免费电话:400-9961-933
邮箱:info@sabbiotech.com
欢迎光临本站
川博智能体 English
位置: 首页 > 磷酸化抗体 > SGK1 (Phospho-Ser422) Antibody

SGK1 (Phospho-Ser422) Antibody#12220

是否有货: 有货
产品详情

产品名称SGK1 (Phospho-Ser422) Antibody

来源种属Rabbit

克隆性Polyclonal

纯化The antibody was affinity-purified from rabbit antiserum by affinity-chromatography using epitope-specific immunogen.

应用WB;IHC;IF;ELISA

种属反应性Human;Mouse;Rat

特异性Phospho-SGK1 (S422) Polyclonal Antibody detects endogenous levels of SGK1 protein only when phosphorylated at S422.

免疫原描述Synthesized peptide derived from human SGK1 around the phosphorylation site of S422.

基因/蛋白名称SGK1

标记Unconjugated

别名SGK1; SGK; Serine/threonine-protein kinase Sgk1; Serum/glucocorticoid-regulated kinase 1

数据库入口号Swiss-Prot: O00141
NCBI Gene ID: 6446

Uniprot O00141

计算分子量49 kDa

实际分子量54 kDa

浓度1mg/ml

配方Liquid in PBS containing 50% glycerol, 0.5% BSA and 0.02% sodium azide.

保存Store at -20˚C/1 year

Target种属human

应用详情
WB 1:500-1:2000; IHC 1:100-1:300; ELISA 1:40000; IF 1:50-200
Western Blot analysis of VEC HY926 cells using Phospho-SGK1 (S422) Polyclonal Antibody
All lanes : SGK1 (Phospho-Ser422) Antibody at 1/500 dilution
Lane 1 : Hela whole cell lysates
Lane 2 : Hela treated with 100nM insulin for 20 minutes whole cell lysates
Lysates/proteins at 20 µg per lane.
Secondary
All lanes : Goat Anti-Rabbit IgG H&L (HRP) at 1/20000 dilution
Predicted band size: 49 kDa
Observed band size: 54 kDa
Exposure time: 4 seconds
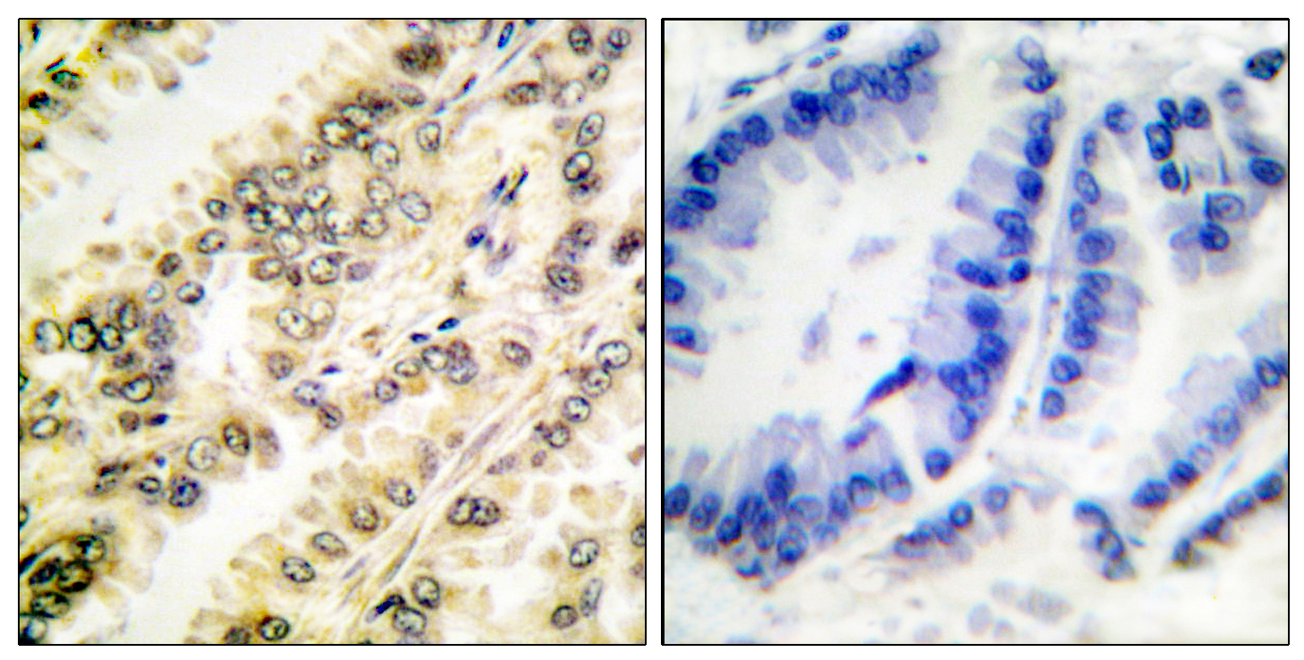
Immunohistochemical analysis of paraffin-embedded human breast carcinoma tissue using SGK1 (Phospho-Ser422) Antibody #12220. The picture on the right is treated with the synthesized peptide.

如果您使用该产品12220发表了文章,请通知我们,让我们可以引用您的文献。

et al,ERK1/2-dependent phosphorylation and nuclear translocation of PKM2 promotes the Warburg effect.In Nat Cell Biol on 2012 Dec by Weiwei Yang, Yanhua Zheng,et al..PMID:23178880 , (2012),
PMID: 23178880

注释

应用

  • WB免疫印迹
  • IHC免疫组化
  • IF免疫荧光
  • ICC免疫细胞化学
  • FC流式细胞
  • IP免疫沉淀
  • E酶联免疫吸附法
  • DB免疫斑点法
  • ChIP染色质免疫沉淀
  • GICA胶体金免疫层析法
  • NC阴性对照

种属反应性

  • Hu
  • Ms小鼠
  • Rt大鼠
  • Dm果蝇
  • C线虫
  • Mk
  • Rb
  • B
  • D
  • P
  • Hm仓鼠
  • ChHm中国仓鼠
  • Chk
;

联系我们

Location :

南京市高新开发区星火路10号人才大厦C座

Phone :

400-9961-933
025-58868422

Email Address

info@sabbiotech.com