免费电话:400-9961-933
邮箱:info@sabbiotech.com
欢迎光临本站
川博智能体 English
位置: 首页 > 磷酸化抗体 > PLD2 (Phospho-Tyr169) Antibody

PLD2 (Phospho-Tyr169) Antibody#11813

是否有货: 有货
产品详情

产品名称PLD2 (Phospho-Tyr169) Antibody

来源种属Rabbit

克隆性Polyclonal

纯化Antibodies were produced by immunizing rabbits with synthetic phosphopeptide and KLH conjugates. Antibodies were purified by affinity-chromatography using epitope-specific phosphopeptide. Non-phospho specific antibodies were removed by chromatogramphy using non-phosphopeptide.

应用WB IHC

种属反应性Human

特异性The antibody detects endogenous levels of PLD2 only when phosphorylated at tyrosine 169.

免疫原类型Peptide-KLH

免疫原描述Peptide sequence around phosphorylation site of tyrosine 169(E-N-Y(p)-L-N) derived from Human PLD2.

基因/蛋白名称PLD2

标记Unconjugated

别名PLD 2; PLD1C; choline phosphatase 2;

数据库入口号Swiss-Prot#: O14939;
NCBI Gene#: 5338;
NCBI Protein#: NP_002654.3.

Uniprot O14939

计算分子量95 kDa

实际分子量95 kDa

浓度1.0mg/ml

配方Rabbit IgG in phosphate buffered saline (without Mg2+ and Ca2+), pH 7.4, 150mM NaCl, 0.02% sodium azide and 50% glycerol.

保存Store at -20˚C/1 year

应用详情

Western blotting: 1:500~1:1000
Immunohistochemistry: 1:50~1:100

Immunohistochemical analysis of paraffin-embedded human brain tissue using PLD2 (Phospho-Tyr169) antibody #11813 (left)or the same antibody preincubated with blocking peptide (right).
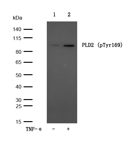
All lanes : PLD2 (Phospho-Tyr169) Antibody at 1/500 dilution
Lane 1 : Jurkat whole cell lysates
Lane 2 : Jurkat treated with 20ng/mL TNF-α for 10 minutes whole cell lysate
Lysates/proteins at 20 µg per lane.
Secondary
All lanes : Goat Anti-Rabbit IgG H&L (HRP) at 1/20000 dilution
Predicted band size: 95 kDa
Observed band size: 95 kDa
Exposure time: 6 seconds

Phosphatidylcholine (PC)-specific phospholipases D (PLDs) catalyze the hydrolysis of PC to produce phosphatidic acid and choline. Activation of PC-specific PLDs occurs as a consequence of agonist stimulation of both tyrosine kinase and G protein-coupled receptors. PC-specific PLDs have been proposed to function in regulated secretion, cytoskeletal reorganization, transcriptional regulation, and cell cycle control.

Steed P.M., FASEB J. 12:1309-1317(1998).
Lopez I., J. Biol. Chem. 273:12846-12852(1998).
Divecha N., EMBO J. 19:5440-5449(2000).

如果您使用该产品11813发表了文章,请通知我们,让我们可以引用您的文献。

et al,Development of a Mass Spectrometry-Based Quantitative Method for Two Isoallergens of Celery Allergen Api g 1 in Fresh and Processed Celery , (2025),
PMID: 40794457

注释

应用

  • WB免疫印迹
  • IHC免疫组化
  • IF免疫荧光
  • ICC免疫细胞化学
  • FC流式细胞
  • IP免疫沉淀
  • E酶联免疫吸附法
  • DB免疫斑点法
  • ChIP染色质免疫沉淀
  • GICA胶体金免疫层析法
  • NC阴性对照

种属反应性

  • Hu
  • Ms小鼠
  • Rt大鼠
  • Dm果蝇
  • C线虫
  • Mk
  • Rb
  • B
  • D
  • P
  • Hm仓鼠
  • ChHm中国仓鼠
  • Chk
;

联系我们

Location :

南京市高新开发区星火路10号人才大厦C座

Phone :

400-9961-933
025-58868422

Email Address

info@sabbiotech.com