免费电话:400-9961-933
邮箱:info@sabbiotech.com
欢迎光临本站
川博智能体 English
位置: 首页 > 多克隆抗体 > STAT1 Polyclonal Antibody

STAT1 Polyclonal Antibody#21044

是否有货: 有货
产品详情

产品名称STAT1 Polyclonal Antibody

来源种属Rabbit

克隆性Polyclonal

纯化Antibodies were produced by immunizing rabbits with synthetic peptide and KLH conjugates. Antibodies were purified by affinity-chromatography using epitope-specific peptide.

应用WB IHC

种属反应性Human;Mouse;Rat

特异性The antibody detects endogenous level of total STAT1 protein.

免疫原类型Peptide-KLH

免疫原描述Peptide sequence around aa. 699~703 (T-G-Y-I-K) derived from Human STAT1.

基因/蛋白名称STAT1

标记Unconjugated

别名CANDF7, ISGF-3, STAT91

数据库入口号Swiss-Prot: P42224
NCBI Protein: NP _009330.1

Uniprot P42224

计算分子量84kDa

实际分子量84,91kDa

浓度1.0mg/ml

配方Supplied at 1.0mg/mL in phosphate buffered saline (without Mg2+ and Ca2+), pH 7.4, 150mM NaCl, 0.02% sodium azide and 50% glycerol.

保存Store at -20°C for long term preservation (recommended). Store at 4°C for short term use.

应用详情
WB 1:1000-2000; IHC 1:50-300;
Western blot analysis of extracts from Hela, A431 and JK cells using STAT1 Polyclonal Antibody.
Western blot analysis of extracts from Rat heart and Mouse heart using STAT1 Polyclonal Antibody.
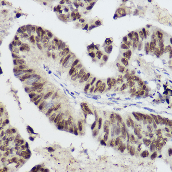
Immunohistochemistry of paraffin-embedded Human lung cancer using STAT1 Polyclonal Antibody.
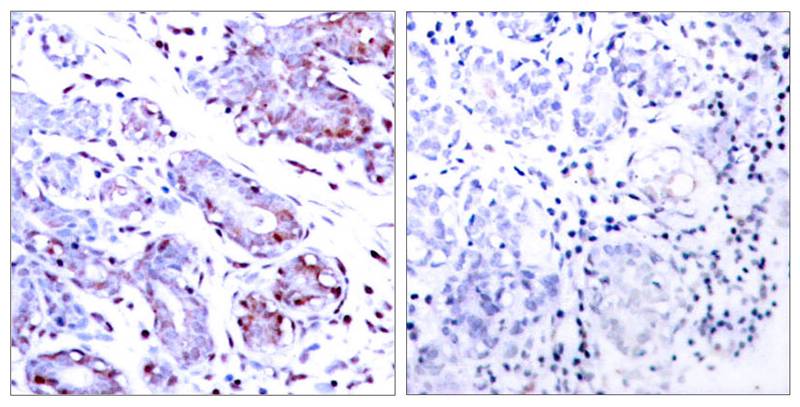
Immunohistochemical analysis of paraffin-embedded Human breast carcinoma tissue using STAT1 Polyclonal Antibody(left) or the same antibody preincubated with blocking peptide(right).
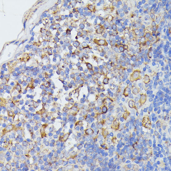
Immunohistochemistry of paraffin-embedded Rat lymph node using STAT1 Polyclonal Antibody.
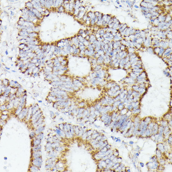
Immunohistochemistry of paraffin-embedded Human colon carcinoma using STAT1 Polyclonal Antibody.

