免费电话:400-9961-933
邮箱:info@sabbiotech.com
欢迎光临本站
川博智能体 English
位置: 首页 > 磷酸化抗体 > AMPK alpha 1/2 (Phospho-Thr183/Thr172) Rabbit mAb

AMPK alpha 1/2 (Phospho-Thr183/Thr172) Rabbit mAb#14179

是否有货: Yes
产品详情

产品名称AMPK alpha 1/2 (Phospho-Thr183/Thr172) Rabbit mAb

来源种属Recombinant Rabbit

克隆性Monoclonal

亚型Rabbit IgG

纯化Affinity-chromatography

应用WB,IHC

种属反应性Human;Mouse;Rat

特异性Phospho-AMPK alpha (T172) Antibody detects endogenous levels of Phospho-AMPK alpha (T172)

免疫原描述A synthesized peptide derived from human AMPK alpha

标记Unconjugated

别名ACACA kinase; Acetyl-CoA carboxylase kinase; AMPK alpha 2 chain; AMPK subunit alpha-2; AMPK2; AMPKalpha2; HMGCR kinase; PRKAA; PRKAA2;

数据库入口号Uniprot:Q13131/P54646

Uniprot Q13131/P54646

计算分子量64,62 kDa

实际分子量62 kDa

配方Rabbit IgG in phosphate buffered saline , pH 7.4, 150mM NaCl, 0.02% sodium azide and 50% glycerol.

保存Store at +4˚C short term. Store at -20˚C long term. Avoid freeze / thaw cycle.

应用详情
WB: 1:500-1:2000
IHC: 1:50-1:200
All lanes : AMPK alpha 1/2 (Phospho-Thr183/Thr172) Rabbit mAb at 1/1k dilution
Lane 1 :Mouse spleen lysate
Lane 2 : 293 cell lysate
Lane 3 : A735 cell lysate
Lane 4 : Mouse heart lysate
lysate/proteins at 20 µg per lane.
Secondary
All lanes : Goat Anti-Rabbit IgG H&L (HRP) at 1/20000 dilution
Predicted band size: 64,62 kDa
Observed band size: 62 kDa
Exposure time: 14 seconds
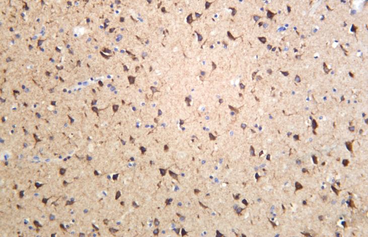
Formalin-fixed;paraffin-embedded human brain tissue stained for AMPK alpha (Phospho-Thr172) using 14179 at 1/100 dilution in immunohistochemical analysis.

如果您使用该产品14179发表了文章,请通知我们,让我们可以引用您的文献。

et al,Inhibiting cancer metastasis with water-solubilized membrane receptor CXCR4QTY-Fc as a molecular trap , (2025),
PMID: 40845831

注释

应用

  • WB免疫印迹
  • IHC免疫组化
  • IF免疫荧光
  • ICC免疫细胞化学
  • FC流式细胞
  • IP免疫沉淀
  • E酶联免疫吸附法
  • DB免疫斑点法
  • ChIP染色质免疫沉淀
  • GICA胶体金免疫层析法
  • NC阴性对照

种属反应性

  • Hu
  • Ms小鼠
  • Rt大鼠
  • Dm果蝇
  • C线虫
  • Mk
  • Rb
  • B
  • D
  • P
  • Hm仓鼠
  • ChHm中国仓鼠
  • Chk
;

联系我们

Location :

南京市高新开发区星火路10号人才大厦C座

Phone :

400-9961-933
025-58868422

Email Address

info@sabbiotech.com