC1 complex and by phosphorylating and activating TSC2. In response to nutrient limitation, promotes autophagy by phosphorylating and activating ULK1. AMPK also acts as a regulator of circadian rhythm by mediating phosphorylation of CRY1, leading to destabilize it. May regulate the Wnt signaling pathway by phosphorylating CTNNB1, leading to stabilize it. Also has tau-protein kinase activity: in response to amyloid beta A4 protein (APP) exposure, activated by CAMKK2, leading to phosphorylation of MAPT/TAU; however the relevance of such data remains unclear in vivo. Also phosphorylates CFTR, EEF2K, KLC1, NOS3 and SLC12A1.

如果您使用该产品11183发表了文章,请通知我们,让我们可以引用您的文献。

et al,Gemcitabine induces apoptosis and autophagy via the AMPK/mTOR signaling pathway in pancreatic cancer cells,In Biotechnol Appl Biochem. On 2018 Sep by Zhu J, Chen Y et al..PMID: 29575133 , (2018),
PMID: 29575133
et al,Eupatilin ameliorates dextran sulphate sodium-induced colitis in mice partly through promoting AMPK activation. In Phytomedicine. On 2018 Jul 15 by Zhou K, Cheng R et al..PMID:30097122 , (2018),
PMID: 30097122
et al,Concurrent Control of the Kaposi's Sarcoma-Associated Herpesvirus Life Cycle through Chromatin Modulation and Host Hedgehog Signaling: a New Prospect for the Therapeutic Potential of Lipoxin A4.In J Virol on 2020 Apr 16 by Asha K, Balfe N,et al..PMID:32102879 , (2020),
PMID: 32102879
et al,FSTL1 as a Potential Mediator of Exercise-Induced Cardioprotection in Post-Myocardial Infarction Rats.In Sci Rep on 2016 Aug 26 by Yue Xi, Da-Wei Gong et al..PMID: 27561749 , (2016),
PMID: 27561749
et al,Glutaredoxins concomitant with optimal ROS activate AMPK through S-glutathionylation to improve glucose metabolism in type 2 diabetes.In Free Radic Biol Med.On 2016 Dec by Dong K, Wu M et al..PMID:27743883 , (2016),
PMID: 27743883
et al,Neuronal Ca2+ sensor-1 contributes to stress tolerance in cardiomyocytes via activation of mitochondrial detoxification pathways.In J Mol Cell Cardiol on 2016 Oct by Tomoe Y Nakamura, Shu Nakao et al..PMID:27555477 , (2016),
PMID: 27555477
et al,MACC1 mediates acetylcholine-induced invasion and migration by human gastric cancer cells.In Oncotarget on 2016 Apr 5 by Ting Yang, Wanming He et al..PMID: 26919111 , (2016),
PMID: 26919111
查看更多
et al,Hepatic AMPK activation in response to dynamic REDOX balance is a biomarker of exercise to improve blood glucose control. In Elife on 2022 Sep 26 by Meiling Wu, Anda Zhao, et al..PMID:36155132 , (2022),
PMID: 36155132
et al,Hepatic AMPK signaling dynamic activation in response to REDOX balance are sentinel biomarkers of exercise and antioxidant intervention to improve blood glucose control. In Elife on 2022 Sep 26 by Meiling Wu, Anda Zhao, et al..PMID:36155132 , (2022),
PMID: 36155132
et al,OR2H2 Activates CAMKKβ–AMPK–Autophagy Signaling Axis and Suppresses Senescence in VK2/E6E7 CellsInPharmaceuticals (Basel)On2023 SepbyJi Min Kim, Sina Dziobaka et al..PMID:37765029 , (2023),
PMID: 37765029
et al,The AMPK-dependent inhibition of autophagy plays a crucial role in protecting photoreceptor from photooxidative injury In J Photochem Photobiol B On2023 AugbyYu-Lin Li , Tian-Zi Zhang et al..PMID:37302163 , (2023),
PMID: 37302161
et al,Docosahexaenoic Acid Coordinating with Sodium Selenite Promotes Paraptosis in Colorectal Cancer Cells by Disrupting the Redox Homeostasis and Activating the MAPK Pathway. In Nutrients on 2024 Jun 1 by Sheng Zhao, Yuzhou Meng,et al..PMID:38892670 , (2024),
PMID: 38892670
et al,Potential Mechanisms for Shenling Baizhu Powder in the Treatment of MAFLD Based on Network Pharmacology and Experimental Validation , (2025),
PMID:
et al,A Novel CYP2E1 Inhibitor, 4‐Methyl‐5‐Acetylthiazole (Q11), Alleviates Obesity Via Modulating Adipose Inflammation and Mitochondrial Dysfunction , (2025),
PMID: 41420839

注释

应用

  • WB免疫印迹
  • IHC免疫组化
  • IF免疫荧光
  • ICC免疫细胞化学
  • FC流式细胞
  • IP免疫沉淀
  • E酶联免疫吸附法
  • DB免疫斑点法
  • ChIP染色质免疫沉淀
  • GICA胶体金免疫层析法
  • NC阴性对照

种属反应性

  • Hu
  • Ms小鼠
  • Rt大鼠
  • Dm果蝇
  • C线虫
  • Mk
  • Rb
  • B
  • D
  • P
  • Hm仓鼠
  • ChHm中国仓鼠
  • Chk
;

联系我们

Location :

南京市高新开发区星火路10号人才大厦C座

Phone :

400-9961-933
025-58868422

Email Address

info@sabbiotech.com