免费电话:400-9961-933
邮箱:info@sabbiotech.com
欢迎光临本站
川博智能体 English
位置: 首页 > 磷酸化抗体 > YAP1 (Phospho-S127) Rabbit mAb

YAP1 (Phospho-S127) Rabbit mAb#13401

是否有货: Yes
产品详情

产品名称YAP1 (Phospho-S127) Rabbit mAb

克隆号SN0718

来源种属Recombinant Rabbit

克隆性Monoclonal

纯化ProA affinity purified

应用WB;ICC/IF;IHC

种属反应性Human;Mouse;Rat

免疫原描述Human breast carcinoma tissue, human kidney tissue, mouse kidney tissue.

标记Unconjugated

别名65 kDa Yes associated protein antibody
65 kDa Yes-associated protein antibody
COB1 antibody
YAp 1 antibody
YAP 65 antibody
YAP antibody
YAP1 antibody
YAP1_HUMAN antibody
YAP2 antibody
YAP65 antibody
yes -associated protein delta antibody
Yes associated protein 1 65kDa antibody
Yes associated protein 1 antibody
Yes associated protein 2 antibody
yes associated protein beta antibody
YKI antibody
Yorkie homolog antibody

数据库入口号Swiss-Prot#:P46937

Uniprot P46937

计算分子量54 kDa

实际分子量65 kDa

配方1*TBS (pH7.4), 1%BSA, 40%Glycerol. Preservative: 0.05% Sodium Azide.

保存Store at -20˚C

应用详情
WB: 1:500-1:2000
ICC/IF: 1:50-1:200
IHC: 1:50-1:200
All lanes : YAP1 (Phospho-S127) Rabbit mAb at 1/500 dilution
Lane 1 : Hela whole cell lysates
Lane 2 : Hela treated with 100nM Calyculin A for 30 minutes whole cell lysates
Lane 3 : C6 whole cell lysates
Lane 4 : C6 treated with 100nM Calyculin A for 30 minutes whole cell lysates
Lane 5 : NIH/3T3 whole cell lysates
Lane 6 : NIH/3T3 treated with 100nM Calyculin A for 30 minutes whole cell lysates
Lysates/proteins at 20 µg per lane.
Secondary
All lanes : Goat Anti-Rabbit IgG H&L (HRP) at 1/20000 dilution
Predicted band size: 54 kDa
Observed band size: 65kDa
Exposure time: 7 seconds
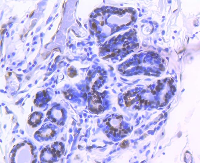
Formalin-fixed;paraffin-embedded human breast carcinoma tissue stained for YAP1 (Phospho-S127) using 13401 at 1/100 dilution in immunohistochemical analysis.
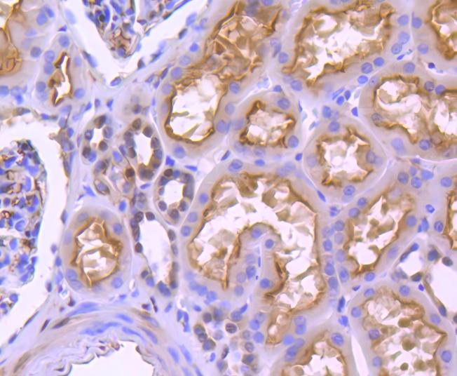
Formalin-fixed;paraffin-embedded human kidney tissue stained for YAP1 (Phospho-S127) using 13401 at 1/100 dilution in immunohistochemical analysis.
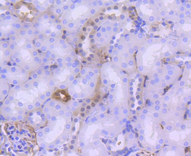
Formalin-fixed;paraffin-embedded mouse kidney tissue stained for YAP1 (Phospho-S127) using 13401 at 1/100 dilution in immunohistochemical analysis.
Immunocytochemistry/ Immunofluorescence YAP1 (Phospho-S127) antibody (13401)
ICC/IF staining of YAP1 (Phospho-S127) in HeLa cells. Cells were fixed with 4% Paraformaldehyde permeabilized with 0.1% Triton X-100.
Samples were incubated with 13401 at a working dilution of 1/100. The secondary antibody was Alexa Fluor® 647 goat anti rabbit;used at a dilution of 1/500.
Nuclei were counterstained with DAPI.

The Yes-associated protein, otherwise known as YAP, is a 14-3-3-binding molecule that was originally recognized by virtue of its ability to bind to the SH3 domain of Yes. The binding of YAP to 14-3-3 requires the phosphorylation of a homologous serine residue (Ser 112) in the YAP 14-3-3-binding motif. The highly conserved and ubiquitously expressed 14-3-3 proteins regulate differentiation, cell cycle progression and apoptosis by binding intracellular phosphoproteins involved in signal transduction. YAP may link events at the plasma membrane and cytoskeleton to inhibition of transcription in the nucleus in a manner regulated by 14-3-3 proteins. YAP shares homology with the WW domain of TAZ, transcriptional co-activator with PDZ-binding motif, which functions as a transcriptional co-activator by binding to the PPXY motif present in transcription factors. YAP is expressed at high levels in the lung, placenta, prostate, ovary and testis.

如果您使用该产品13401发表了文章,请通知我们,让我们可以引用您的文献。

et al,CSRP2 suppresses colorectal cancer progression viap130Cas/Racl axis-meditated ERK,PAK, and HIPPOsignaling pathways. In Theranostics on 2020 Sep 2 by Lixia Chen , Xiaoli Long,et al.. , (2021),
PMID: 33042270
et al,CSRP2 suppresses colorectal cancer progression viap130Cas/Racl axis-meditated ERK,PAK, and HIPPOsignaling pathways. In Theranostics on 2020 Sep 2 by Lixia Chen , Xiaoli Long,et al..PMID:33042270 , (2021),
PMID: 33042270

注释

应用

  • WB免疫印迹
  • IHC免疫组化
  • IF免疫荧光
  • ICC免疫细胞化学
  • FC流式细胞
  • IP免疫沉淀
  • E酶联免疫吸附法
  • DB免疫斑点法
  • ChIP染色质免疫沉淀
  • GICA胶体金免疫层析法
  • NC阴性对照

种属反应性

  • Hu
  • Ms小鼠
  • Rt大鼠
  • Dm果蝇
  • C线虫
  • Mk
  • Rb
  • B
  • D
  • P
  • Hm仓鼠
  • ChHm中国仓鼠
  • Chk
;

联系我们

Location :

南京市高新开发区星火路10号人才大厦C座

Phone :

400-9961-933
025-58868422

Email Address

info@sabbiotech.com