免费电话:400-9961-933
邮箱:info@sabbiotech.com
欢迎光临本站
川博智能体 English
位置: 首页 > 磷酸化抗体 > Creb (Phospho-S133) Rabbit mAb

Creb (Phospho-S133) Rabbit mAb#13435

是否有货: Yes
产品详情

产品名称Creb (Phospho-S133) Rabbit mAb

克隆号JB25-40

来源种属Recombinant Rabbit

克隆性Monoclonal

纯化ProA affinity purified

应用WB;ICC/IF;IHC

种属反应性Human;Mouse

免疫原描述Synthetic phospho-peptide corresponding to residues surrounding Ser133 of human Creb.

标记Unconjugated

别名Active transcription factor CREB antibody
cAMP response element binding protein 1 antibody
cAMP response element binding protein antibody
cAMP responsive element binding protein 1 antibody
cAMP-responsive element-binding protein 1 antibody
CREB antibody
CREB-1 antibody
CREB1 antibody
CREB1_HUMAN antibody
Cyclic AMP-responsive element-binding protein 1 antibody
MGC9284 antibody
OTTHUMP00000163864 antibody
OTTHUMP00000163865 antibody
OTTHUMP00000206660 antibody
OTTHUMP00000206662 antibody
OTTHUMP00000206667 antibody
Transactivator protein antibody

数据库入口号Swiss-Prot#:P16220

Uniprot P16220

计算分子量35 kDa

实际分子量46 kDa

配方1*TBS (pH7.4), 1%BSA, 40%Glycerol. Preservative: 0.05% Sodium Azide.

