免费电话:400-9961-933
邮箱:info@sabbiotech.com
欢迎光临本站
川博智能体 English
位置: 首页 > 磷酸化抗体 > Tau(Phospho-T231) Rabbit mAb

Tau(Phospho-T231) Rabbit mAb#13381

是否有货: Yes
产品详情

产品名称Tau(Phospho-T231) Rabbit mAb

克隆号SC58-08

来源种属Rabbit

克隆性Monoclonal

纯化ProA affinity purified

应用WB;ICC/IF;IHC

种属反应性Human;Mouse;Rat

免疫原描述Synthetic phospho-peptide corresponding to residues surrounding Thr231 of human Tau.

标记Unconjugated

别名AI413597 antibody
AW045860 antibody
DDPAC antibody
FLJ31424 antibody
FTDP 17 antibody
G protein beta1/gamma2 subunit interacting factor 1 antibody
MAPT antibody
MAPTL antibody
MGC134287 antibody
MGC138549 antibody
MGC156663 antibody
Microtubule associated protein tau antibody
Microtubule associated protein tau isoform 4 antibody
Microtubule-associated protein tau antibody
MSTD antibody
Mtapt antibody
MTBT1 antibody
MTBT2 antibody
Neurofibrillary tangle protein antibody
Paired helical filament tau antibody
Paired helical filament-tau antibody
PHF tau antibody
PHF-tau antibody
PPND antibody
PPP1R103 antibody
Protein phosphatase 1, regulatory subunit 103 antibody
pTau antibody
RNPTAU antibody
TAU antibody
TAU_HUMAN antibody
Tauopathy and respiratory failure, included antibody

数据库入口号Swiss-Prot#:P10636

Uniprot P10636

计算分子量46 kDa

实际分子量48 kDa

配方1*TBS (pH7.4), 1%BSA, 40%Glycerol. Preservative: 0.05% Sodium Azide.

保存Store at -20˚C

应用详情
WB: 1:500-1:2000
ICC/IF: 1:50-1:200
IHC: 1:50-1:200
All lanes : Tau(Phospho-T231) Rabbit mAb at 1/1k dilution
Lane 1 : SH-SY5Y whole cell lysates
Lane 2 : Rat brain tissue lysates
Lane 3 : Mouse brain tissue lysates
Lane 4 : Mouse brain treated with λpp for 1 hour tissue lysates
Lysates/proteins at 20 µg per lane.
Secondary
All lanes : Goat Anti-Rabbit IgG H&L (HRP) at 1/20000 dilution
Predicted band size: 46 kDa
Observed band size: 48 kDa
Exposure time: 9 seconds
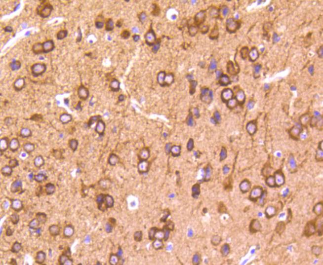
Formalin-fixed;paraffin-embedded mouse brain tissue stained for Tau(Phospho-T231) using 13381 at 1/100 dilution in immunohistochemical analysis.
Immunocytochemistry/ Immunofluorescence Tau (Phospho-T231) antibody (13381)
ICC/IF staining of Tau (Phospho-T231 in SH-SY5Y cells. Cells were fixed with 4% Paraformaldehyde permeabilized with 0.1% Triton X-100.
Samples were incubated with 13381 at a working dilution of 1/100. The secondary antibody was Alexa Fluor® 647 goat anti rabbit;used at a dilution of 1/500.
Nuclei were counterstained with DAPI.

Tau, also known as MAPT (microtubule-associated protein tau), MAPTL, MTBT1 or TAU, is a 758 amino acid protein that localizes to the cytoplasm, as well as to the cytoskeleton and the cell membrane, and contains four Tau/MAP repeats. Expressed in neuronal tissue and existing as multiple alternatively spliced isoforms, Tau functions to promote microtubule assembly and stability and is thought to be involved in the maintenance of neuronal polarity. Tau may also link microtubules with neural plasma membrane components and, addition to its role in microtubule stability, is also necessary for cytoskeletal plasticity. Tau is highly subject to a variety of post-translational modifications, including phosphorylation on serine and threonine residues, polyubiquitination (and subsequent proteasomal degradation) and glycation of specific Tau isoforms. Defects in the gene encoding Tau are associated with Alzheimers disease, pallido-ponto-nigral degeneration (PPND), corticobasal degeneration (CBD) and progressive supranuclear palsy (PSP).

如果您使用该产品13381发表了文章,请通知我们,让我们可以引用您的文献。

et al,Physiological clearance of A尾 by spleen and splenectomy aggravates Alzheimer-type pathogenesis. In Aging Cell on 2021 Dec 23 by Zhong-Yuan Yu, Dong-Wan Chen,et al..PMID:34939734 , (2021),
PMID: 34939734
et al,14-3-3味 Captures SET in the Cytoplasm, Mediating Tau Pathology and Cognitive Impairments. , (2021),
PMID:
et al,Physiological clearance of Aβ by spleen and splenectomy aggravates Alzheimer-type pathogenesis. In Aging Cell on 2022 Jan by Zhong-Yuan Yu, Dong-Wan Chen,et al..PMID:34939734 , (2022),
PMID: 34939734
et al,Autoantibodies to BACE1 promote Aβ accumulation and neurodegeneration in Alzheimer's disease. In Acta Neuropathol on 2024 Oct 24 by Ye-Ran Wang, Xiao-Qin Zeng,et al..PMID:39448400 , (2024),
PMID: 39448400
et al,Autoantibodies to BACE1 promote Aβ accumulation and neurodegeneration in Alzheimer's disease. In Acta Neuropathol on 2024 Oct 24 by Ye-Ran Wang, Xiao-Qin Zeng,et al..PMID:39448400 , (2024),
PMID: 39448400
et al,Codonopsis pilosula Polysaccharide Attenuates Tau Hyperphosphorylation and Cognitive Impairments in hTau Infected Mice , (2018),
PMID:
et al,Roles of blood monocytes carrying TREM2 R47H mutation in pathogenesis of Alzheimer's disease and its therapeutic potential in APP/PS1 mice , (2024),
PMID:
查看更多
et al,Fingolimod ameliorates amyloid deposition and neurodegeneration in APP/PS1 mouse model of Alzheimer's disease. , (2025),
PMID: 40158900
et al,Roles of blood monocytes carrying TREM2R47H mutation in pathogenesis of Alzheimer's disease and its therapeutic potential in APP/PS1 mice , (2025),
PMID: 39740209

注释

应用

  • WB免疫印迹
  • IHC免疫组化
  • IF免疫荧光
  • ICC免疫细胞化学
  • FC流式细胞
  • IP免疫沉淀
  • E酶联免疫吸附法
  • DB免疫斑点法
  • ChIP染色质免疫沉淀
  • GICA胶体金免疫层析法
  • NC阴性对照

种属反应性

  • Hu
  • Ms小鼠
  • Rt大鼠
  • Dm果蝇
  • C线虫
  • Mk
  • Rb
  • B
  • D
  • P
  • Hm仓鼠
  • ChHm中国仓鼠
  • Chk
;

联系我们

Location :

南京市高新开发区星火路10号人才大厦C座

Phone :

400-9961-933
025-58868422

Email Address

info@sabbiotech.com