免费电话:400-9961-933
邮箱:info@sabbiotech.com
欢迎光临本站
川博智能体 English
位置: 首页 > 磷酸化抗体 > MYPT1 (Phospho-Ser668) Antibody

MYPT1 (Phospho-Ser668) Antibody#13688

是否有货: Yes
产品详情

产品名称MYPT1 (Phospho-Ser668) Antibody

来源种属Rabbit

克隆性Polyclonal

纯化The antibody was affinity-purified from rabbit serum by affinity-chromatography using specific immunogen.

应用WB

种属反应性Human

特异性This antibody detects endogenous levels of Human MYPT1 (phospho-Ser668)

免疫原描述Synthesized phosho peptide around human MYPT1 (Ser668)

标记Unconjugated

别名Protein phosphatase 1 regulatory subunit 12A (Myosin phosphatase-targeting subunit 1) (Myosin phosphatase target subunit 1) (Protein phosphatase myosin-binding subunit)

数据库入口号Swiss Prot:O14974
GeneID:4659

Uniprot O14974

实际分子量130

浓度1 mg/ml

配方Liquid in PBS containing 50% glycerol, 0.5% BSA and 0.02% sodium azide.

保存-20˚C/1

应用详情
WB 1:1000-2000
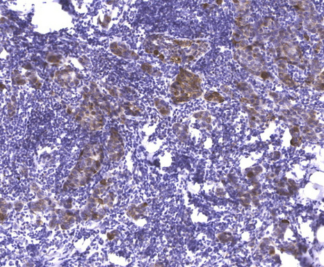
Immunohistochemical analysis of paraffin-embedded human breast carcinoma tissue using MYPT1 (phospho-Ser668) Antibody #13688.
protein phosphatase 1 regulatory subunit 12A(PPP1R12A) Homo sapiens Myosin phosphatase target subunit 1, which is also called the myosin-binding subunit of myosin phosphatase, is one of the subunits of myosin phosphatase. Myosin phosphatase regulates the interaction of actin and myosin downstream of the guanosine triphosphatase Rho. The small guanosine triphosphatase Rho is implicated in myosin light chain (MLC) phosphorylation, which results in contraction of smooth muscle and interaction of actin and myosin in nonmuscle cells. The guanosine triphosphate (GTP)-bound, active form of RhoA (GTP.RhoA) specifically interacted with the myosin-binding subunit (MBS) of myosin phosphatase, which regulates the extent of phosphorylation of MLC. Rho-associated kinase (Rho-kinase), which is activated by GTP. RhoA, phosphorylated MBS and consequently inactivated myosin phosphatase. Overexpression of RhoA or activated RhoA in NIH 3T3 cells increased phosph

如果您使用该产品13688发表了文章,请通知我们,让我们可以引用您的文献。

et al,Saikosaponin D ameliorates sepsis-induced acute lung injury by maintaining alveolar epithelial barrier integrity and inhibiting ferroptosis via Nrf2/HO-1 pathway , (2025),
PMID: 40569790

注释

应用

  • WB免疫印迹
  • IHC免疫组化
  • IF免疫荧光
  • ICC免疫细胞化学
  • FC流式细胞
  • IP免疫沉淀
  • E酶联免疫吸附法
  • DB免疫斑点法
  • ChIP染色质免疫沉淀
  • GICA胶体金免疫层析法
  • NC阴性对照

种属反应性

  • Hu
  • Ms小鼠
  • Rt大鼠
  • Dm果蝇
  • C线虫
  • Mk
  • Rb
  • B
  • D
  • P
  • Hm仓鼠
  • ChHm中国仓鼠
  • Chk
;

联系我们

Location :

南京市高新开发区星火路10号人才大厦C座

Phone :

400-9961-933
025-58868422

Email Address

info@sabbiotech.com