免费电话:400-9961-933
邮箱:info@sabbiotech.com
欢迎光临本站
川博智能体 English
位置: 首页 > 磷酸化抗体 > JAK2(Phospho-Tyr1007/1008) Rabbit mAb

JAK2(Phospho-Tyr1007/1008) Rabbit mAb#13352

是否有货: Yes
产品详情

产品名称JAK2(Phospho-Tyr1007/1008) Rabbit mAb

克隆号SY24-03

来源种属Recombinant Rabbit

克隆性Monoclonal

亚型IgG

纯化ProA affinity purified

应用WB;ICC/IF;IHC

种属反应性Human;Mouse;Rat

免疫原描述Synthetic phospho-peptide corresponding to residues surrounding Tyr1007 and 1008 of human JAK2.

基因/蛋白名称JAK2

标记Unconjugated

别名JAK 2 antibody
JAK-2 antibody
JAK2 antibody
JAK2_HUMAN antibody
Janus Activating Kinase 2 antibody
Janus kinase 2 (a protein tyrosine kinase) antibody
Janus kinase 2 antibody
JTK 10 antibody
JTK10 antibody
kinase Jak2 antibody
OTTHUMP00000043260 antibody
THCYT3 antibody
Tyrosine protein kinase JAK2 antibody
Tyrosine-protein kinase JAK2 antibody

数据库入口号Swiss-Prot#:O60674

Uniprot O60674

计算分子量130 kDa

实际分子量130 kDa

配方1*TBS (pH7.4), 1%BSA, 40%Glycerol. Preservative: 0.05% Sodium Azide.

保存Store at -20˚C

应用详情
WB: 1:500-1:2000
ICC/IF: 1:50-1:200
IHC: 1:50-1:200
All lanes : JAK2(Phospho-Tyr1007/1008) Rabbit mAb at 1/1k dilution
Lane 1 : K562 treated with 50ng/ml IL-2 for 10min whole cell lysates
Lane 2 : K562 whole cell lysates
Lysates/proteins at 20 µg per lane.
Secondary
All lanes : Goat Anti-Rabbit IgG H&L (HRP) at 1/20000 dilution
Predicted band size: 130 kDa
Observed band size: 130 kDa
Exposure time: 10 seconds
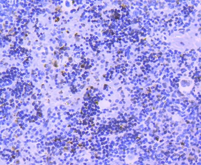
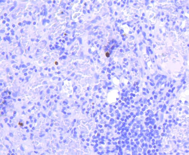
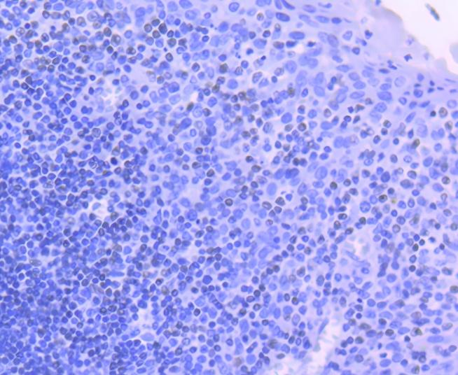
Formalin-fixed;paraffin-embedded human spleen tissue stained for JAK2(Phospho-Y1007/Y1008) using 13352 at 1/100 dilution in immunohistochemical analysis.
Formalin-fixed;paraffin-embedded mouse spleen tissue stained for JAK2(Phospho-Y1007/Y1008) using 13352 at 1/100 dilution in immunohistochemical analysis.
Formalin-fixed;paraffin-embedded human tonsil tissue stained for JAK2(Phospho-Y1007/Y1008) using 13352 at 1/100 dilution in immunohistochemical analysis.
Immunocytochemistry/ Immunofluorescence JAK2(Phospho-Y1007/Y1008) antibody (13352)
ICC/IF staining of AK2(Phospho-Y1007/Y1008) in Jurkat cells. Cells were fixed with 4% Paraformaldehyde permeabilized with 0.1% Triton X-100.
Samples were incubated with 13352 at a working dilution of 1/100. The secondary antibody was Alexa Fluor® 488 goat anti rabbit;used at a dilution of 1/500.
Nuclei were counterstained with DAPI.

JAK2 (Janus Kinase 2) belongs to the emerging family of non-receptor Janus tyrosine kinases, which regulate a spectrum of cellular functions downstream of activated cytokine receptors in the lympho-hematopoietic system. Immuno-logical stimuli, such as interferons and cytokines, induce recruitment of Stat transcription factors to cytokine receptor-associated JAK2. JAK2 then phosphorylates proximal Stat factors, which subsequently dimerize, translocate to the nucleus and bind to cis elements upstream of target gene promoters to regulate transcription. The canonical JAK-Stat pathway is integral to maintaining a normal immune system by stimulating proliferation, differentiation, survival, and host resistance to pathogens. Altering JAK-Stat signaling to reduce cytokine induced pro-inflammatory responses represents an attractive target for anti-inflammatory therapies. Within the JAK2 kinase domain, there is a region that has considerable sequence homology to the regulatory region of the insulin receptor. Among a variety of sites, Tyrosines 1007 and 1008 are sites of trans- or autophosphorylation in vivo and in in vitro kinase reactions.

如果您使用该产品13352发表了文章,请通知我们,让我们可以引用您的文献。

et al,Salinomycin promotes T-cell proliferation by inhibiting the expression and enzymatic activity of immunosuppressive indoleamine-2,3-dioxygenase in human breast cancer cells. In Toxicol Appl Pharmacol on 2020 Oct 1 by Yuwen Sheng, Zhonghui Zhang, et al..PMID:32822738 , (2020),
PMID: 32822738

注释

应用

  • WB免疫印迹
  • IHC免疫组化
  • IF免疫荧光
  • ICC免疫细胞化学
  • FC流式细胞
  • IP免疫沉淀
  • E酶联免疫吸附法
  • DB免疫斑点法
  • ChIP染色质免疫沉淀
  • GICA胶体金免疫层析法
  • NC阴性对照

种属反应性

  • Hu
  • Ms小鼠
  • Rt大鼠
  • Dm果蝇
  • C线虫
  • Mk
  • Rb
  • B
  • D
  • P
  • Hm仓鼠
  • ChHm中国仓鼠
  • Chk
;

联系我们

Location :

南京市高新开发区星火路10号人才大厦C座

Phone :

400-9961-933
025-58868422

Email Address

info@sabbiotech.com