免费电话:400-9961-933
邮箱:info@sabbiotech.com
欢迎光临本站
川博智能体 English
位置: 首页 > 磷酸化抗体 > MouseK1(Phospho-S376) Rabbit mAb

MouseK1(Phospho-S376) Rabbit mAb#13389

是否有货: Yes
产品详情

产品名称MouseK1(Phospho-S376) Rabbit mAb

克隆号SN63-05

来源种属Rabbit

克隆性Monoclonal

纯化ProA affinity purified

应用WB;ICC/IF;IHC

种属反应性Human;Rat

免疫原描述Synthetic phospho-peptide corresponding to residues surrounding Ser376 of human MSK1.

标记Unconjugated

别名90 kDa ribosomal protein S6 kinase 5 antibody
EC 2.7.11.1 antibody
KS6A5_HUMAN antibody
MGC1911 antibody
Mitogen and stress activated protein kinase 1 antibody
MSPK1 antibody
Nuclear Mitogen And Stress Activated Protein Kinase 1 antibody
Nuclear mitogen- and stress-activated protein kinase 1 antibody
Ribosomal protein S6 kinase 90kD polypeptide 5 antibody
Ribosomal protein S6 kinase 90kDa antibody
Ribosomal protein S6 kinase 90kDa polypeptide 5 antibody
Ribosomal Protein S6 Kinase Alpha 5 antibody
Ribosomal protein S6 kinase alpha-5 antibody
RLPK antibody
RPS6KA5 antibody
RSK Like Protein Kinase antibody
RSK-like protein kinase antibody
RSKL antibody
S6K alpha 5 antibody
S6K-alpha-5 antibody

数据库入口号Swiss-Prot#:O75582

Uniprot O75582

计算分子量90 kDa

实际分子量90 kDa

配方1*TBS (pH7.4), 1%BSA, 40%Glycerol. Preservative: 0.05% Sodium Azide.

保存Store at -20˚C

应用详情
WB: 1:500-1:2000
ICC/IF: 1:50-1:200
IHC: 1:50-1:200
All lanes: MouseK1(Phospho-S376) Rabbit mAb at 1/1k dilution
Lane 1 : 293 whole cell lysates
Lane 2 : 293 treated with 200nM TPA for 30 minutes whole cell lysates
Lysates/proteins at 20 µg per lane.
Secondary
All lanes : Goat Anti-Rabbit IgG H&L (HRP) at 1/20000 dilution
Predicted band size: 90 kDa
Observed band size: 90 kDa
Exposure time: 10 seconds
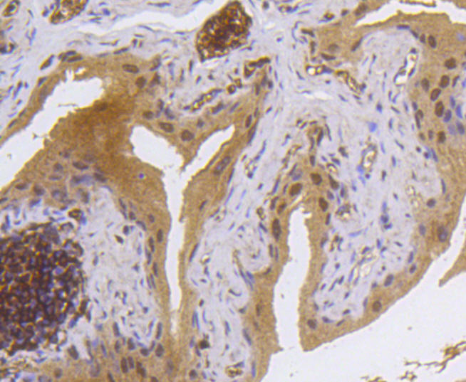
Formalin-fixed;paraffin-embedded mouse bladder tissue stained for MouseK1(Phospho-S376) using 13389 at 1/100 dilution in immunohistochemical analysis.
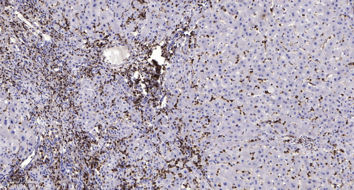
Formalin-fixed;paraffin-embedded human liver cancer tissue stained for MouseK1(Phospho-phospho S376) using 13389 at 1/100 dilution in immunohistochemical analysis.
Immunocytochemistry/ Immunofluorescence MouseK1(Phospho- S376) antibody (13389)
ICC/IF staining of MouseK1(Phospho- S376) in HeLa cells. Cells were fixed with 4% Paraformaldehyde permeabilized with 0.1% Triton X-100.
Samples were incubated with 13389 at a working dilution of 1/100. The secondary antibody was Alexa Fluor® 488 goat anti rabbit;used at a dilution of 1/500.
Nuclei were counterstained with DAPI.
Immunocytochemistry/ Immunofluorescence MouseK1(Phospho-S376) antibody (13389)
ICC/IF staining of MouseK1(Phospho-S376) in PC-3M cells. Cells were fixed with 4% Paraformaldehyde permeabilized with 0.1% Triton X-100.
Samples were incubated with 13389 at a working dilution of 1/100. The secondary antibody was Alexa Fluor® 488 goat anti rabbit;used at a dilution of 1/500.
Nuclei were counterstained with DAPI.

The family of ribosomal S6 kinases (Rsks), designated Rsk-1, Rsk-2 and Rsk-3, have been implicated as important signaling intermediates in response to a broad range of ligand-activated receptor tyrosine kinases. A unique feature common to the three members of the Rsk family is that each possesses two non-identical complete kinase catalytic domains. A related S6 kinase, p70 S6 kinase, functions to phosphorylate the S6 protein on ribosomal 40S subunits. p70 S6 kinase b shares high sequence homology with p70 S6 kinase, except in the carboxy terminus where it contains a proline-rich domain that may be involved in SH3 domain containing protein interactions. MSK1 (also designated RLPK) is related to Rsk and p70 S6 kinase family members and is thought to be structurally similar to Rsk family members, but it may be regulated by distinct mechanisms.

如果您使用该产品13389发表了文章,请通知我们,让我们可以引用您的文献。

et al,Lysophosphatidic acid-induced YAP activation regulates osteogenesis of MC3T3-E1 , (2025),
PMID: 40902513

注释

应用

  • WB免疫印迹
  • IHC免疫组化
  • IF免疫荧光
  • ICC免疫细胞化学
  • FC流式细胞
  • IP免疫沉淀
  • E酶联免疫吸附法
  • DB免疫斑点法
  • ChIP染色质免疫沉淀
  • GICA胶体金免疫层析法
  • NC阴性对照

种属反应性

  • Hu
  • Ms小鼠
  • Rt大鼠
  • Dm果蝇
  • C线虫
  • Mk
  • Rb
  • B
  • D
  • P
  • Hm仓鼠
  • ChHm中国仓鼠
  • Chk
;

联系我们

Location :

南京市高新开发区星火路10号人才大厦C座

Phone :

400-9961-933
025-58868422

Email Address

info@sabbiotech.com