保存Store at -20˚C

应用详情
WB: 1:500-1:2000
ICC/IF: 1:50-1:200
IHC: 1:50-1:200
All lanes : Creb (Phospho-S133) Rabbit mAb at 1/1k dilution
Lane 1 : Hela whole cell lysates
Lane 2 : HeLa treated with 10 µM Forskolin for 30min whole cell lysates
Secondary
All lanes : Goat Anti-Rabbit IgG H&L (HRP) at 1/20000 dilution
Predicted band size: 35 kDa
Observed band size: 46 kDa
Exposure time: 5 seconds
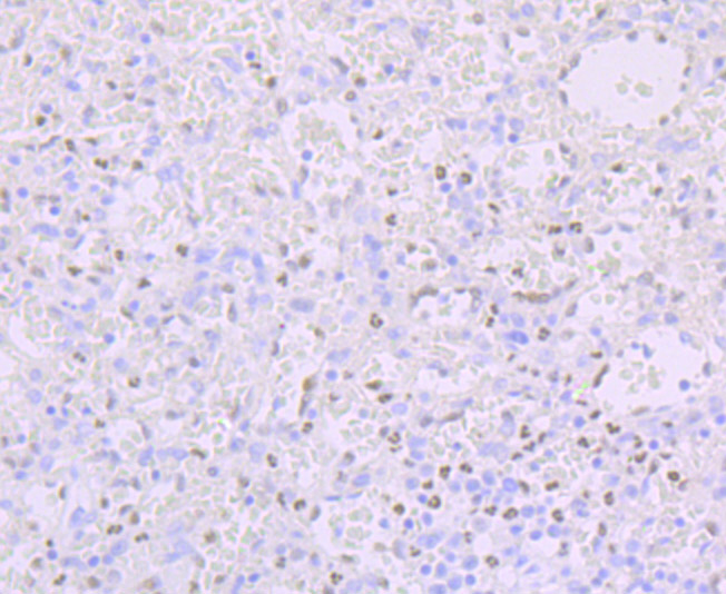
Formalin-fixed;paraffin-embedded human spleen tissue stained for Creb (Phospho-S133) using 13435 at 1/100 dilution in immunohistochemical analysis.
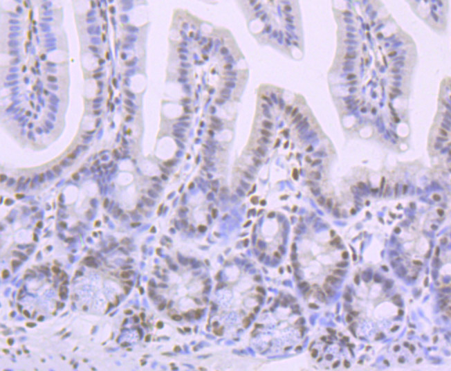
Formalin-fixed;paraffin-embedded mouse colon tissue stained for Creb (Phospho-S133) using 13435 at 1/100 dilution in immunohistochemical analysis.
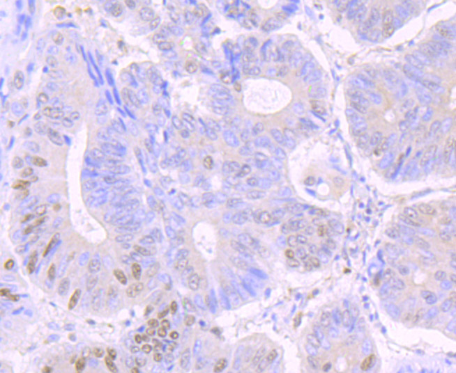
Formalin-fixed;paraffin-embedded human colon cancer tissue stained for Creb (Phospho-S133) using 13435 at 1/100 dilution in immunohistochemical analysis.
Immunocytochemistry/ Immunofluorescence Creb (Phospho-S133) antibody (13435)
ICC/IF staining of Creb (Phospho-S133) in SHSY5Y cells. Cells were fixed with 4% Paraformaldehyde permeabilized with 0.1% Triton X-100.
Samples were incubated with 13435 at a working dilution of 1/100. The secondary antibody was Alexa Fluor® 488 goat anti rabbit;used at a dilution of 1/500.
Nuclei were counterstained with DAPI.
Immunocytochemistry/ Immunofluorescence Creb (Phospho-S133) antibody (13435)
ICC/IF staining of Creb (Phospho-S133) in HUVEC cells. Cells were fixed with 4% Paraformaldehyde permeabilized with 0.1% Triton X-100.
Samples were incubated with 13435 at a working dilution of 1/100. The secondary antibody was Alexa Fluor® 488 goat anti rabbit;used at a dilution of 1/500.
Nuclei were counterstained with DAPI.

Phosphorylation-dependent transcription factor that stimulates transcription upon binding to the DNA cAMP response element (CRE), a sequence present in many viral and cellular promoters. Transcription activation is enhanced by the TORC coactivators which act independently of Ser-133 phosphorylation. Involved in different cellular processes including the synchronization of circadian rhythmicity and the differentiation of adipose cells.

如果您使用该产品13435发表了文章,请通知我们,让我们可以引用您的文献。

et al,Lactobacillus pentosus LPQ1 attenuates depressive-like behavior in BALB/C mice induced by chronic unpredictable mild stress (CUMS) , (2024),
PMID:
et al,Hydrogen sulfide decreases β-adrenergic agonist-stimulated lung liquid clearance by inhibiting ENaC-mediated transepithelial sodium absorption , (2015),
PMID:

注释

应用

  • WB免疫印迹
  • IHC免疫组化
  • IF免疫荧光
  • ICC免疫细胞化学
  • FC流式细胞
  • IP免疫沉淀
  • E酶联免疫吸附法
  • DB免疫斑点法
  • ChIP染色质免疫沉淀
  • GICA胶体金免疫层析法
  • NC阴性对照

种属反应性

  • Hu
  • Ms小鼠
  • Rt大鼠
  • Dm果蝇
  • C线虫
  • Mk
  • Rb
  • B
  • D
  • P
  • Hm仓鼠
  • ChHm中国仓鼠
  • Chk
;

联系我们

Location :

南京市高新开发区星火路10号人才大厦C座

Phone :

400-9961-933
025-58868422

Email Address

info@sabbiotech.com