免费电话:400-9961-933
邮箱:info@sabbiotech.com
欢迎光临本站
川博智能体 English
位置: 首页 > 磷酸化抗体 > AKT1(Phospho-S124) Rabbit mAb

AKT1(Phospho-S124) Rabbit mAb#13423

是否有货: Yes
产品详情

产品名称AKT1(Phospho-S124) Rabbit mAb

克隆号JJ08-46

来源种属Recombinant Rabbit

克隆性Monoclonal

纯化ProA affinity purified

应用WB;ICC/IF;IHC

种属反应性Human;Mouse;Rat

免疫原描述Synthetic phospho-peptide corresponding to residues surrounding Ser124 of human AKT1.

标记Unconjugated

别名AKT 1 antibody
AKT antibody
AKT1 antibody
AKT1_HUMAN antibody
MGC99656 antibody
PKB antibody
PKB-ALPHA antibody
PRKBA antibody
Protein Kinase B Alpha antibody
Protein kinase B antibody
Proto-oncogene c-Akt antibody
RAC Alpha antibody
RAC antibody
RAC-alpha serine/threonine-protein kinase antibody
RAC-PK-alpha antibody

数据库入口号Swiss-Prot#:P31749

Uniprot P31749

计算分子量56 kDa

实际分子量56 kDa

配方1*TBS (pH7.4), 1%BSA, 40%Glycerol. Preservative: 0.05% Sodium Azide.

保存Store at -20˚C

应用详情
WB: 1:500-1:2000
ICC/IF: 1:50-1:200
IHC: 1:50-1:200
All lanes : AKT1(Phospho-S124) Rabbit mAb at 1/1000 dilution
Lane 1 : MCF7 whole cell lysates treated with λpp for 1 hour
Lane 2 : MCF7 whole cell lysates
Lane 3 : PC12 whole cell lysates
Lane 4 : NIH/3T3 whole cell lysates
Lysates/proteins at 20 µg per lane.
Secondary
All lanes : Goat Anti-Rabbit IgG H&L (HRP) at 1/20000 dilution
Predicted band size: 56 kDa
Observed band size: 56 kDa
Exposure time: 12 seconds
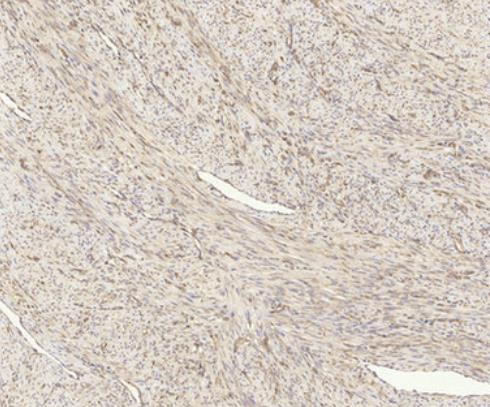
Formalin-fixed;paraffin-embedded human uterus cancer tissue stained for AKT1 (Phospho-S124) using 13423 at 1/100 dilution in immunohistochemical analysis.
Immunocytochemistry/ Immunofluorescence AKT1 (Phospho-S124) antibody (13423)
ICC/IF staining of AKT1(Phospho-S124) in NIH/3T3 cells. Cells were fixed with 4% Paraformaldehyde permeabilized with 0.1% Triton X-100.
Samples were incubated with 13423 at a working dilution of 1/100. The secondary antibody was Alexa Fluor® 488 goat anti rabbit;used at a dilution of 1/500.
Nuclei were counterstained with DAPI.

The serine/threonine kinase Akt family contains several members, including Akt1 (also designated PKB or RacPK), Akt2 (also designated PKBβ or RacPK-βb) and Akt 3 (also designated PKBγ or thyoma viral proto-oncogene 3), which exhibit sequence homology with the protein kinase A and C families and are encoded by the c-Akt proto-oncogene. All members of the Akt family have a pleckstrin homology domain. Akt1 and Akt2 are activated by PDGF stimulation. Activation is dependent on PDGFR-β Tyr residues 740 and 751, which bind the subunit of the phosphatidylinositol 3-kinase (PI 3-kinase) complex. Activation of Akt1 by Insulin or Insulin-growth factor-1(IGF-1) results in phosphorylation of both Thr 308 and Ser 473. Phosphorylation of both residues is important to generate a high level of Akt1 activity. The phosphorylation of Thr 308 is not dependent on phosphorylation of Ser 473 in vivo. Thus, Akt proteins become phosphorylated and activated in Insulin/IGF-1-stimulated cells by an upstream kinase(s). The activation of Akt1 and Akt2 is inhibited by the PI kinase inhibitor wortmannin, suggesting that the protein signals downstream of the PI kinases.

如果您使用该产品13423发表了文章,请通知我们,让我们可以引用您的文献。

et al,Xiao-Liu Tang (XLT), a traditional Chinese medicine formula that suppresses the progression of cervical cancer by inducing apoptosis and inhibiting cell migration , (2025),
PMID: 41344524

注释

应用

  • WB免疫印迹
  • IHC免疫组化
  • IF免疫荧光
  • ICC免疫细胞化学
  • FC流式细胞
  • IP免疫沉淀
  • E酶联免疫吸附法
  • DB免疫斑点法
  • ChIP染色质免疫沉淀
  • GICA胶体金免疫层析法
  • NC阴性对照

种属反应性

  • Hu
  • Ms小鼠
  • Rt大鼠
  • Dm果蝇
  • C线虫
  • Mk
  • Rb
  • B
  • D
  • P
  • Hm仓鼠
  • ChHm中国仓鼠
  • Chk
;

联系我们

Location :

南京市高新开发区星火路10号人才大厦C座

Phone :

400-9961-933
025-58868422

Email Address

info@sabbiotech.com