免费电话:400-9961-933
邮箱:info@sabbiotech.com
欢迎光临本站
川博智能体 English
位置: 首页 > 磷酸化抗体 > P38 MAPK(Phospho-Thr180/Tyr182) antibody

P38 MAPK(Phospho-Thr180/Tyr182) antibody#11581

是否有货: 有货
产品详情

产品名称P38 MAPK(Phospho-Thr180/Tyr182) antibody

来源种属Rabbit

克隆性Polyclonal

应用WB;IHC;IF

种属反应性Human;Mouse;Rat

特异性The antibody detects endogenous level of P38 MAPK Protein only when phosphorylated at threonine 180/tyrosine 182.

免疫原类型Peptide-KLH

免疫原描述Peptide sequence around phosphorylation site of threonine 180 or tyrosine 182 (E-M-T(p)-G-Y(p)-V-A) derived from Human P38 MAPK.

基因/蛋白名称P38 MAPK

标记Unconjugated

别名RK, p38, CSBP, EXIP, Mxi2

Uniprot Q16539

Gene ID 1432

浓度1.0mg/ml

应用详情

Predicted MW: 43kd
Western blotting: 1: 500-1: 1000
IHC: 1:100-500
IF: 1:100-500

Western blot analysis of extracts from Hela cells untreated or treated with TNF¦Á+CA using P38 MAPK(Phospho-Thr180/Tyr182) Antibody #11581.
Western blotting analysis using P38 MAPK(Phospho-Thr180/Tyr182) antibody #11581.
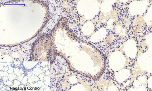
Immunohistochemical analysis of paraffin-embedded Rat-lung tissue. P38 (phospho Thr180/Y182) Polyclonal Antibody was diluted at 1:200.
Immunofluorescence analysis of Hela cell. P38 (phospho Thr180/Y182) Polyclonal Antibody(green) was diluted at 1:200.

Serine/threonine kinase which acts as an essential component of the MAP kinase signal transduction pathway. MAPK14 is one of the four p38 MAPKs which play an important role in the cascades of cellular responses evoked by extracellular stimuli such as proinflammatory cytokines or physical stress leading to direct activation of transcription factors. Accordingly, p38 MAPKs phosphorylate a broad range of proteins and it has been estimated that they may have approximately 200 to 300 substrates each. Some of the targets are downstream kinases which are activated through phosphorylation and further phosphorylate additional targets. RPS6KA5/MSK1 and RPS6KA4/MSK2 can directly phosphorylate and activate transcription factors such as CREB1, ATF1, the NF-kappa-B isoform RELA/NFKB3, STAT1 and STAT3, but can also phosphorylate histone H3 and the nucleosomal protein HMGN1. RPS6KA5/MSK1 and RPS6KA4/MSK2 play important roles in the rapid induction of immediate-early genes in response to stress or mitogenic stimuli, either by inducing chromatin remodeling or by recruiting the transcription machinery. On the other hand, two other kinase targets, MAPKAPK2/MK2 and MAPKAPK3/MK3, participate in the control of gene expression mostly at the post-transcriptional level, by phosphorylating ZFP36 (tristetraprolin) and ELAVL1, and by regulating EEF2K, which is important for the elongation of mRNA during translation. MKNK1/MNK1 and MKNK2/MNK2, two other kinases activated by p38 MAPKs, regulate protein synthesis by phosphorylating the initiation factor EIF4E2. MAPK14 interacts also with casein kinase II, leading to its activation through autophosphorylation and further phosphorylation of TP53/p53. In the cytoplasm, the p38 MAPK pathway is an important regulator of protein turnover. For example, CFLAR is an inhibitor of TNF-induced apoptosis whose proteasome-mediated degradation is regulated by p38 MAPK phosphorylation. In a similar way, MAPK14 phosphorylates the ubiquitin ligase SIAH2, regulating its activity towards EGLN3. MAPK14 may also inhibit the lysosomal degradation pathway of autophagy by interfering with the intracellular trafficking of the transmembrane protein ATG9. Another function of MAPK14 is to regulate the endocytosis of membrane receptors by different mechanisms that impinge on the small GTPase RAB5A. In addition, clathrin-mediated EGFR internalization induced by inflammatory cytokines and UV irradiation depends on MAPK14-mediated phosphorylation of EGFR itself as well as of RAB5A effectors. Ectodomain shedding of transmembrane proteins is regulated by p38 MAPKs as well. In response to inflammatory stimuli, p38 MAPKs phosphorylate the membrane-associated metalloprotease ADAM17. Such phosphorylation is required for ADAM17-mediated ectodomain shedding of TGF-alpha family ligands, which results in the activation of EGFR signaling and cell proliferation. Another p38 MAPK substrate is FGFR1. FGFR1 can be translocated from the extracellular space into the cytosol and nucleus of target cells, and regulates processes such as rRNA synthesis and cell growth. FGFR1 translocation requires p38 MAPK activation. In the nucleus, many transcription factors are phosphorylated and activated by p38 MAPKs in response to different stimuli. Classical examples include ATF1, ATF2, ATF6, ELK1, PTPRH, DDIT3, TP53/p53 and MEF2C and MEF2A. The p38 MAPKs are emerging as important modulators of gene expression by regulating chromatin modifiers and remodelers. The promoters of several genes involved in the inflammatory response, such as IL6, IL8 and IL12B, display a p38 MAPK-dependent enrichment of histone H3 phosphorylation on 'Ser-10' (H3S10ph) in LPS-stimulated myeloid cells. This phosphorylation enhances the accessibility of the cryptic NF-kappa-B-binding sites marking promoters for increased NF-kappa-B recruitment. Phosphorylates CDC25B and CDC25C which is required for binding to 14-3-3 proteins and leads to initiation of a G2 delay after ultraviolet radiation. Phosphorylates TIAR following DNA damage, releasing TIAR from GADD45A mRNA and preventing mRNA degradation. The p38 MAPKs may also have kinase-independent roles, which are thought to be due to the binding to targets in the absence of phosphorylation. Protein O-Glc-N-acylation catalyzed by the OGT is regulated by MAPK14, and, although OGT does not seem to be phosphorylated by MAPK14, their interaction increases upon MAPK14 activation induced by glucose deprivation. This interaction may regulate OGT activity by recruiting it to specific targets such as neurofilament H, stimulating its O-Glc-N-acylation. Required in mid-fetal development for the growth of embryo-derived blood vessels in the labyrinth layer of the placenta. Also plays an essential role in developmental and stress-induced erythropoiesis, through regulation of EPO gene expression. Isoform MXI2 activation is stimulated by mitogens and oxidative stress and only poorly phosphorylates ELK1 and ATF2. Isoform EXIP may play a role in the early onset of apoptosis.

