免费电话:400-9961-933
邮箱:info@sabbiotech.com
欢迎光临本站
川博智能体 English
位置: 首页 > 磷酸化抗体 > IRE1 (Phospho-phospho S724) Antibody

IRE1 (Phospho-phospho S724) Antibody#13013

是否有货: Yes
产品详情

产品名称IRE1 (Phospho-phospho S724) Antibody

来源种属Rabbit

克隆性Polyclonal

纯化The antibody is from purified rabbit serum by affinity purification via sequential chromatography on phospho- and non-phospho-peptide affinity columns.

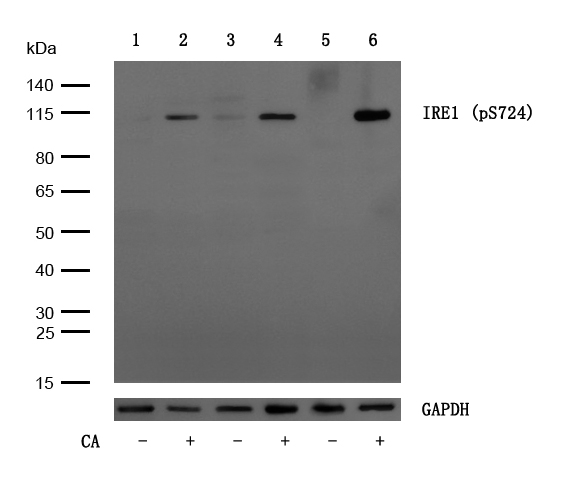
应用WB

种属反应性Human;Mouse;Rat

特异性Phospho-IRE1 (Phospho-phospho S724) Antibody detects endogenous levels of IRE1 only when phosphorylated at phospho S724

免疫原描述A synthesized peptide derived from human IRE1 around the phosphorylation site of phospho S724

基因/蛋白名称IRE1

标记Unconjugated

别名Endoplasmic reticulum (ER) to nucleus signalling 1; Endoplasmic reticulum to nucleus signaling 1; Endoplasmic reticulum-to-nucleus signaling 1; Endoribonuclease; ER to nucleus signaling 1; ERN 1; Ern1; ERN1_HUMAN; hIRE 1p; hIRE1p; Inositol requiring 1; Inositol requiring 1, S. cerevisiae, homolog of; Inositol requiring enzyme 1, S. cerevisiae, homolog of; Inositol requiring protein 1; inositol-requiring enzyme 1; Inositol-requiring protein 1; IRE 1; IRE 1a; IRE 1P; Ire1 alpha; Ire1-alpha; IRE1a; Ire1alpha; IRE1P; MGC163277; MGC163279; Protein kinase/endoribonuclease; RGD1559716; Serine/threonine protein kinase/endoribonuclease IRE1; Endoplasmic reticulum (ER) to nucleus signalling 1; Endoplasmic reticulum to nucleus signaling 1; Endoplasmic reticulum-to-nucleus signaling 1; Endoribonuclease; ER to nucleus signaling 1; ERN 1; Ern1; ERN1_HUMAN; hIRE 1p; hIRE1p; Inositol requiring 1; Inositol requiring 1, S. cerevisiae, homolog of; Inositol requiring enzyme 1, S. cerevisiae, homolog of; Inositol requiring protein 1; inositol-requiring enzyme 1; Inositol-requiring protein 1; IRE 1; IRE 1a; IRE 1P; Ire1 alpha; Ire1-alpha; IRE1a; Ire1alpha; IRE1P; MGC163277; MGC163279; Protein kinase/endoribonuclease; RGD1559716; Serine/threonine protein kinase/endoribonuclease IRE1;

数据库入口号Swiss-Prot#:O75460/Q76MJ5
NCBI Gene ID:2081/10595

Uniprot O75460

计算分子量110

浓度1mg/ml

配方Rabbit IgG in phosphate buffered saline , pH 7.4, 150mM NaCl, 0.02% sodium azide and 50% glycerol.

保存Store at -20 ˚C.Stable for 12 months from date of receipt

应用详情

WB: 1:500-1:2000

如果您使用该产品13013发表了文章,请通知我们,让我们可以引用您的文献。

et al,Quercetin Stimulates Mitochondrial Apoptosis Dependent on Activation of Endoplasmic Reticulum Stress in Hepatic Stellate Cells .In Pharm Biol. On 2016 Dec by Liwei He , Xianbang Hou et al..PMID:27572285 , (2016),
PMID: 27572285
et al,Suppressing endoplasmic reticulum stress-related autophagy attenuates retinal light injury. In Aging (Albany NY) on 2020 Aug 28 by Jing-Yao Song, Bin Fan,et al..PMID: 32858529 , (2020),
PMID: 32858529
et al,Endoplasmic reticulum stress is involved in retinal injury induced by repeated transient spikes of intraocular pressure. In J Zhejiang Univ Sci B on 2021 Sept 15 by Xue Yang, Xiaowei Yu et al..PMID: 34514754 , (2021),
PMID: 34514754
et al,Cereulide Exposure Caused Cytopathogenic Damages of Liver and Kidney in Mice. In Int J Mol Sci on 2021 Aug 24 by Danyang Li, Ruqin Lin,et al..PMID:34502057 , (2021),
PMID: 34502057
et al,Didymin Ameliorates Liver Fibrosis by Alleviating Endoplasmic Reticulum Stress and Glycerophospholipid Metabolism: Based on Transcriptomics and Metabolomics. In Drug Des Devel Ther on 2022 Jun 7 by Yan Li, Cuiyu Li, et al..PMID:35698653 , (2022),
PMID: 35698653
et al,Didymin Ameliorates Liver Fibrosis by Alleviating Endoplasmic Reticulum Stress and Glycerophospholipid Metabolism: Based on Transcriptomics and Metabolomics InDrug Des Devel TherOn2022 Jun 7byYan Li , Cuiyu Li et al..PMID:35698653 , (2023),
PMID: 35698653
et al,Artemisinin alleviates astrocyte overactivation and neuroinflammation by modulating the IRE1/NF-κB signaling pathway in in vitro and in vivo Alzheimer's disease models. , (2025),
PMID: 39826816

注释

应用

  • WB免疫印迹
  • IHC免疫组化
  • IF免疫荧光
  • ICC免疫细胞化学
  • FC流式细胞
  • IP免疫沉淀
  • E酶联免疫吸附法
  • DB免疫斑点法
  • ChIP染色质免疫沉淀
  • GICA胶体金免疫层析法
  • NC阴性对照

种属反应性

  • Hu
  • Ms小鼠
  • Rt大鼠
  • Dm果蝇
  • C线虫
  • Mk
  • Rb
  • B
  • D
  • P
  • Hm仓鼠
  • ChHm中国仓鼠
  • Chk
;

联系我们

Location :

南京市高新开发区星火路10号人才大厦C座

Phone :

400-9961-933
025-58868422

Email Address

info@sabbiotech.com