免费电话:400-9961-933
邮箱:info@sabbiotech.com
欢迎光临本站
川博智能体 English
位置: 首页 > 磷酸化抗体 > Histone H2A.X(Phospho-Ser139) Rabbit mAb

Histone H2A.X(Phospho-Ser139) Rabbit mAb#13343

是否有货: Yes
产品详情

产品名称Histone H2A.X(Phospho-Ser139) Rabbit mAb

克隆号SR33-09

来源种属Recombinant Rabbit

克隆性Monoclonal

纯化ProA affinity purified

应用WB;ICC/IF;IHC

种属反应性Human;Mouse;Rat

免疫原描述Synthetic phospho-peptide corresponding to residues surrounding Ser139 of human Histone H2A.X.

标记Unconjugated

别名AW228881 antibody
H2A histone family member X antibody
H2A.FX antibody
H2A.X antibody
H2a/x antibody
H2AFX antibody
H2AX antibody
H2AX histone antibody
H2AX_HUMAN antibody
Hist5.2ax antibody
Histone 2A antibody
Histone 2AX antibody
Histone H2A.X antibody
Histone H2AX antibody
RGD1566119 antibody

数据库入口号Swiss-Prot#:P16104

Uniprot P16104

计算分子量15 kDa

实际分子量15 kDa

配方1*TBS (pH7.4), 1%BSA, 40%Glycerol. Preservative: 0.05% Sodium Azide.

保存Store at -20˚C

应用详情
WB: 1:500-1:2000
ICC/IF: 1:50-1:200
IHC: 1:50-1:200
All lanes : Histone H2A.X(Phospho-Ser139) Rabbit mAb at 1/1k dilution
Lane 1 : Hela whole cell lysates
Lane 2 : Hela treated with UV for 2 hours whole cell lysates
Lane 3 : 293 whole cell lysates
Lane 4 : 293 treated with UV for 2 hours whole cell lysates
Lysates/proteins at 20 µg per lane.
Secondary
All lanes : Goat Anti-Rabbit IgG H&L (HRP) at 1/20000 dilution
Predicted band size: 15 kDa
Observed band size: 15 kDa
Exposure time: 6 seconds
All lanes : Histone H2A.X(Phospho-Ser139) Rabbit mAb at 1/1k dilution
Lane 1 : C6 whole cell lysates
Lane 2 : 3T3 whole cell lysates
Lysates/proteins at 20 µg per lane.
Secondary
All lanes : Goat Anti-Rabbit IgG H&L (HRP) at 1/20000 dilution
Predicted band size: 15 kDa
Observed band size: 15 kDa
Exposure time: 5 seconds
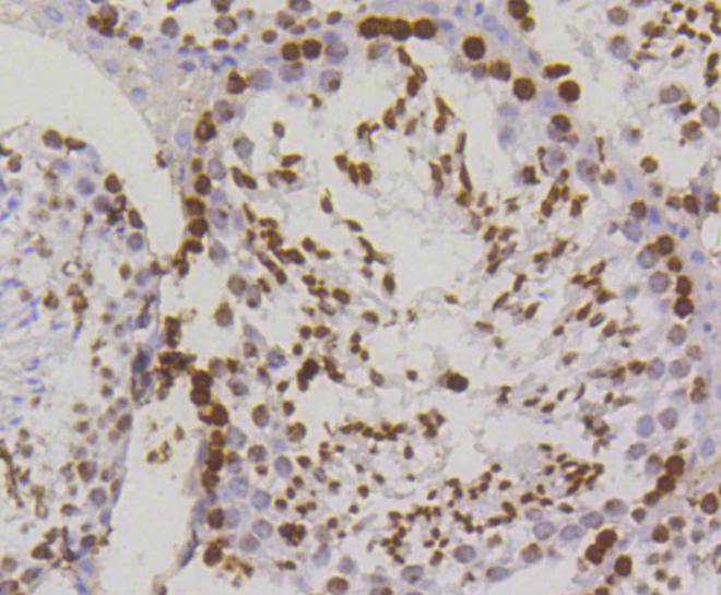
Formalin-fixed;paraffin-embedded mouse testis tissue stained for Histone H2A.X (Phospho-S139) using 13343 at 1/100 dilution in immunohistochemical analysis.
Formalin-fixed;paraffin-embedded rat colon tissue stained for Histone H2A.X (Phospho-S139) using 13343 at 1/100 dilution in immunohistochemical analysis.
Immunocytochemistry/ Immunofluorescence Histone H2A.X (Phospho-S139) antibody (13343)
ICC/IF staining of Histone H2A.X (Phospho-S139) in HeLa cells. Cells were fixed with 4% Paraformaldehyde permeabilized with 0.1% Triton X-100.
Samples were incubated with 13343 at a working dilution of 1/100. The secondary antibody was Alexa Fluor®647 goat anti rabbit;used at a dilution of 1/500.
Nuclei were counterstained with DAPI.

Histone H2A.X is a member of the Histone H2A family, which is involved in nucleosomal organization of chromatin. The H2AFX gene is located in close proximity to the Porphobilinogen deaminase (PBG-D) gene in both mouse and human, and maps to chromosome 9 and 11q23, respectively. H2A.X differs from the other members of the H2A family by the presence of a highly conserved C-terminal motif. It is rapidly phosphorylated in response to ionizing radiation and plays an important role in the recognition and repair of DNA double stranded breaks. The phosphorylated form of H2A.X, designated ?-H2A.X, forms nuclear foci at the heavy chain constant region of cells involved in class switch recombination (CSR), a region-specific DNA reaction that replaces one immunoglobulin heavy chain constant region gene with another. The phosphorylated ?-H2A.X is also thought to initiate subsequent repair factors, including Rad50, Rad51 and BRCA1.

如果您使用该产品13343发表了文章,请通知我们,让我们可以引用您的文献。

et al,NRSF deficiency leads to abnormal postnatal development of dentate gyrus and impairment of progenitors in subgranular zone of hippocampus. In Hippocampus on 2021 Sep by Yan-Cong Wang, Pu Liu 1, et al..PMID:33960056 , (2021),
PMID: 33960056
et al,AMBRA1 drives gastric cancer progression through regulation of tumor plasticity , (2024),
PMID:

注释

应用

  • WB免疫印迹
  • IHC免疫组化
  • IF免疫荧光
  • ICC免疫细胞化学
  • FC流式细胞
  • IP免疫沉淀
  • E酶联免疫吸附法
  • DB免疫斑点法
  • ChIP染色质免疫沉淀
  • GICA胶体金免疫层析法
  • NC阴性对照

种属反应性

  • Hu
  • Ms小鼠
  • Rt大鼠
  • Dm果蝇
  • C线虫
  • Mk
  • Rb
  • B
  • D
  • P
  • Hm仓鼠
  • ChHm中国仓鼠
  • Chk
;

联系我们

Location :

南京市高新开发区星火路10号人才大厦C座

Phone :

400-9961-933
025-58868422

Email Address

info@sabbiotech.com