Signal transducer and activator of transcription that mediates signaling by interferons (IFNs). Following type I IFN (IFN-a and IFN-beta) binding to cell surface receptors, Jak kinases (TYK2 and JAK1) are activated, leading to tyrosine phosphorylation of STAT1 and STAT2. The phosphorylated STATs dimerize, associate with ISGF3G/IRF-9 to form a complex termed ISGF3 transcription factor, that enters the nucleus. ISGF3 binds to the IFN stimulated response element (ISRE) to activate the transcription of interferon stimulated genes, which drive the cell in an antiviral state. In response to type II IFN (IFN-gamma), STAT1 is tyrosine- and serine-phosphorylated. It then forms a homodimer termed IFN-gamma-activated factor (GAF), migrates into the nucleus and binds to the IFN gamma activated sequence (GAS) to drive the expression of the target genes, inducing a cellular antiviral state.

Heim M H, (1999) J Recept Signal Transduct Res. 19: 75-120.
Durbin J E, et al. (1996) Cell. 84: 443-450.
Meraz M A, et al. (1996) Cell. 84: 431-442.
Wakao H, et al. (1994) EMBO J. 13: 2182-2191.
Demoulin J, B. et al. (1999) J Biol Chem. 274: 25855-258
Ihle J N, et al. (1994) Trends Biochem Sci. 19: 222-227.

如果您使用该产品21044发表了文章,请通知我们,让我们可以引用您的文献。

et al,A guanidine-rich regulatory oligodeoxy-nucleotideimproves type-2 diabetes in obese mice by blocking T-cell differentiation. , (2012),
PMID: 23027613
et al,Danzhi Jiangtang Capsule ameliorates kidney injury via inhibition of the JAK-STAT signaling pathway and increased antioxidant capacity in STZ-induced diabetic nephropathy rats.In Biosci Trends.On 2019 Jan 22 by Sun M, Bu W et al..PMID: 30606979 , (2018),
PMID: 30606979
et al,A thiazole-derived oridonIn analogue exhibits antitumor activity by directly and allosterically InhibitIng STAT3. In J Biol Chem on 2019 Nov 15;by Shen X, Zhao L,et al..PMID:31594861 , (2019),
PMID: 31594861
et al,DJC suppresses Advanced Glycation End Products-Induced JAK-STAT signaling and ROS in mesangial cells.In Evid Based Complement Alternat Med on 2017 May 29 by Min Sun, Yan Li ,et al..PMID: 28630633 , (2017),
PMID: 28630633
et al,Expression of interferon effector gene SART1 correlates with interferon treatment response against hepatitis B infection. In Mediators Inflamm on 2016 by Yong Li, Chuanlong Zhu et al..PMID: 28077916 , (2016),
PMID: 28077916
et al,ycobacterium tuberculosis EspB protein suppresses interferon-纬-induced autophagy in murine macrophages.In J Microbiol Immunol Infect on 2016 Dec by DanDan Huang, Lang Bao et al..PMID:25641595 , (2016),
PMID: 25641595
et al,IL-17 intensifies IFN-纬-induced NOS2 upregulation in RAW 264.7 cells by further activating STAT1 and NF-魏B.In Int J Mol Med on 2016 byQiyue Gao, Yang Liu et al..PMID:26677135 , (2016),
PMID: 26677135
查看更多
et al,Costunolide improved dextran sulfate sodium-induced acute ulcerative colitis in mice through NF-kB, STAT1/3, and Akt signaling pathways. In Int Immunopharmacol on 2020 Jul by Fan Xie, Hai Zhang, et al..PMID:32413737 , (2020),
PMID: 32413737
et al,Effect of silencing CD147 on glycolysis in prostate cancer LNCaP cells , (2023),
PMID:

注释

应用

  • WB免疫印迹
  • IHC免疫组化
  • IF免疫荧光
  • ICC免疫细胞化学
  • FC流式细胞
  • IP免疫沉淀
  • E酶联免疫吸附法
  • DB免疫斑点法
  • ChIP染色质免疫沉淀
  • GICA胶体金免疫层析法
  • NC阴性对照

种属反应性

  • Hu
  • Ms小鼠
  • Rt大鼠
  • Dm果蝇
  • C线虫
  • Mk
  • Rb
  • B
  • D
  • P
  • Hm仓鼠
  • ChHm中国仓鼠
  • Chk
;

联系我们

Location :

南京市高新开发区星火路10号人才大厦C座

Phone :

400-9961-933
025-58868422

Email Address

info@sabbiotech.com