免费电话:400-9961-933
邮箱:info@sabbiotech.com
欢迎光临本站
川博智能体 English
位置: 首页 > 多克隆抗体 > NFkB-p105/p50 Antibody

NFkB-p105/p50 Antibody#21017

是否有货: 有货
产品详情

产品名称NFkB-p105/p50 Antibody

来源种属Rabbit

克隆性Polyclonal

纯化Antibodies were produced by immunizing rabbits with synthetic peptide and KLH conjugates. Antibodies were purified by affinity-chromatography using epitope-specific peptide.

应用WB;IHC;IF

种属反应性Human;Mouse;Rat

特异性The antibody detects endogenous level of total NFkB-p105/p50 protein.

免疫原类型Peptide-KLH

免疫原描述Peptide sequence around aa.335~339 (R-K-S-D-L) derived from Human NFkB-p105.

基因/蛋白名称NFkB-p105/p50

标记Unconjugated

别名DNA-binding factor KBF1; EBP-1; NF-kappa-B1 p84/NF-kappa-B1 p98; NFKB1; NFkB-p50

数据库入口号Swiss-Prot: P19838
NCBI Protein: NP_001158884.1

Uniprot P19838

计算分子量50 kDa

实际分子量50,100 kDa

浓度1.0mg/ml

配方Supplied at 1.0mg/mL in phosphate buffered saline (without Mg2+ and Ca2+), pH 7.4, 150mM NaCl, 0.02% sodium azide and 50% glycerol.

保存Store at -20°C for long term preservation (recommended). Store at 4°C for short term use.

应用详情
WB 1:500-1:2000; IHC 1:100-1:300; IF 1:50-1:500;
Western blot analysis of extracts from Hela cells using NFkB-p105/p50 Antibody.
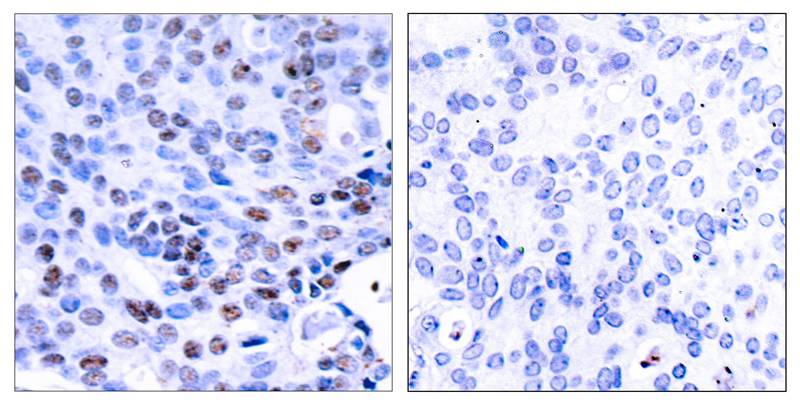
Immunohistochemical analysis of paraffin-embedded human breast carcinoma tissue using NFkB-p105/p50(Ab-337) Antibody (left) or the same antibody preincubated with blocking peptide(right).
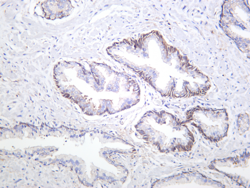
Immunohistochemical analysis of Human prostate carcinoma was stained with anti-NF-κB1 p105/p50 rabbit antibody.
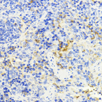
Immunohistochemistry of paraffin-embedded mouse spleen using NFKB1 antibody.
Immunofluorescence analysis of Hela cell. 1,NFκB-p105/p50 Antibody(red) was diluted at 1:200(4° overnight).
Immunofluorescence analysis of NIH-3T3 cells using NFKB1 Rabbit pAb.
Immunofluorescence analysis of U2OS cells using NFKB1 Rabbit pAb at dilution of 1:50 (40x lens).
NF-kappa-B is a pleiotropic transcription factor which is present in almost all cell types and is involved in many biological processed such as inflammation, immunity, differentiation, cell growth, tumorigenesis and apoptosis. NF-kappa-B is a homo- or heterodimeric complex formed by the Rel-like domain-containing proteins RELA/p65, RELB, NFKB1/p105, NFKB1/p50, REL and NFKB2/p52. The dimers bind at kappa-B sites in the DNA of their target genes and the individual dimers have distinct preferences for different kappa-B sites that they can bind with distinguishable affinity and specificity. Different dimer combinations act as transcriptional activators or repressors, respectively.

Hou S, et al. (2003) J Biol Chem. 278(46): 45994-45998.
Baeuerle P A, et al. (1994) Annu Rev Immunol. 12:141-179.
Baeuerle P A, et al. (1996) Cell 87:13-20.
Haskill S, et al. (1991) Cell 65:1281-1289.

如果您使用该产品21017发表了文章,请通知我们,让我们可以引用您的文献。

et al,The antisense lncRNA of TAB2 that prevents oxidative stress to enhance the follicular growth in mammals. In Commun Biol on 2024 Oct 2 by Nian Li, Bing Yun,et al..PMID:39358475 , (2024),
PMID: 39358475

注释

应用

  • WB免疫印迹
  • IHC免疫组化
  • IF免疫荧光
  • ICC免疫细胞化学
  • FC流式细胞
  • IP免疫沉淀
  • E酶联免疫吸附法
  • DB免疫斑点法
  • ChIP染色质免疫沉淀
  • GICA胶体金免疫层析法
  • NC阴性对照

种属反应性

  • Hu
  • Ms小鼠
  • Rt大鼠
  • Dm果蝇
  • C线虫
  • Mk
  • Rb
  • B
  • D
  • P
  • Hm仓鼠
  • ChHm中国仓鼠
  • Chk
;

联系我们

Location :

南京市高新开发区星火路10号人才大厦C座

Phone :

400-9961-933
025-58868422

Email Address

info@sabbiotech.com