免费电话:400-9961-933
邮箱:info@sabbiotech.com
欢迎光临本站
川博智能体 English
位置: 首页 > 磷酸化抗体 > PI3 Kinase p85/p55 (phospho-Tyr467/199)Antibody

PI3 Kinase p85/p55 (phospho-Tyr467/199)Antibody#11508

是否有货: 有货
产品详情

产品名称PI3 Kinase p85/p55 (phospho-Tyr467/199)Antibody

来源种属Rabbit

克隆性Polyclonal

亚型IgG

纯化Antibodies were produced by immunizing rabbits with synthetic phosphopeptide and KLH conjugates. Antibodies were purified by affinity-chromatography using epitope-specific phosphopeptide. Non-phospho specific antibodies were removed by chromatogramphy using non-phosphopeptide.

应用WB,IF,IHC

种属反应性Human;Mouse;Rat

特异性The antibody detects endogenous level of total PI3 Kinase p85/p55 only when phosphorylated at tyrosine 467/199.

免疫原类型Peptide-KLH

免疫原描述Peptide sequence around phosphorylation site of tyrosine 467 (L-Y(p)-E-E-Y) derived from Human PI3 Kinase p85/p55.

基因/蛋白名称PI3 Kinase p85/p55

标记Unconjugated

别名p85, AGM7, p85-ALPHA, p55, p55-GAMMA,PIK3R1

数据库入口号Swiss-Prot: P27986 Q92569
NCBI Protein: NP_001229395.1 NP_001107644.1

Uniprot P27986

实际分子量55,85kd

浓度1.0mg/ml

配方Supplied at 1.0mg/mL in phosphate buffered saline (without Mg2+ and Ca2+), pH 7.4, 0.02% sodium azide and 50% glycerol.

保存Store at -20°C for long term preservation (recommended). Store at 4°C for short term use.

应用详情
Predicted MW: 55, 85kd
Western blotting: 1:500~1:2000
IHC:1:100~1:300
IF:1:100-1:500
Western blot analysis of extracts from 293 cells untreated or treated with sorbitol using PI3 Kinase p85/p55 (phospho-Tyr467/199)Antibody #11508.
Immunohistochemical analysis of paraffin-embedded Human-uterus tissue.
All lanes : PI3 Kinase p85/p55 (phospho-Tyr467/199) Antibody at 1/500 dilution
Lane 1 : MCF-7 whole cell lysates
Lane 2 : MCF-7 treated with 100ng/mL EGF for 15 min whole cell lysates
Lane 3 : MCF-7 treated with 200nM Dasatinib for 24hr whole cell lysates
Lane 4 : JK whole cell lysates
Lane 5 : JK treated with 2mM H2O2 for 15 min whole cell lysates
Lysates/proteins at 20 µg per lane.
Secondary
All lanes : Goat Anti-Rabbit IgG H&L (HRP) at 1/20000 dilution
Predicted band size: 55 kDa
Observed band size: 60,85 kDa
Exposure time: 9 seconds
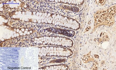
Formalin-fixed, paraffin-embedded Human-colon tissue stained for PI 3 kinase p85/p55 (Phospho Tyr467/199) Antibody was diluted at 1:200 dilution in immunohistochemical analysis.

Binds to activated (phosphorylated) protein-Tyr kinases, through its SH2 domain, and acts as an adapter, mediating the association of the p110 catalytic unit to the plasma membrane. Necessary for the insulin-stimulated increase in glucose uptake and glycogen synthesis in insulin-sensitive tissues. Binds to activated (phosphorylated) protein-tyrosine kinases through its SH2 domain and regulates their kinase activity. During insulin stimulation, it also binds to IRS-1./Binds to activated (phosphorylated) protein-tyrosine kinases, through its SH2 domain, and acts as an adapter, mediating the association of the p110 catalytic unit to the plasma membrane.

Stoyanov, B. et al. (1995) Science 269, 690-3.
Simpson, L. and Parsons, R. (2001) Exp Cell Res 264, 29-41.
Neri, L.M. et al. (2002) Biochim Biophys Acta 1584, 73-80.