如果您使用该产品11581发表了文章,请通知我们,让我们可以引用您的文献。

et al,EphrinBs/EphBs Signaling Is Involved in Modulation of Spinal Nociceptive Processing through a Mitogen-activated Protein Kinases-dependent Mechanism. , (2010),
PMID: 20395829
et al,Astragalus polysaccharides exerts anti-infective activity by inducing human cathelicidin antimicrobial peptide LL-37 in respiratory epithelial cells.In Phytother Res. On 2018 Aug by Zhao L, Tan S et al..PMID: 29672953 , (2018),
PMID: 29672953
et al,Molecular mechanisms of somatostatin-mediated intestinal epithelial barrier function restoration by upregulating claudin-4 in mice with DSS-induced colitis.In Am J Physiol Cell Physiol. On 2018 Oct 1 by Cai L, Li X et al..PMID: 30020824 , (2018),
PMID: 30020824
et al,Ajudecumin A from Ajuga ovalifolia var. calantha exhibits anti-inflammatory activity in lipopolysaccharide-activated RAW264.7 murine macrophages and animal models of acute inflammation.In Pharm Biol. On 2018 Dec by Zhang H, Ren QC et al..PMID: 31070535 , (2018),
PMID: 31070535
et al,miR-141-5p regulate ATF2 via effecting MAPK1/ERK2 signalIng to promote preeclampsia.Biomed Pharmacother. In Biomed Pharmacother on 2019 May 7 by Wang Y1, Cheng K, et al..PMID: 31075732 , (2019),
PMID: 31075732
et al,HMGN2 regulates non-tuberculous mycobacteria survival via modulation of M1 macrophage polarization. In J Cell Mol Med on 2019 Dec by Wang X, Chen S, et al..PMID:31596045 , (2019),
PMID: 31596045
et al,The protective effects of β-sitosterol and vermicularIn from Thamnolia vermicularis (Sw.) Ach. agaInst skIn agIng In vitro. In An Acad Bras Cienc on 2019 Dec 2 by Haiyuan YU, Shen X,et al..PMID:31800700 , (2019),
PMID: 31800700
查看更多
et al,Attenuating Phosphorylation of p38 MAPK in the Activated Microglia: A New Mechanism for Intrathecal Lidocaine Reversing Tactile Allodynia Following Chronic Constriction Injury in Rats.In Neurosci Lett on 2008 Jan 31 by Yi-Wen Gu, Dian-San Su,et al..PMID:18191894 , (2008),
PMID: 18191894
et al,Lidocaine Attenuates Proinflammatory Cytokine Production Induced by Extracellular Adenosine Triphosphate in Cultured Rat Microglia.In Anesth Analg on 2010 Sep by Diansan Su, Yang Gu,et al..PMID:20686009 , (2010),
PMID: 20686009
et al,The Anti-Inflammatory Mechanism of Heme oxygenase-1 Induced by Hemin in Primary Rat Alveolar Macrophages.In Inflammation on 2012 Jun by Chen Hualin, Xu Wenli, et al..PMID:22160840 , (2012),
PMID: 22160840
et al,Toosendanin Induces Apoptosis Through Suppression of JNK Signaling Pathway in HL-60 Cells.In Toxicol In Vitro on 2013 Feb by Jianming Ju, Zhichao Qi,et al..PMID:23111283 , (2013),
PMID: 23111283
et al,Cardamonin Protects Septic Mice From Acute Lung Injury by Preventing Endothelial Barrier Dysfunction.In J Biochem Mol Toxicol on 2012 Jul by Zhifeng Wei, Jian Yang,et al..PMID:22696397 , (2012),
PMID: 22696397
et al,Disruption of xCT inhibits cancer cell metastasis via the caveolin-1/尾-catenin pathway. In Oncogene on 2009 Jan 29 by R-S Chen, Y-M Song, et al..PMID: 19015640 , (2009),
