免费电话:400-9961-933
邮箱:info@sabbiotech.com
欢迎光临本站
川博智能体 English
位置: 首页 > 多克隆抗体 > GSK3 alpha Polyclonal Antibody

GSK3 alpha Polyclonal Antibody#21007

是否有货: 有货
产品详情

产品名称GSK3 alpha Polyclonal Antibody

来源种属Rabbit

克隆性Polyclonal

纯化Antibodies were produced by immunizing rabbits with synthetic peptide and KLH conjugates. Antibodies were purified by affinity-chromatography using epitope-specific peptide.

应用WB IHC IF

种属反应性Human;Mouse;Rat

特异性The antibody detects endogenous level of total GSK3a protein. and does not detect GSK-3b protein.

免疫原类型Peptide-KLH

免疫原描述Peptide sequence around aa.19~23 (T-S-S-F-A) derived from Human GSK3a.

基因/蛋白名称GSK3a

标记Unconjugated

别名Factor A, GSK-3 alpha, kinase GSK3-alpha,

数据库入口号Swiss-Prot: P49840
NCBI Protein: NP_063937.2

Uniprot P49840

计算分子量51kDa

实际分子量51kDa

浓度1.0mg/ml

配方Supplied at 1.0mg/mL in phosphate buffered saline (without Mg2+ and Ca2+), pH 7.4, 150mM NaCl, 0.02% sodium azide and 50% glycerol.

保存Store at -20°C for long term preservation (recommended). Store at 4°C for short term use.

应用详情
WB 1:500-2000; IHC 1:50-300; IF 1:50-300;
Western Blot analysis of extracts from various cell lines using GSK3 alpha Antibody.
Western Blot analysis of extracts from 293 cells using GSK3 alpha Antibody.
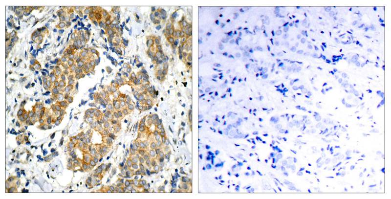
Immunohistochemical analysis of paraffin-embedded human breast carcinoma tissue using GSK3 alpha Antibody(left) or the same antibody preincubated with blocking peptide(right).
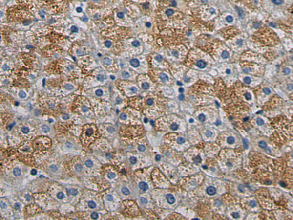
Immunohistochemical analysis of paraffin-embedded Human liver cancer tissue using GSK3 alpha Antibody.
Immunofluorescence staining of methanol-fixed MCF7 cells using GSK3 alpha Antibody(red).The nuclear counter stain is DAPI (blue).
Immunofluorescence staining of methanol-fixed Hela cells using GSK3 alpha Antibody.
Immunofluorescence analysis of NIH/3T3 cells using GSK3 alpha Antibody(red). Blue: DAPI for nuclear staining.
Implicated in the hormonal control of several regulatory proteins including glycogen synthase, MYB and the transcription factor JUN

Barry FA, et al. (2003) FEBS Lett. 553(1-2): 173-178.
Koivisto L, et al. (2003) J Cell Sci. 116(Pt 18): 3749-3760.
Welsh G I, et al. (1996) Trends Cell Biol. 6:274-279.
Srivastava A K, et al. (1998) Mol. Cell. Biochem. 182: 135-141.
Cross D A, et al. (1995) Nature. 378: 785-789.

如果您使用该产品21007发表了文章,请通知我们,让我们可以引用您的文献。

et al,Cleavage of GSK-3尾 by Calpain Counteracts the Inhibitory Effect of Ser9 Phosphorylation on GSK-3尾 Activity Induced by H鈧侽锟?In J Neurochem on 2013 Jul by Ye Feng, Yiyuan Xia,et al..PMID:23646926 , (2013),
PMID: 23646926

注释

应用

  • WB免疫印迹
  • IHC免疫组化
  • IF免疫荧光
  • ICC免疫细胞化学
  • FC流式细胞
  • IP免疫沉淀
  • E酶联免疫吸附法
  • DB免疫斑点法
  • ChIP染色质免疫沉淀
  • GICA胶体金免疫层析法
  • NC阴性对照

种属反应性

  • Hu
  • Ms小鼠
  • Rt大鼠
  • Dm果蝇
  • C线虫
  • Mk
  • Rb
  • B
  • D
  • P
  • Hm仓鼠
  • ChHm中国仓鼠
  • Chk
;

联系我们

Location :

南京市高新开发区星火路10号人才大厦C座

Phone :

400-9961-933
025-58868422

Email Address

info@sabbiotech.com