免费电话:400-9961-933
邮箱:info@sabbiotech.com
欢迎光临本站
川博智能体 English
位置: 首页 > 磷酸化抗体 > TAK1 (Phospho-Thr184) Antibody

TAK1 (Phospho-Thr184) Antibody#12153

是否有货: 有货
产品详情

产品名称TAK1 (Phospho-Thr184) Antibody

来源种属Rabbit

克隆性Polyclonal

纯化Antibodies were produced by immunizing rabbits with synthetic phosphopeptide and KLH conjugates. Antibodies were purified by affinity-chromatography using epitope-specific phosphopeptide. Non-phospho specific antibodies were removed by chromatogramphy using non-phosphopeptide.

应用WB

种属反应性Human;Mouse;Rat

特异性The antibody detects endogenous levels of TAK1 only when phosphorylated at threonine 184.

免疫原类型peptide

免疫原描述Peptide sequence around phosphorylation site of threonine 184 (I-Q-T(p)-H-M) derived from Human TAK1.

基因/蛋白名称TAK1

标记Unconjugated

别名EC 2.7.11.25; M3K7; MAP3K7; Mitogen-activated protein kinase kinase kinase 7; TGF-beta- activated kinase 1; Transforming growth factor-beta-activated kinase 1; kinase TAK1

数据库入口号Swiss-Prot#:O43318;
NCBI Gene#:6885

Uniprot O43318

计算分子量67 kDa

实际分子量75 kDa

浓度1.0mg/ml

配方Rabbit IgG in phosphate buffered saline (without Mg2+ and Ca2+), pH 7.4, 150mM NaCl, 0.02% sodium azide and 50% glycerol.

保存Store at -20˚C

应用详情
Western blotting: 1:500~1:3000
All lanes : TAK1 (Phospho-Thr184) Antibody at 1/500 dilution
Lane 1 : HepG2 whole cell lysates
Lane 2 : HepG2 treated with 20ng/ml TNFa for 5 minutes whole cell lysates
Lane 3 : 293T whole cell lysates
Lane 4 : 293T treated with 20ng/ml TNFa for 5 minutes whole cell lysates
Lysates/proteins at 20 µg per lane.
Secondary
All lanes : Goat Anti-Rabbit IgG H&L (HRP) at 1/20000 dilution
Predicted band size: 67 kDa
Observed band size: 75 kDa
Exposure time: 9 seconds
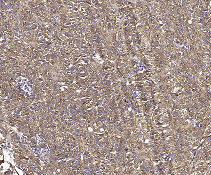
Immunohistochemical analysis of paraffin-embedded human small intestinal carcinoma tissue using TAK1 (Phospho-Thr184) Antibody #12153.
Serine/threonine kinase which acts as an essential component of the MAP kinase signal transduction pathway. Plays an important role in the cascades of cellular responses evoked by changes in the environment. Mediates signal transduction of TRAF6, various cytokines including interleukin-1 (IL-1), transforming growth factor-beta (TGFB), TGFB-related factors like BMP2 and BMP4, toll-like receptors (TLR), tumor necrosis factor receptor CD40 and B-cell receptor (BCR). Ceramides are also able to activate MAP3K7/TAK1. Once activated, acts as an upstream activator of the MKK/JNK signal transduction cascade and the p38 MAPK signal transduction cascade through the phosphorylation and activation of several MAP kinase kinases like MAP2K1/MEK1, MAP2K3/MKK3, MAP2K6/MKK6 and MAP2K7/MKK7.

如果您使用该产品12153发表了文章,请通知我们,让我们可以引用您的文献。

et al,PGC-1β suppresses saturated fatty acid-induced macrophage inflammation by inhibiting TAK1 activation. In IUBMB Life on 2016 Feb by Hongen Chen, Yan Liu, et al..PMID: 26748475 , (2016),
PMID: 26748475

注释

应用

  • WB免疫印迹
  • IHC免疫组化
  • IF免疫荧光
  • ICC免疫细胞化学
  • FC流式细胞
  • IP免疫沉淀
  • E酶联免疫吸附法
  • DB免疫斑点法
  • ChIP染色质免疫沉淀
  • GICA胶体金免疫层析法
  • NC阴性对照

种属反应性

  • Hu
  • Ms小鼠
  • Rt大鼠
  • Dm果蝇
  • C线虫
  • Mk
  • Rb
  • B
  • D
  • P
  • Hm仓鼠
  • ChHm中国仓鼠
  • Chk
;

联系我们

Location :

南京市高新开发区星火路10号人才大厦C座

Phone :

400-9961-933
025-58868422

Email Address

info@sabbiotech.com