PMID: 19015640
et al,New roles of the fission yeast eIF2伪 kinases Hri1 and Gcn2 in response to nutritional stress. In J Cell Sci on 2013 Jul 15 by Ruth Mart铆n, Juan Jos茅 Berlanga, et al..PMID: 23687372 , (2013),
PMID: 23687372
et al,EphrinBs/EphBs signaling is involved in modulation of spinal nociceptive processing through a mitogen-activated protein kinases-dependent mechanism. In Anesthesiology on 2010 May by Jia-Ping Ruan, Hong-Xing Zhang, et al..PMID: 20395829 , (2010),
PMID: 20395829
et al,Astragaloside IV Inhibits Isoprenaline鈥慽nduced Cardiac Fibrosis by Targeting the Reactive Oxygen Species/Mitogen鈥慳ctivated Protein Kinase Signaling Axis.In Mol Med Rep on 2017 Apr by Hongliang Dai ,Guizhi Jia ,et al..PMID:28260010 , (2017),
PMID: 28260010
et al,Ellagic Acid Inhibits RANKL-induced Osteoclast Differentiation by Suppressing the p38 MAP Kinase Pathway.In Arch Pharm Res on 2017 Jan by Mpho Rantlha , Travers Sagar,et al..PMID: 27384064 , (2017),
PMID: 27384064
et al,Down-regulation of RPS9 inhibits osteosarcoma cell growth through inactivation of MAPK signaling pathway.In J Cancer on 2017 Aug 22 by Dong-Dong Cheng, Bin Zhu,et al..PMID: 28928861 , (2017),
PMID: 28928861
et al,Altered Timing of Riboflavin and Ultraviolet Light Pathogen Inactivation Improves Platelet in Vitro Quality. In Transfusion on 2017 Aug by Peter Schubert, Brankica Culibrk,et al..PMID: 28500654 , (2017),
PMID: 28500654
et al,Hepatic SATB1 induces paracrine activation of hepatic stellate cells and is upregulated by HBx.In Sci Rep.On 2016 Nov 24 by Gong J, Tu W et al..PMID:27883059 , (2016),
PMID: 27883059
et al,Quercetin regulates the sestrin 2-AMPK-p38 MAPK signaling pathway and induces apoptosis by increasing the generation of intracellular ROS in a p53-independent manner.In Int J Mol Med on 2014 Apr by Guen Tae Kim, Se Hee Lee et al..PMID:24535669 , (2014),
PMID: 24535669
et al,Potassium supplementation inhibits IL-17A production induced by salt loading in human T lymphocytes via p38/MAPK-SGK1 pathway.In Exp Mol Pathol.On 2016 Jun by Wen W, Wan Z et al..PMID:27020669 , (2016),
PMID: 27020669
et al,The activation of p38 MAPK limits the abnormal proliferation of vascular smooth muscle cells induced by high sodium concentrations.In Int J Mol Med On 2016 Jan by Yan Wu , Juan Zhou et al..PMID:26530729 , (2016),
PMID: 26530729
et al,Regulation of T lymphocyte activation by microRNA-21.In Mol Immunol on 2014 Jun by Lu Wang , Liangqiang He et al..PMID: 24631982 , (2014),
PMID: 24631982
et al,Piperine alleviates osteoclast formation through the p38/c鈥怓os/NFATc1 signaling axis.In Biofactors on Nov-Dec 2015 by Vishwa Deepak , Marlena C Kruger et al..PMID: 26627060 , (2015),
PMID: 26627060
et al,The Effects of Xiangqing Anodyne Spray on treating acute soft-Tissue injury mainly depend on suppressing activations of AKT and p38 pathways.In Evid Based Complement Alternat Med on 2016 by Shudong Wang , Tao Li et al..PMID:27190541 , (2016),
PMID: 27190541
