免费电话:400-9961-933
邮箱:info@sabbiotech.com
欢迎光临本站
川博智能体 English
位置: 首页 > 磷酸化抗体 > MYPT1/2 (Phospho-Ser668/Ser618) Antibody

MYPT1/2 (Phospho-Ser668/Ser618) Antibody#12733

是否有货: 有货
产品详情

产品名称MYPT1/2 (Phospho-Ser668/Ser618) Antibody

来源种属Rabbit

克隆性Polyclonal

亚型IgG

纯化Antibodies were produced by immunizing rabbits with synthetic phosphopeptide and KLH conjugates. Antibodies were purified by affinity-chromatography using epitope-specific phosphopeptide. Non-phospho specific antibodies were removed by chromatogramphy using non-phosphopeptide.

应用WB

种属反应性Human;Mouse;Rat

特异性MYPT1/2 (Phospho-Ser668/Ser618) Antibody detects endogenous levels of MYPT1/2 only when phosphorylated at Ser668/Ser618

免疫原类型Peptide

免疫原描述A synthesized peptide derived from human MYPT1/2 (Phospho-Ser668/Ser618)

基因/蛋白名称MYPT1/2

标记Unconjugated

别名PPP1R12A, M130, MYPT1, MBS, Myosin binding subunit

数据库入口号Swiss-Prot#: O14974/O60237
NCBI Gene ID: 4659/4660

Uniprot O14974

计算分子量115kd

浓度1.0mg/ml

配方Rabbit IgG in phosphate buffered saline (without Mg2+ and Ca2+), pH 7.4, 150mM NaCl, 0.02% sodium azide and 50% glycerol.

保存Store at -20˚C

Target种属human

应用详情

Western blotting: 1:1000

Western Blot analysis of lysates of 1. Hela cell and 2. Hela cell Serum-free treated, using primary antibody at 1:1000 dilution.
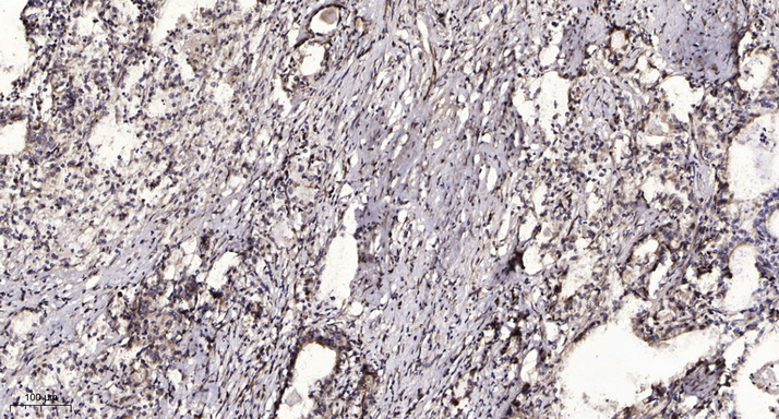
Immunohistochemical analysis of paraffin-embedded human Gastric adenocarcinoma tissue using MYPT1/2 (Phospho-Ser668/Ser618) Antibody #12733.

如果您使用该产品12733发表了文章,请通知我们,让我们可以引用您的文献。

et al,Multifunctional Inorganic-Nanosheets-Based Nanohydrogel for Periodontal Bone Regeneration via Antibacterial and Anti-Ferroptotic Immunomodulation , (2025),
PMID: 41250788

注释

应用

  • WB免疫印迹
  • IHC免疫组化
  • IF免疫荧光
  • ICC免疫细胞化学
  • FC流式细胞
  • IP免疫沉淀
  • E酶联免疫吸附法
  • DB免疫斑点法
  • ChIP染色质免疫沉淀
  • GICA胶体金免疫层析法
  • NC阴性对照

种属反应性

  • Hu
  • Ms小鼠
  • Rt大鼠
  • Dm果蝇
  • C线虫
  • Mk
  • Rb
  • B
  • D
  • P
  • Hm仓鼠
  • ChHm中国仓鼠
  • Chk
;

联系我们

Location :

南京市高新开发区星火路10号人才大厦C座

Phone :

400-9961-933
025-58868422

Email Address

info@sabbiotech.com