免费电话:400-9961-933
邮箱:info@sabbiotech.com
欢迎光临本站
川博智能体 English
位置: 首页 > 磷酸化抗体 > TAK1 (Phospho-Thr187) Antibody

TAK1 (Phospho-Thr187) Antibody#12255

是否有货: 有货
产品详情

产品名称TAK1 (Phospho-Thr187) Antibody

来源种属Rabbit

克隆性Polyclonal

纯化The antibody was affinity-purified from rabbit antiserum by affinity-chromatography using epitope-specific immunogen.

应用WB;IHC;ELISA

种属反应性Human;Mouse;Rat

特异性Phospho-Tak1 (T187) Polyclonal Antibody detects endogenous levels of Tak1 protein only when phosphorylated at T187.

免疫原类型peptide

免疫原描述Synthesized peptide derived from human Tak1 around the phosphorylation site of T187.

基因/蛋白名称Tak1

标记Unconjugated

别名MAP3K7; TAK1; Mitogen-activated protein kinase kinase kinase 7; Transforming growth factor-beta-activated kinase 1; TGF-beta-activated kinase 1

数据库入口号Swiss-Prot: O43318
NCBI Gene ID: 6885

Uniprot O43318

计算分子量67 kDa

实际分子量75 kDa

浓度1mg/ml

配方Liquid in PBS containing 50% glycerol, 0.5% BSA and 0.02% sodium azide.

保存Store at -20˚C/1 year

Target种属human

应用详情
Western blotting: 1/500 - 1/2000
Immunohistochemistry: 1/100 - 1/300
ELISA: 1/10000
Not yet tested in other applications
All lanes : TAK1 (Phospho-Thr187) Antibody at 1/500 dilution
Lane 1 : 293T whole cell lysates
Lane 2 : 293T treated with 50ng/ml IL-1 for 10 minutes whole cell lysates
Lane 3 : 3T3 whole cell lysates
Lane 4 : 3T3 treated with 50ng/ml IL-1 for 10 minutes whole cell lysates
Lysates/proteins at 20 µg per lane.
Secondary
All lanes : Goat Anti-Rabbit IgG H&L (HRP) at 1/20000 dilution
Predicted band size: 67 kDa
Observed band size: 75 kDa
Exposure time: 6 seconds
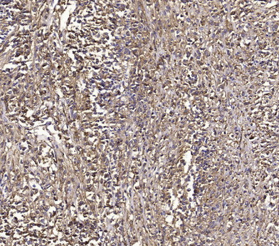
Immunohistochemical analysis of paraffin-embedded human small intestinal carcinoma tissue using TAK1 (Phospho-Thr187) Antibody #12255.

如果您使用该产品12255发表了文章,请通知我们,让我们可以引用您的文献。

et al,Arginyltransferase knockdown attenuates cardiac hypertrophy and fibrosis through TAK1-JNK1/2 pathway.In Sci Rep on 2020 Jan 17 by Singh K, Gupta A, et al..PMID: 31953451 , (2020),
PMID: 31953451
et al,PGC-1β suppresses saturated fatty acid-induced macrophage inflammation by inhibiting TAK1 activation. In IUBMB Life on 2016 Feb by Hongen Chen, Yan Liu, et al..PMID: 26748475 , (2016),
PMID: 26748475
et al,Liquiritin Attenuates Angiotensin II-Induced Cardiomyocyte Hypertrophy via ATE1/TAK1-JNK1/2 Pathway.In Evid Based Complement Alternat Med. 2022 Mar 16 by Jiajia Mo 1 2, Peng Zhou , et al..PMID: 35341136 , (2022),
PMID: 35341136

注释

应用

  • WB免疫印迹
  • IHC免疫组化
  • IF免疫荧光
  • ICC免疫细胞化学
  • FC流式细胞
  • IP免疫沉淀
  • E酶联免疫吸附法
  • DB免疫斑点法
  • ChIP染色质免疫沉淀
  • GICA胶体金免疫层析法
  • NC阴性对照

种属反应性

  • Hu
  • Ms小鼠
  • Rt大鼠
  • Dm果蝇
  • C线虫
  • Mk
  • Rb
  • B
  • D
  • P
  • Hm仓鼠
  • ChHm中国仓鼠
  • Chk
;

联系我们

Location :

南京市高新开发区星火路10号人才大厦C座

Phone :

400-9961-933
025-58868422

Email Address

info@sabbiotech.com