et al,Insights in dynamic kinome reprogramming as a consequence of MEK inhibition in MLL-rearranged AML.In Leukemia on 2014 Mar by K R Kampen, A Ter Elst et al..PMID:24240200 , (2014),
PMID: 24240200
et al,Cannabinoid receptor agonist WIN55,212-2 and fatty acid amide hydrolase inhibitor URB597 suppress chronic cerebral hypoperfusion-induced neuronal apoptosis by inhibiting c-Jun N-terminal kinase signaling.In Neuroscience 2015 Aug 20 by S-H Su , Y-F Wu et al..PMID:25795598 , (2015),
PMID: 25795598
et al,PiHOG1, a stress regulator MAP kinase from the root endophyte fungus Piriformospora indica, confers salinity stress tolerance in rice plants. In Sci Rep on 2016 Nov 16 by Abhimanyu Jogawat, Jyothilakshmi Vadassery, et al..PMID:27849025 , (2016),
PMID: 27849025
et al,Enhancement of anti-acne effect of Scutellaria baicalensis extract by fermentation with symbiotic fungus Penicillium decumbens. In J Biosci Bioeng on 2020 Nov by Xiaojing Zhu, Yue Mao, et al..PMID: 32747300 , (2020),
PMID: 32747300
et al,Role of 5-HT degradation in acute liver injury induced by carbon tetrachloride. In Eur J Pharmacol on 2021 Oct 5 by Yu-Xin Zhang, Chen Li,et al..PMID:34280394 , (2021),
PMID: 34280394
et al,CD155 Cooperates with PD-1/PD-L1 to Promote Proliferation of Esophageal Squamous Cancer Cells via PI3K/Akt and MAPK Signaling Pathways. In Cancers (Basel) on 2022 Nov 15 by Xiyang Tan, Jie Yang, et al..PMID:36428703 , (2022),
PMID: 36428703
et al,Brevilin A Ameliorates Acute Lung Injury and Inflammation Through Inhibition of NF-κB Signaling via Targeting IKKα/β. In Front Pharmacol on 2022 Jun 14 by Lu Liu, Xian Chen,et al..PMID:35774606 , (2022),
PMID: 35774606
et al,Corilagin ameliorates macrophages inflammation in atherosclerosis through TLR4-NFκB/MAPK pathwayIn HeliyonOn2023 Jun 13byDa Meng , Xin Deng et al..PMID:37383215 , (2023),
PMID: 37383215
et al,Discovery of novel capsaicin analogs as TRPV1 inhibitors for the treatment of idiopathic pulmonary fibrosis. , (2025),
PMID: 39826937
et al,CPU-12, a novel synthesized oxazolo [5, 4-d] pyrimidine derivative, showed superior anti-angiogenic activity.In J Pharmacol Sci on 2015 Sep by Jiping Liu , Ya-Hui Deng et al..PMID: 26154846 , (2015),
PMID: 26154846
et al,Nephrotoxicity induced by cisplatin is primarily due to the activation of the 5-hydroxytryptamine degradation system in proximal renal tubules , (2021),
PMID:
et al,Gingerenone A Attenuates Ulcerative Colitis via Targeting IL-17RA to Inhibit Inflammation and Restore Intestinal Barrier Function. In Adv Sci (Weinh) on 2024 Jul by Jian Liang, Weigang Dai,et al..PMID:38639442 , (2024),
PMID: 38639442

注释

应用

  • WB免疫印迹
  • IHC免疫组化
  • IF免疫荧光
  • ICC免疫细胞化学
  • FC流式细胞
  • IP免疫沉淀
  • E酶联免疫吸附法
  • DB免疫斑点法
  • ChIP染色质免疫沉淀
  • GICA胶体金免疫层析法
  • NC阴性对照

种属反应性

  • Hu
  • Ms小鼠
  • Rt大鼠
  • Dm果蝇
  • C线虫
  • Mk
  • Rb
  • B
  • D
  • P
  • Hm仓鼠
  • ChHm中国仓鼠
  • Chk
;

联系我们

Location :

南京市高新开发区星火路10号人才大厦C座

Phone :

400-9961-933
025-58868422

Email Address

info@sabbiotech.com