如果您使用该产品11508发表了文章,请通知我们,让我们可以引用您的文献。

et al,Cardioprotection of ( %2B )-sodium 5-bromo-2-(α-hydroxypentyl) benzoate (BZP) on mouse myocardium I/R injury through inhibiting 12/15-LOX-2 activity. In J Mol Cell Cardiol on 2019 Oct by Xiao Y, Song C, et al..PMID:31362020 , (2019),
PMID: 31362020
et al,Okadaic acid promotes epithelial mesenchymal transition of hepatocellular carcinoma cells by inhibiting protein phosphatase 2A.In J Cell Biochem on 2020 Jan 6. by Kong J, Li D, et al..PMID: 31904141 , (2020),
PMID: 31587272
et al,Isoliquiritigenin inhibits the proliferation, migration and metastasis of Hep3B cells via suppressing cyclin D1 and PI3K/AKT pathway.In Biosci Rep on 2020 Jan 31; by Huang Y, Liu C, et al..PMID: 31840737 , (2020),
PMID: 31840737
et al,Positive feedback loop of FAM83A/PI3K/AKT/c-Jun induces migration, invasion and metastasis in hepatocellular carcinoma.In Biomed Pharmacother on 2020 Mar; by Liu C, Peng X et al..PMID: 31901550 , (2020),
PMID: 31901550
et al,Combination of Ruthenium Complex and Doxorubicin Synergistically Inhibits Cancer Cell Growth by Down-Regulating PI3K/AKT Signaling Pathway.In Front Oncol on 2020 Feb 18 by Lin K, Rong Y, et al..PMID:32133289 , (2020),
PMID: 32133289
et al,Dexmedetomidine protects against lipopolysaccharide-induced acute kidney injury by enhancing autophagy through inhibition of the PI3K/AKT/mTOR pathway.In Front Pharmacol. On 2020 Feb 25; by Zhao Y, Feng X, et al..PMID: 32158395 , (2020),
PMID: 32158395
et al,Angiopoietin-like 3 induces podocyte F-actin rearrangement through integrin 伪(V)尾锟?FAK/PI3K pathway-mediated Rac1 activation.In Biomed Res Int on 2013 by Lin Y, Rao J,et al..PMID:24294595 , (2013),
PMID: 24294595
查看更多
et al,Angiopoietin-Like 3 Induces Podocyte F-Actin Rearrangement through Integrin /FAK/PI3K Pathway-Mediated Rac1 Activation. In Biomed Res Int on 2013 by Yi Lin, Jia Rao, et al..PMID: 24294595 , (2013),
PMID: 24294595
et al,An alternatively spliced variant of CXCR3 mediates the metastasis of CD133+ liver cancer cells induced by CXCL9.In Oncotarget on 2016 Mar 22 by Qiang Ding, Yujia Xia et al..PMID:26883105 , (2016),
PMID: 26883105
et al,A Novel Long Non-Coding RNA lnc030 Maintains Breast Cancer Stem Cell Stemness by Stabilizing SQLE mRNA and Increasing Cholesterol Synthesis.In Adv Sci (Weinh) On 2020 Nov 30 by Yilu Qin 1,Yixuan Hou,Shuiqing Liu,et al.. , (2020),
PMID: 33511005
et al,A Novel Long Non-Coding RNA lnc030 Maintains Breast Cancer Stem Cell Stemness by Stabilizing SQLE mRNA and Increasing Cholesterol Synthesis. In Adv Sci (Weinh) on 2020 Nov 30 by Yilu Qin, Yixuan Hou,et al..PMID:33511005 , (2021),
PMID: 33511005
et al,Effect of Fushengong Decoction on PTEN/PI3K/AKT/NF-KB Pathway in Rats With Chronic Renal Failure via Dual-Dimension Network Pharmacology Strategy.In Front Pharmacol on 2022 Mar 15 by Hongyu Luo, Munan Wang,et al..PMID: 35370667 , (2022),
PMID: 35370667
et al,Monascus vinegar alleviates high-fat-diet-induced inflammation in rats by regulating the NF-κB and PI3K/AKT/mTOR pathways , (2022),
PMID:
et al,Effect of Fushengong Decoction on PTEN/PI3K/AKT/NF-κB Pathway in Rats With Chronic Renal Failure via Dual-Dimension Network Pharmacology Strategy. In Front Pharmacol on 2022 Mar 15 by Hongyu Luo, Munan Wang, et al..PMID: 35370667 , (2022),
PMID: 35370667
et al,Alleviative effects of α-lipoic acid on muscle atrophy via the modulation of TNF-α/JNK and PI3K/AKT pathways in high-fat diet and streptozotocin-induced type 2 diabetic ratsInFood Sci NutrOn2023 Jan 12byChih-Yuan Ko 1 2 3, Chi-Hao Wu et al..PMID: 37051351 , (2023),
PMID: 37051351
et al,Histone Methyltransferase KMT2B Promotes Metastasis and Angiogenesis of Cervical Cancer by Upregulating EGF ExpressionIn Int J Biol SciOn2023 Jan 15byDan Zhao , Hui Yuan et al..PMID:36594087 , (2023),
PMID: 36594087
et al,Carboxylesterase 4A Inhibits the Malignant Biological Behavior of Nasopharyngeal Carcinoma via the PI3K/AKT Pathway. , (2025),
PMID: 39912257
et al,Kaempferol targets Src to exert its chemopreventive effects on mammary tumorigenesis via regulation of the PI3K/AKT pathway , (2025),
PMID: 40220416
et al,Studies Combining Network Pharmacology with In Vivo Experiments Uncover the Fever-reducing Effects and Underlying Molecular Pathways of Radix Isatidis , (2025),
PMID: 40539351

注释

应用

  • WB免疫印迹
  • IHC免疫组化
  • IF免疫荧光
  • ICC免疫细胞化学
  • FC流式细胞
  • IP免疫沉淀
  • E酶联免疫吸附法
  • DB免疫斑点法
  • ChIP染色质免疫沉淀
  • GICA胶体金免疫层析法
  • NC阴性对照

种属反应性

  • Hu
  • Ms小鼠
  • Rt大鼠
  • Dm果蝇
  • C线虫
  • Mk
  • Rb
  • B
  • D
  • P
  • Hm仓鼠
  • ChHm中国仓鼠
  • Chk
;

联系我们

Location :

南京市高新开发区星火路10号人才大厦C座

Phone :

400-9961-933
025-58868422

Email Address

info@sabbiotech.com