免费电话:400-9961-933
邮箱:info@sabbiotech.com
欢迎光临本站
川博智能体 English
位置: 首页 > 磷酸化抗体 > ATF-2 (Phospho-Thr69) Antibody

ATF-2 (Phospho-Thr69) Antibody#14065

是否有货: Yes
产品详情

产品名称ATF-2 (Phospho-Thr69) Antibody

来源种属Rabbit

克隆性Polyclonal

纯化The antibody was affinity-purified from rabbit antiserum by affinity-chromatography using epitope-specific immunogen.

应用WB;IHC;IF;IP;ELISA

种属反应性Human;Mouse;Rat

特异性Phospho-ATF-2 (T69) Polyclonal Antibody detects endogenous levels of ATF-2 protein only when phosphorylated at T69.

免疫原描述The antiserum was produced against synthesized peptide derived from human ATF2 around the phosphorylation site of Thr69 or 51. AA range:36-85

标记Unconjugated

别名ATF2; CREB2; CREBP1; Cyclic AMP-dependent transcription factor ATF-2; cAMP-dependent transcription factor ATF-2; Activating transcription factor 2; Cyclic AMP-responsive element-binding protein 2; CREB-2; cAMP-responsive element-binding pro

数据库入口号Swiss Prot:P15336
GeneID:1386

Uniprot P15336

计算分子量55 kDa

实际分子量65,75 kDa

浓度1 mg/ml

配方Liquid in PBS containing 50% glycerol, 0.5% BSA and 0.02% sodium azide.

保存-20˚C/1

应用详情
WB 1:500-1:2000; IHC 1:100-1:300; IP 2-5 ug/mg lysate; ELISA 1:20000; IF 1:50-200
All lanes : ATF-2 (Phospho-Thr69) Antibody at 1/500 dilution
Lane 1 : LOVO whole cell lysates
Lane 2 : LOVO treated with Lambda Protein Phosphatase for 1 hour whole cell
Lysates/proteins at 20 µg per lane.
Secondary
All lanes : Goat Anti-Rabbit IgG H&L (HRP) at 1/20000 dilution
Predicted band size: 55 kDa
Observed band size: 65,75 kDa
Exposure time: 7 seconds
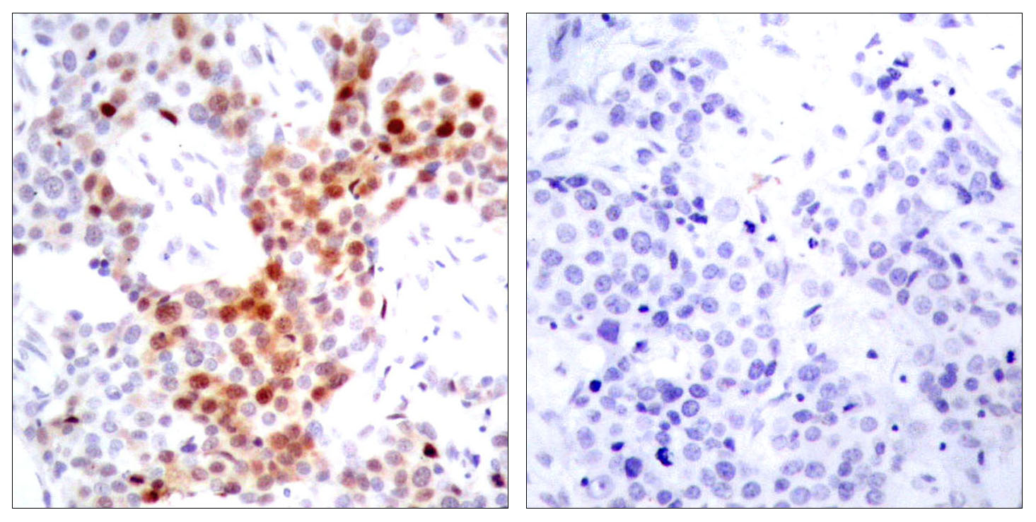
Immunohistochemical analysis of paraffin-embedded human breast carcinoma tissue using ATF-2 (Phospho-Thr69) Antibody #14065. The picture on the right is treated with the synthesized peptide.
activating transcription factor 2(ATF2) Homo sapiens This gene encodes a transcription factor that is a member of the leucine zipper family of DNA binding proteins. The encoded protein has been identified as a moonlighting protein based on its ability to perform mechanistically distinct functions This protein binds to the cAMP-responsive element (CRE), an octameric palindrome. It forms a homodimer or a heterodimer with c-Jun and stimulates CRE-dependent transcription. This protein is also a histone acetyltransferase (HAT) that specifically acetylates histones H2B and H4 in vitro; thus it may represent a class of sequence-specific factors that activate transcription by direct effects on chromatin components. The encoded protein may also be involved in cell's DNA damage response independent of its role in transcriptional regulation. Several alternatively spliced transcript variants have been found for this gene [provided by RefSeq, Jan 2014

如果您使用该产品14065发表了文章,请通知我们,让我们可以引用您的文献。

et al,ACSS2 acts as a lactyl-CoA synthetase and couples KAT2A to function as a lactyltransferase for histone lactylation and tumor immune evasion , (2025),
PMID: 39561764

注释

应用

  • WB免疫印迹
  • IHC免疫组化
  • IF免疫荧光
  • ICC免疫细胞化学
  • FC流式细胞
  • IP免疫沉淀
  • E酶联免疫吸附法
  • DB免疫斑点法
  • ChIP染色质免疫沉淀
  • GICA胶体金免疫层析法
  • NC阴性对照

种属反应性

  • Hu
  • Ms小鼠
  • Rt大鼠
  • Dm果蝇
  • C线虫
  • Mk
  • Rb
  • B
  • D
  • P
  • Hm仓鼠
  • ChHm中国仓鼠
  • Chk
;

联系我们

Location :

南京市高新开发区星火路10号人才大厦C座

Phone :

400-9961-933
025-58868422

Email Address

info@sabbiotech.com