免费电话:400-9961-933
邮箱:info@sabbiotech.com
欢迎光临本站
川博智能体 English
位置: 首页 > 磷酸化抗体 > Stat5(Phospho-Y694) Rabbit mAb

Stat5(Phospho-Y694) Rabbit mAb#13386

是否有货: Yes
产品详情

产品名称Stat5(Phospho-Y694) Rabbit mAb

克隆号SC05-31

来源种属Rabbit

克隆性Monoclonal

纯化ProA affinity purified

应用WB;ICC/IF;IHC

种属反应性Human;Mouse

免疫原描述Synthetic phospho-peptide corresponding to residues surrounding Tyr694 of human Stat5.

标记Unconjugated

别名MGF antibody
Signal transducer and activator of transcription 5A antibody
Signal Transducer and Activator of Transcription 5B antibody
STA5A_HUMAN antibody
STAT 5A antibody
STAT 5B antibody
STAT5 antibody
STAT5A antibody
STAT5B antibody
Transcription factor STAT5A antibody
Transcription factor STAT5B antibody

数据库入口号Swiss-Prot#:P42229

Uniprot P42229

计算分子量90 kDa

实际分子量90 kDa

配方1*TBS (pH7.4), 1%BSA, 40%Glycerol. Preservative: 0.05% Sodium Azide.

保存Store at -20˚C

应用详情
WB: 1:500-1:2000
ICC/IF: 1:50-1:200
IHC: 1:50-1:200
All lanes: Stat5(Phospho-Y694) Rabbit mAb at 1/1k dilution
Lane 1 : Hela whole cell lysates
Lane 2 : Hela treated with 100ng/mL IFN alpha for 60 minutes whole cell lysates
Lysates/proteins at 20 µg per lane.
Secondary
All lanes : Goat Anti-Rabbit IgG H&L (HRP) at 1/20000 dilution
Predicted band size: 90 kDa
Observed band size: 90 kDa
Exposure time: 10 seconds
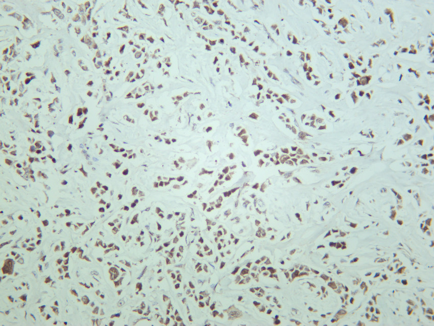
Formalin-fixed;paraffin-embedded human breast tissue stained for Stat5 (Phospho-Y694) using 13386 at 1/100 dilution in immunohistochemical analysis.
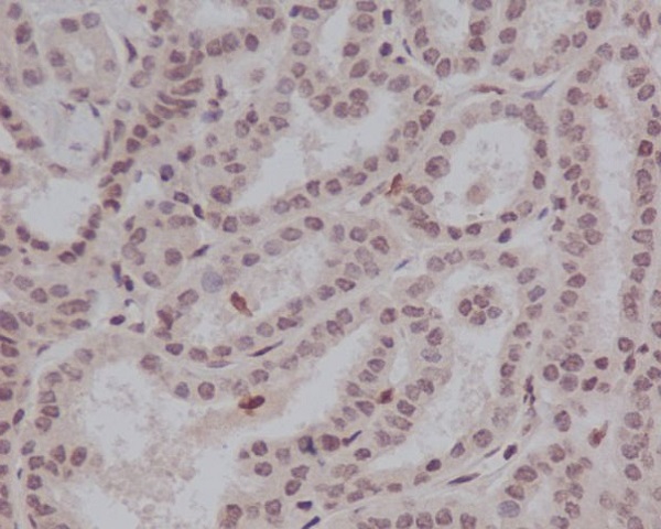
Formalin-fixed;paraffin-embedded human thyroid tissue stained for Stat5 (Phospho-Y694) using 13386 at 1/100 dilution in immunohistochemical analysis.
Immunocytochemistry/ Immunofluorescence Stat5 (Phospho-Y694) antibody (13386)
ICC/IF staining of Stat5 (Phospho-Y694) in PC-12 cells. Cells were fixed with 4% Paraformaldehyde permeabilized with 0.1% Triton X-100.
Samples were incubated with 13386 at a working dilution of 1/100. The secondary antibody was Alexa Fluor® 647 goat anti rabbit;used at a dilution of 1/500.

Stat5 (Signal Transducers and Activators of Transcription 5) is important in regulating T cell functions involving the receptors for Interleukin-2 (IL-2). IL-2 stimulates the rapid phosphorylation of both serine and tyrosine residues of Stat5a and Stat5b in human T lymphocytes and in several IL-2-responsive lymphocytic cell lines. IL-2 differentially induces serine phosphorylation of Stat5a and Stat5b on Ser726 and Ser731, respectively. Stat5b is preferentially phosphorylated and displays more protracted serine phosphorylation kinetics than Stat5a. Both the acid-rich region and the COOH terminus of IL-2Rb can independently mediate IL-2-induced Stat 5a/b serine phosphorylation, suggesting that Stat5a/b serine phosphorylation occurs at a postreceptor level. Stat5a is phosphorylated on Tyr694 in a prolactin-sensitive manner, whereas serine phosphorylation is constitutive. Activation of Stat5 by IL-2 may help govern the biological effects of IL-2 during the immune response.

如果您使用该产品13386发表了文章,请通知我们,让我们可以引用您的文献。

et al,Characterization of the rat oncostatin M receptor complex which resembles the human, but differs from the murine cytokine receptor. In PLoS One on 2012 by Johannes Drechsler, Joachim Gr枚tzinger, et al..PMID: 22937020 , (2012),
PMID: 22937020

注释

应用

  • WB免疫印迹
  • IHC免疫组化
  • IF免疫荧光
  • ICC免疫细胞化学
  • FC流式细胞
  • IP免疫沉淀
  • E酶联免疫吸附法
  • DB免疫斑点法
  • ChIP染色质免疫沉淀
  • GICA胶体金免疫层析法
  • NC阴性对照

种属反应性

  • Hu
  • Ms小鼠
  • Rt大鼠
  • Dm果蝇
  • C线虫
  • Mk
  • Rb
  • B
  • D
  • P
  • Hm仓鼠
  • ChHm中国仓鼠
  • Chk
;

联系我们

Location :

南京市高新开发区星火路10号人才大厦C座

Phone :

400-9961-933
025-58868422

Email Address

info@sabbiotech.com