免费电话:400-9961-933
邮箱:info@sabbiotech.com
欢迎光临本站
川博智能体 English
位置: 首页 > 磷酸化抗体 > 20S Proteasome α3 (Phospho-Ser250) Antibody

20S Proteasome α3 (Phospho-Ser250) Antibody#14120

是否有货: Yes
产品详情

产品名称20S Proteasome α3 (Phospho-Ser250) Antibody

来源种属Rabbit

克隆性Polyclonal

纯化The antibody was affinity-purified from rabbit antiserum by affinity-chromatography using epitope-specific immunogen.

应用WB;IHC;IF;ELISA

种属反应性Human;Mouse;Rat

特异性Phospho-20S Proteasome α3 (S250) Polyclonal Antibody detects endogenous levels of 20S Proteasome α3 protein only when phosphorylated at S250.

免疫原描述The antiserum was produced against synthesized peptide derived from human Proteasome alpha3 around the phosphorylation site of Ser250. AA range:206-255

标记Unconjugated

别名PSMA3; HC8; PSC8; Proteasome subunit alpha type-3; Macropain subunit C8; Multicatalytic endopeptidase complex subunit C8; Proteasome component C8

数据库入口号Swiss Prot:P25788
GeneID:5684

Uniprot P25788

计算分子量32 kDa

实际分子量32 kDa

浓度1 mg/ml

配方Liquid in PBS containing 50% glycerol, 0.5% BSA and 0.02% sodium azide.

保存-20˚C/1

应用详情
WB 1:500-1:2000; IHC 1:100-1:300; ELISA 1:10000; IF 1:50-200
All lanes : 20S Proteasome α3 (Phospho-Ser250) Antibody at 1/500 dilution
Lane 1 : 3T3 whole cell lysates
Lane 2 : 3T3 treated with 200ng/ml EGF for 30 minutes whole cell lysates
Lysates/proteins at 20 µg per lane.
Secondary
All lanes : Goat Anti-Rabbit IgG H&L (HRP) at 1/20000 dilution
Predicted band size: 32 kDa
Observed band size: 32 kDa
Exposure time: 4 seconds
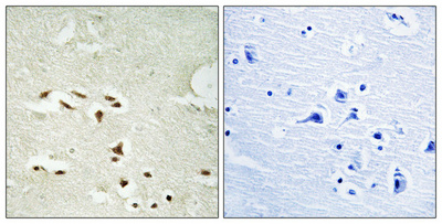
Immunohistochemical analysis of paraffin-embedded human brain tissue using 20S Proteasome α3 (Phospho-Ser250) Antibody #14120. The picture on the right is treated with the synthesized peptide.
proteasome subunit alpha 3(PSMA3) Homo sapiens The proteasome is a multicatalytic proteinase complex with a highly ordered ring-shaped 20S core structure. The core structure is composed of 4 rings of 28 non-identical subunits; 2 rings are composed of 7 alpha subunits and 2 rings are composed of 7 beta subunits. Proteasomes are distributed throughout eukaryotic cells at a high concentration and cleave peptides in an ATP/ubiquitin-dependent process in a non-lysosomal pathway. An essential function of a modified proteasome, the immunoproteasome, is the processing of class I MHC peptides. This gene encodes a member of the peptidase T1A family, that is a 20S core alpha subunit. Two alternative transcripts encoding different isoforms have been identified. [provided by RefSeq, Jul 2008],

如果您使用该产品14120发表了文章,请通知我们,让我们可以引用您的文献。

et al,Sensory neuron TRPV1-mediated macrophage polarization and immune response regulate dental implant osseointegration , (2025),
PMID: 41297248

注释

应用

  • WB免疫印迹
  • IHC免疫组化
  • IF免疫荧光
  • ICC免疫细胞化学
  • FC流式细胞
  • IP免疫沉淀
  • E酶联免疫吸附法
  • DB免疫斑点法
  • ChIP染色质免疫沉淀
  • GICA胶体金免疫层析法
  • NC阴性对照

种属反应性

  • Hu
  • Ms小鼠
  • Rt大鼠
  • Dm果蝇
  • C线虫
  • Mk
  • Rb
  • B
  • D
  • P
  • Hm仓鼠
  • ChHm中国仓鼠
  • Chk
;

联系我们

Location :

南京市高新开发区星火路10号人才大厦C座

Phone :

400-9961-933
025-58868422

Email Address

info@sabbiotech.com