免费电话:400-9961-933
邮箱:info@sabbiotech.com
欢迎光临本站
川博智能体 English
位置: 首页 > 磷酸化抗体 > Tau(Phospho-S396) Rabbit mAb

Tau(Phospho-S396) Rabbit mAb#13400

是否有货: Yes
产品详情

产品名称Tau(Phospho-S396) Rabbit mAb

克隆号SN62-09

来源种属Recombinant Rabbit

克隆性Monoclonal

纯化Affinity-chromatography

应用WB;ICC/IF;IHC

种属反应性Human;Mouse;Rat

免疫原描述A synthesized peptide derived from human Tau around the phosphorylation site of S396

标记Unconjugated

别名AI413597 antibody
AW045860 antibody
DDPAC antibody
FLJ31424 antibody
FTDP 17 antibody
G protein beta1/gamma2 subunit interacting factor 1 antibody
MAPT antibody
MAPTL antibody
MGC134287 antibody
MGC138549 antibody
MGC156663 antibody
Microtubule associated protein tau antibody
Microtubule associated protein tau isoform 4 antibody
Microtubule-associated protein tau antibody
MSTD antibody
Mtapt antibody
MTBT1 antibody
MTBT2 antibody
Neurofibrillary tangle protein antibody
Paired helical filament tau antibody
Paired helical filament-tau antibody
PHF tau antibody
PHF-tau antibody
PPND antibody
PPP1R103 antibody
Protein phosphatase 1, regulatory subunit 103 antibody
pTau antibody
RNPTAU antibody
TAU antibody
TAU_HUMAN antibody
Tauopathy and respiratory failure, included antibody

数据库入口号Swiss-Prot#:P10636

Uniprot P10636

计算分子量79 kDa

实际分子量50-80 kDa

配方Rabbit IgG in 10mM phosphate buffered saline , pH 7.4, 150mM sodium chloride, 0.05% BSA, 0.02% sodium azide and 50% glycerol.

保存Store at +4°C for short term. Store at -20°C for long term. Avoid freeze/thaw cycle.

应用详情
WB: 1:500-1:2000
ICC/IF: 1:50-1:200
IHC: 1:50-1:200
All lanes :Tau(Phospho-S396) Rabbit mAb at 1/500 dilution
Lane 1 : Mouse brain lysates
Lysates/proteins at 20 µg per lane.
Secondary
All lanes : Goat Anti-Rabbit IgG H&L (HRP) at 1/20000 dilution
Predicted band size: 79 kDa
Observed band size: 50-80 kDa
Exposure time: 12 seconds
All lanes :Tau(Phospho-S396) Rabbit mAb at 1/500 dilution
Lane 1 : SH-SY5Y treated with AP whole cell lysates
Lane 2 : SH-SY5Y whole cell lysates
Lysates/proteins at 20 µg per lane.
Secondary
All lanes : Goat Anti-Rabbit IgG H&L (HRP) at 1/20000 dilution
Predicted band size: 79 kDa
Observed band size: 50-80 kDa
Exposure time: 12 seconds
All lanes :Tau(Phospho-S396) Rabbit mAb at 1/500 dilution
Lane 1 : Rat brain lysates
Lysates/proteins at 20 µg per lane.
Secondary
All lanes : Goat Anti-Rabbit IgG H&L (HRP) at 1/20000 dilution
Predicted band size: 79 kDa
Observed band size: 50-80 kDa
Exposure time: 12 seconds
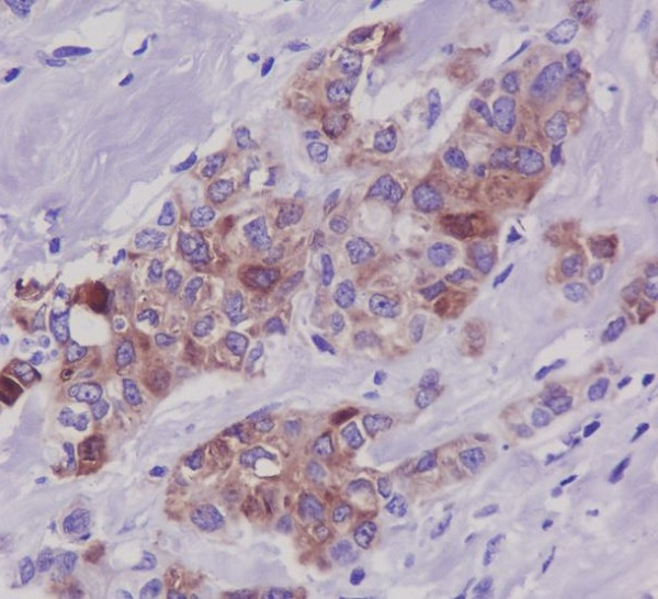
Formalin-fixed;paraffin-embedded human breast carcinoma tissue stained for Tau(Phospho-S396) using 13400 at 1/100 dilution in immunohistochemical analysis.
Immunocytochemistry/ Immunofluorescence Tau (Phospho-S396) antibody (13400)
ICC/IF staining of Tau(Phospho-S396) in HeLa cells. Cells were fixed with 4% Paraformaldehyde permeabilized with 0.1% Triton X-100.
Samples were incubated with 13400 at a working dilution of 1/100. The secondary antibody was Alexa Fluor® 488 goat anti rabbit;used at a dilution of 1/500.
Nuclei were counterstained with DAPI.
Promotes microtubule assembly and stability, and might be involved in the establishment and maintenance of neuronal polarity. The C-terminus binds axonal microtubules while the N-terminus binds neural plasma membrane components, suggesting that tau functions as a linker protein between both.

如果您使用该产品13400发表了文章,请通知我们,让我们可以引用您的文献。

et al,Genetic deletion of 伪7 nicotinic acetylcholine receptors induces an age-dependent Alzheimer鈥檚 disease-like pathology. In Prog Neurobiol on 2021 Nov by Maria Rosaria Tropea, Domenica D Li Puma,et al..PMID:34453977 , (2021),
PMID: 34453977
et al,Effectiveness and mechanisms of combined use of antioxidant nutrients in protecting against oxidative stress-induced neuronal loss and related neurological deficits. In CNS Neurosci Ther on 2024 Jul by Lu Wang, Yingjuan Wei,et al..PMID:39072940 , (2024),
PMID: 39072940
et al,Age-dependent elevation of Nr4a1 attenuates PI3K/AKT/GSK3β pathway and mediates tau hyperphosphorylation and cognitive impairments , (2025),
PMID: 40533054
et al,Inhibition of Tumor Lipogenesis and Growth by Peptide‐Based Targeting of SREBP Activation , (2025),
PMID: 40959854

注释

应用

  • WB免疫印迹
  • IHC免疫组化
  • IF免疫荧光
  • ICC免疫细胞化学
  • FC流式细胞
  • IP免疫沉淀
  • E酶联免疫吸附法
  • DB免疫斑点法
  • ChIP染色质免疫沉淀
  • GICA胶体金免疫层析法
  • NC阴性对照

种属反应性

  • Hu
  • Ms小鼠
  • Rt大鼠
  • Dm果蝇
  • C线虫
  • Mk
  • Rb
  • B
  • D
  • P
  • Hm仓鼠
  • ChHm中国仓鼠
  • Chk
;

联系我们

Location :

南京市高新开发区星火路10号人才大厦C座

Phone :

400-9961-933
025-58868422

Email Address

info@sabbiotech.com