免费电话:400-9961-933
邮箱:info@sabbiotech.com
欢迎光临本站
川博智能体 English
位置: 首页 > 磷酸化抗体 > TrkB(Phospho-Y817) Rabbit mAb

TrkB(Phospho-Y817) Rabbit mAb#13384

是否有货: Yes
产品详情

产品名称TrkB(Phospho-Y817) Rabbit mAb

克隆号SC0556

来源种属Rabbit

克隆性Monoclonal

纯化ProA affinity purified

应用WB;ICC/IF;IHC

种属反应性Human;Mouse;Rat

免疫原描述Synthetic phospho-peptide corresponding to residues surrounding Tyr817 of human TrkB.

标记Unconjugated

数据库入口号Swiss-Prot#:Q16620

Uniprot Q16620

计算分子量145 kDa

实际分子量140 kDa

配方1*TBS (pH7.4), 1%BSA, 40%Glycerol. Preservative: 0.05% Sodium Azide.

保存Store at -20˚C

应用详情
WB: 1:500-1:2000
ICC/IF: 1:50-1:200
IHC: 1:50-1:200
All lanes : TrkB(Phospho-Y817) Rabbit mAb at 1/1k dilution
Lane 1 : SH-SY5Y whole cell lysates
Lane 2 : Mouse brain tissue lysates
Lane 3 : Rat brain tissue lysates

Lysates/proteins at 20 µg per lane.
Secondary
All lanes : Goat Anti-Rabbit IgG H&L (HRP) at 1/20000 dilution
Predicted band size: 145 kDa
Observed band size: 140 kDa
Exposure time: 12 seconds
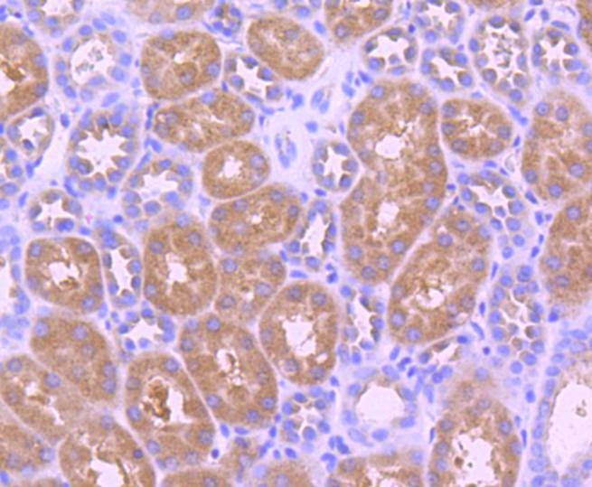
Formalin-fixed;paraffin-embedded human kidney tissue stained for TrkB (Phospho-Y817) using 13384 at 1/100 dilution in immunohistochemical analysis.
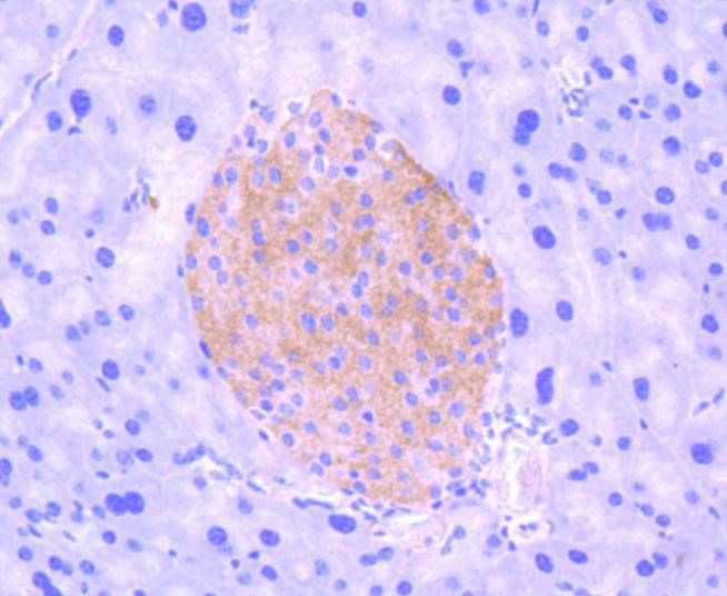
Formalin-fixed;paraffin-embedded human pancreas tissue stained for TrkB (Phospho-Y817) using 13384 at 1/100 dilution in immunohistochemical analysis.
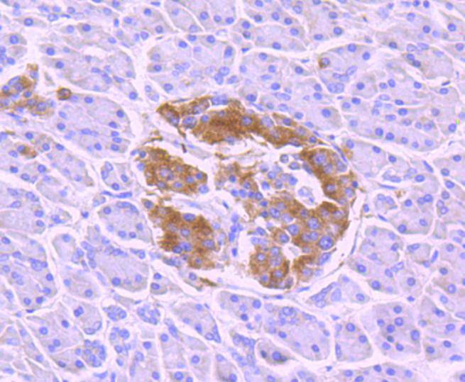
Formalin-fixed;paraffin-embedded mouse pancreas tissue stained for TrkB (Phospho-Y817) using 13384 at 1/100 dilution in immunohistochemical analysis.
Immunocytochemistry/ Immunofluorescence TrkB(Phospho-Y817) antibody (13384)
ICC/IF staining of TrkB(Phospho-Y817) in HeLa cells. Cells were fixed with 4% Paraformaldehyde permeabilized with 0.1% Triton X-100.
Samples were incubated with 13384 at a working dilution of 1/100. The secondary antibody was Alexa Fluor® 488 goat anti rabbit;used at a dilution of 1/500.
The cells were incubated 30 minutes at room temperature with phalloidin tritc .
Nuclei were counterstained with DAPI.

The Trk proto-oncogene encodes a tyrosine protein kinase, Trk A, also designated Trk gp140, that serves as a receptor for certain neurotrophic factors including nerve growth factor (NGF) and neurotrophin-3 (NT-3). Trk B is a tyrosine kinase gene highly related to Trk A. Trk B expression is confined to tissues within the central and peripheral nervous systems. The brain-derived neurotrophic factor (BDNF) and NT-3, but not NGF, can induce rapid phosphorylation on tyrosine of Trk B gp145, one of the receptors encoded by NTRK2, although BDNF elicits a response at least two orders of magnitude greater than NT-3. Thus it appears that Trk B gp145 may represent a neurotrophic receptor for BDNF and NT-3. The third member of the Trk family of tyrosine kinases, Trk C, encodes a protein designated Trk C gp145 that is preferentially expressed in brain tissue, is equally related to Trk A and Trk B and is a functional receptor for NT-3.

如果您使用该产品13384发表了文章,请通知我们,让我们可以引用您的文献。

et al,Lysophosphatidic acid-induced YAP activation regulates osteogenesis of MC3T3-E1 , (2025),
PMID: 40902513

注释

应用

  • WB免疫印迹
  • IHC免疫组化
  • IF免疫荧光
  • ICC免疫细胞化学
  • FC流式细胞
  • IP免疫沉淀
  • E酶联免疫吸附法
  • DB免疫斑点法
  • ChIP染色质免疫沉淀
  • GICA胶体金免疫层析法
  • NC阴性对照

种属反应性

  • Hu
  • Ms小鼠
  • Rt大鼠
  • Dm果蝇
  • C线虫
  • Mk
  • Rb
  • B
  • D
  • P
  • Hm仓鼠
  • ChHm中国仓鼠
  • Chk
;

联系我们

Location :

南京市高新开发区星火路10号人才大厦C座

Phone :

400-9961-933
025-58868422

Email Address

info@sabbiotech.com