免费电话:400-9961-933
邮箱:info@sabbiotech.com
欢迎光临本站
川博智能体 English
位置: 首页 > 磷酸化抗体 > FAK (Phospho-Y397) Rabbit mAb

FAK (Phospho-Y397) Rabbit mAb#13383

是否有货: Yes
产品详情

产品名称FAK (Phospho-Y397) Rabbit mAb

克隆号SC54-07

来源种属Rabbit

克隆性Monoclonal

纯化ProA affinity purified

应用WB;ICC/IF;IHC

种属反应性Human;Mouse;Rat

免疫原描述Synthetic phospho-peptide corresponding to residues surrounding Tyr397 of human FAK.

标记Unconjugated

别名FADK 1 antibody
FADK antibody
FAK related non kinase polypeptide antibody
FAK1 antibody
FAK1_HUMAN antibody
Focal adhesion kinase 1 antibody
Focal adhesion Kinase antibody
Focal adhesion kinase isoform FAK Del33 antibody
Focal adhesion kinase related nonkinase antibody
FRNK antibody
p125FAK antibody
pp125FAK antibody
PPP1R71 antibody
Protein phosphatase 1 regulatory subunit 71 antibody
Protein tyrosine kinase 2 antibody
Protein-tyrosine kinase 2 antibody
Ptk2 antibody
PTK2 protein tyrosine kinase 2 antibody

数据库入口号Swiss-Prot#:Q05397

Uniprot Q05397

计算分子量119 kDa

实际分子量119 kDa

配方1*TBS (pH7.4), 1%BSA, 40%Glycerol. Preservative: 0.05% Sodium Azide.

保存Store at -20˚C

应用详情
WB: 1:500-1:2000
ICC/IF: 1:50-1:200
IHC: 1:50-1:200
All lanes : FAK (Phospho-Y397) Rabbit mAb at 1/1k dilution
Lane 1 : Hela whole cell lysates treated with λpp for 1 hour
Lane 2 : Hela whole cell lysates
Lysates/proteins at 20 µg per lane.
Secondary
All lanes : Goat Anti-Rabbit IgG H&L (HRP) at 1/20000 dilution
Predicted band size: 119 kDa
Observed band size: 119 kDa
Exposure time: 10 seconds
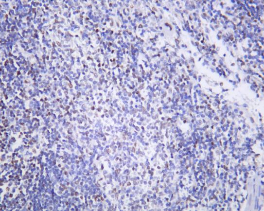
Formalin-fixed;paraffin-embedded rat spleen tissue stained for FAK (Phospho-Y397) using 13383 at 1/100 dilution in immunohistochemical analysis.
Immunocytochemistry/ Immunofluorescence FAK (Phospho-Y397) antibody (13383)
ICC/IF staining of FAK (Phospho-Y397) in NIH/3T3 cells. Cells were fixed with 4% Paraformaldehyde permeabilized with 0.1% Triton X-100.
Samples were incubated with 13383 at a working dilution of 1/100. The secondary antibody was Alexa Fluor® 488 goat anti rabbit;used at a dilution of 1/500.
Nuclei were counterstained with DAPI.
Immunocytochemistry/ Immunofluorescence FAK (Phospho-Y397) antibody (13383)
ICC/IF staining of FAK (Phospho-Y397) in Hela cells. Cells were fixed with 4% Paraformaldehyde permeabilized with 0.1% Triton X-100.
Samples were incubated with 13383 at a working dilution of 1/100. The secondary antibody was Alexa Fluor® 488 goat anti rabbit;used at a dilution of 1/500.
Nuclei were counterstained with DAPI.

Activation of integrins in the extracellular matrix (ECM) of eukaryotic cells promotes the formation of membrane adhesion complexes, known as focal adhesions, which can include cytoskeletal proteins and protein tyrosine kinases, such as focal adhesion kinase (FAK). Phosphorylation events occurring within focal adhesions influence numerous processes that include mitogenic signaling, cell survival, and cell motility. FAK is a non-receptor tyrosine kinase that is ubiquitously expressed and highly conserved between species. FAK is recruited by Integrin clusters and variably phosphorylated depending on the effector molecules present in the focal adhesion. Phosphorylation of FAK Tyr 397 decreases during serum starvation, contact inhibition, and cell cycle arrest, all conditions under which activating FAK Tyr 407 phosphorylation increases.

如果您使用该产品13383发表了文章,请通知我们,让我们可以引用您的文献。

et al,Anticancer Effect of Heparin-Taurocholate Conjugate on Orthotopically Induced Exocrine and Endocrine Pancreatic Cancer , (2021),
PMID: 34830928

注释

应用

  • WB免疫印迹
  • IHC免疫组化
  • IF免疫荧光
  • ICC免疫细胞化学
  • FC流式细胞
  • IP免疫沉淀
  • E酶联免疫吸附法
  • DB免疫斑点法
  • ChIP染色质免疫沉淀
  • GICA胶体金免疫层析法
  • NC阴性对照

种属反应性

  • Hu
  • Ms小鼠
  • Rt大鼠
  • Dm果蝇
  • C线虫
  • Mk
  • Rb
  • B
  • D
  • P
  • Hm仓鼠
  • ChHm中国仓鼠
  • Chk
;

联系我们

Location :

南京市高新开发区星火路10号人才大厦C座

Phone :

400-9961-933
025-58868422

Email Address

info@sabbiotech.com