免费电话:400-9961-933
邮箱:info@sabbiotech.com
欢迎光临本站
川博智能体 English
位置: 首页 > 磷酸化抗体 > Histone H3(Phospho-Ser10) Rabbit mAb

Histone H3(Phospho-Ser10) Rabbit mAb#13337

是否有货: Yes
产品详情

产品名称Histone H3(Phospho-Ser10) Rabbit mAb

克隆号SA31-01

来源种属Recombinant Rabbit

克隆性Monoclonal

纯化ProA affinity purified

应用WB;ICC/IF;IHC

种属反应性Human;Mouse;Rat

免疫原描述Synthetic phospho-peptide corresponding to residues surrounding Ser10 of human Histone H3.

标记Unconjugated

别名H3 3 like sequence MH921 antibody
H3 3A antibody
H3 a antibody
H3 b antibody
H3 c antibody
H3 d antibody
H3 f antibody
H3 h antibody
H3 histone family member E pseudogene antibody
H3 i antibody
H3 j antibody
H3 k antibody
H3 l antibody
H33_HUMAN antibody
H3F3 antibody
H3f3b antibody
Histone H3 3 pseudogene antibody
Histone H3.3 antibody

数据库入口号Swiss-Prot#:P68431

Uniprot P68431

计算分子量15 kDa

实际分子量17 kDa

配方1*TBS (pH7.4), 1%BSA, 40%Glycerol. Preservative: 0.05% Sodium Azide.

保存Store at -20˚C

应用详情
WB: 1:500-1:2000
ICC/IF: 1:50-1:200
IHC: 1:50-1:200
All lanes : Histone H3(Phospho-Ser10) Rabbit mAb at 1/1k dilution
Lane 1 : HeLa whole cell lysates
Lane 2 : HeLa treated with 100nM calyculin A for 30min whole cell lysates
Lane 3 : HeLa treated with calyculin A and alkaline phosphatase whole cell lysates
Lysates/proteins at 20 µg per lane.
Secondary
All lanes : Goat Anti-Rabbit IgG H&L (HRP) at 1/20000 dilution
Predicted band size: 15 kDa
Observed band size: 17 kDa
Exposure time: 6 seconds
All lanes : Histone H3(Phospho-Ser10) Rabbit mAb at 1/1k dilution
Lane 1 : 3T3 whole cell lysates
Lane 2 : C6 whole cell lysates
Lysates/proteins at 20 µg per lane.
Secondary
All lanes : Goat Anti-Rabbit IgG H&L (HRP) at 1/20000 dilution
Predicted band size: 15 kDa
Observed band size: 17 kDa
Exposure time: 5 seconds
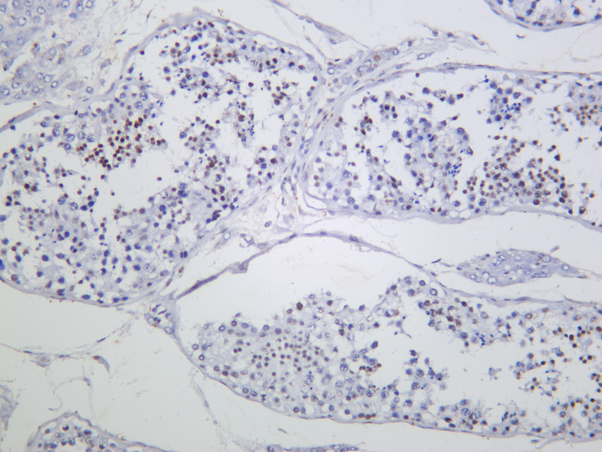
Formalin-fixed;paraffin-embedded human testis tissue stained for Histone H3 (Phospho-S10) using 13337 at 1/100 dilution in immunohistochemical analysis.
Formalin-fixed;paraffin-embedded mouse testis tissue stained for Histone H3 (Phospho-S10) using 13337 at 1/100 dilution in immunohistochemical analysis.
Immunocytochemistry/ Immunofluorescence Histone H3 (Phospho-S10) antibody (13337)
ICC/IF staining of Histone H3(Phospho-S10) in HeLa cells. Cells were fixed with 4% Paraformaldehyde permeabilized with 0.1% Triton X-100.
Samples were incubated with 13337 at a working dilution of 1/100. The secondary antibody was Alexa Fluor®647 goat anti rabbit;used at a dilution of 1/500.
Nuclei were counterstained with DAPI.

In eukaryotes, DNA is wrapped around histone octamers to form the basic unit of chromatin structure. The octamer is composed of histones H2A, H2B, H3 and H4, and it associates with approximately 200 base pairs of DNA to form the nucleosome. The association of DNA with histones results in dense packing of chromatin, which restricts proteins involved in gene transcription from binding to DNA. Histone H3, the core protein of the nucleosome, becomes phosphorylated at the end of prophase. The two major sites of phosphorylation are the mitosis-specific site Ser10, and Ser28, both of which are extensively phosphorylated in DNA-bound forms of histone H3 and in nucleosomal histone H3. The nucleosome structure of histone H3 promotes N-terminal phosphorylation in vitro.

如果您使用该产品13337发表了文章,请通知我们,让我们可以引用您的文献。

et al,Multifunctional Inorganic-Nanosheets-Based Nanohydrogel for Periodontal Bone Regeneration via Antibacterial and Anti-Ferroptotic Immunomodulation , (2025),
PMID: 41250788

注释

应用

  • WB免疫印迹
  • IHC免疫组化
  • IF免疫荧光
  • ICC免疫细胞化学
  • FC流式细胞
  • IP免疫沉淀
  • E酶联免疫吸附法
  • DB免疫斑点法
  • ChIP染色质免疫沉淀
  • GICA胶体金免疫层析法
  • NC阴性对照

种属反应性

  • Hu
  • Ms小鼠
  • Rt大鼠
  • Dm果蝇
  • C线虫
  • Mk
  • Rb
  • B
  • D
  • P
  • Hm仓鼠
  • ChHm中国仓鼠
  • Chk
;

联系我们

Location :

南京市高新开发区星火路10号人才大厦C座

Phone :

400-9961-933
025-58868422

Email Address

info@sabbiotech.com