免费电话:400-9961-933
邮箱:info@sabbiotech.com
欢迎光临本站
川博智能体 English
位置: 首页 > 磷酸化抗体 > c-Jun(Phospho-T91) Rabbit mAb

c-Jun(Phospho-T91) Rabbit mAb#13420

是否有货: Yes
产品详情

产品名称c-Jun(Phospho-T91) Rabbit mAb

克隆号JJ080-9

来源种属Recombinant Rabbit

克隆性Monoclonal

纯化ProA affinity purified

应用WB;ICC/IF;IHC

种属反应性Human;Mouse;Rat

免疫原描述Synthetic phospho-peptide corresponding to residues surrounding Thr91 of human c-Jun.

标记Unconjugated

别名Activator protein 1 antibody
AP 1 antibody
AP1 antibody
cJun antibody
Enhancer Binding Protein AP1 antibody
Jun Activation Domain Binding Protein antibody
JUN antibody
Jun oncogene antibody
JUN protein antibody
Jun proto oncogene antibody
JUN_HUMAN antibody
JUNC antibody
Oncogene JUN antibody
p39 antibody
Proto oncogene c jun antibody
Proto oncogene cJun antibody
Proto-oncogene c-jun antibody
Transcription Factor AP 1 antibody
Transcription factor AP-1 antibody
Transcription Factor AP1 antibody
V jun avian sarcoma virus 17 oncogene homolog antibody
V jun sarcoma virus 17 oncogene homolog (avian) antibody
V jun sarcoma virus 17 oncogene homolog antibody
V-jun avian sarcoma virus 17 oncogene homolog antibody
vJun Avian Sarcoma Virus 17 Oncogene Homolog antibody

数据库入口号Swiss-Prot#:P05412

Uniprot P05412

计算分子量36 kDa

实际分子量40 kDa

配方1*TBS (pH7.4), 1%BSA, 40%Glycerol. Preservative: 0.05% Sodium Azide.

保存Store at -20˚C

应用详情
WB: 1:500-1:2000
ICC/IF: 1:50-1:200
IHC: 1:50-1:200
All lanes : c-Jun(Phospho-T91) Rabbit mAb at 1/500 dilution
Lane 1 : NIH/3T3 whole cell lysates
Lane 2 : NIH/3T3 treated with 250nM Anisomycin for 30 minutes whole cell lysates
Lane 3 : A549 whole cell lysates
Lane 4 : A549 treated with 250nM Anisomycin for 30 minutes whole cell lysates
Lysates/proteins at 20 µg per lane.
Secondary
All lanes : Goat Anti-Rabbit IgG H&L (HRP) at 1/20000 dilution
Predicted band size: 36 kDa
Observed band size: 40 kDa
Exposure time: 15 seconds
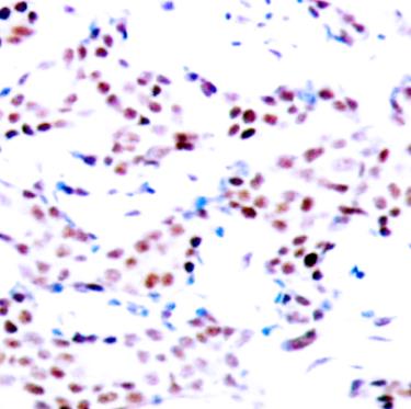
Formalin-fixed;paraffin-embedded human breast carcinoma tissue stained for c-Jun (Phospho-T91) using 13420 at 1/100 dilution in immunohistochemical analysis.
Immunocytochemistry/ Immunofluorescence cJun (Phospho-T91) antibody (13420)
ICC/IF staining of cJun(Phospho-T91) in HeLa cells. Cells were fixed with 4% Paraformaldehyde permeabilized with 0.1% Triton X-100.
Samples were incubated with 13420 at a working dilution of 1/100. The secondary antibody was Alexa Fluor® 488 goat anti rabbit;used at a dilution of 1/500.
Nuclei were counterstained with DAPI.

Genes belonging to the Jun and Fos oncogene families encode nuclear proteins that are associated with a number of transcriptional complexes. The c-Jun protein is a major component of the transcription factor AP-1, originally shown to mediate phorbol ester tumor promoter (TPA)-induced expression of responsive genes through the TPA-response element (TRE). The Jun proteins form homo- and heterodimers which bind the TRE, while Fos proteins are active only as heterodimers with any of the Jun proteins. Fos/Jun heterodimers have a much higher affinity for the TRE than Jun homodimers. Ha-Ras augments c-Jun activity and stimulates phosphorylation of its activation domain. An inhibitor of Fos/Jun function, termed IP-1, associates with Fos and Jun and is inactivated upon phosphorylation induced by the cAMP-dependent protein kinase A (PKA).

如果您使用该产品13420发表了文章,请通知我们,让我们可以引用您的文献。

et al,Development of a Mass Spectrometry-Based Quantitative Method for Two Isoallergens of Celery Allergen Api g 1 in Fresh and Processed Celery , (2025),
PMID: 40794457

注释

应用

  • WB免疫印迹
  • IHC免疫组化
  • IF免疫荧光
  • ICC免疫细胞化学
  • FC流式细胞
  • IP免疫沉淀
  • E酶联免疫吸附法
  • DB免疫斑点法
  • ChIP染色质免疫沉淀
  • GICA胶体金免疫层析法
  • NC阴性对照

种属反应性

  • Hu
  • Ms小鼠
  • Rt大鼠
  • Dm果蝇
  • C线虫
  • Mk
  • Rb
  • B
  • D
  • P
  • Hm仓鼠
  • ChHm中国仓鼠
  • Chk
;

联系我们

Location :

南京市高新开发区星火路10号人才大厦C座

Phone :

400-9961-933
025-58868422

Email Address

info@sabbiotech.com