免费电话:400-9961-933
邮箱:info@sabbiotech.com
欢迎光临本站
川博智能体 English
位置: 首页 > 多克隆抗体 > CREB Antibody

CREB Antibody#21052

是否有货: 有货
产品详情

产品名称CREB Antibody

来源种属Rabbit

克隆性Polyclonal

纯化Antibodies were produced by immunizing rabbits with synthetic peptide and KLH conjugates. Antibodies were purified by affinity-chromatography using epitope-specific peptide.

应用WB;IHC

种属反应性Human;Mouse

特异性The antibody detects endogenous level of total CREB protein and it also detects the CREB-related protein ATF-1.

免疫原类型Peptide-KLH

免疫原描述Peptide sequence around aa. 131~135 (R-P-S-Y-R) derived from Human CREB.

基因/蛋白名称CREB

标记Unconjugated

别名CREB-1; CREB1;

数据库入口号Swiss-Prot: P16220
NCBI Protein: NP _004370.1

Uniprot P16220

计算分子量35kDa

实际分子量43kDa

浓度1.0mg/ml

配方Supplied at 1.0mg/mL in phosphate buffered saline (without Mg2+ and Ca2+), pH 7.4, 150mM NaCl, 0.02% sodium azide and 50% glycerol.

保存Store at -20°C for long term preservation (recommended). Store at 4°C for short term use.

应用详情
Predicted MW: 43kd
Western blotting: 1:500~1:1000
Immunohistochemistry: 1:50~1:100
Western blot analysis of extracts from 293, HT29, Hela and 3T3 cells using CREB Antibody.
Western Blot analysis of extracts from KB cells using CREB Antibody.
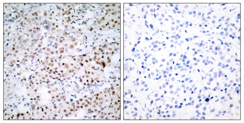
Immunohistochemical analysis of paraffin-embedded human breast carcinoma tissue using CREB Antibody (left) or the same antibody preincubated with blocking peptide(right).
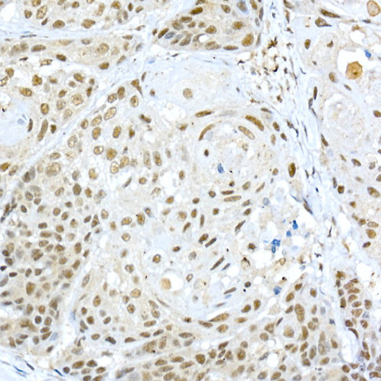
Immunohistochemistry analysis of paraffin-embedded Human esophageal cancer using CREB Antibody at dilution of 1:50 (40x lens).
Immunohistochemistry analysis of paraffin-embedded Mouse brain using CREB Antibody at dilution of 1:50 (40x lens).
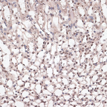
Immunohistochemistry of paraffin-embedded mouse kidney using CREB1 antibody.
This protein binds the cAMP response element (CRE), a sequence present in many viral and cellular promoters. CREB stimulates transcription on binding to the CRE. Transcription activation is enhanced by the TORC coactivators which act independently of Ser-133 phosphorylation. Implicated in synchronization of circadian rhythmicity.

Xing J, et al. (1998) Mol Cell Biol 18(4): 1946-55.
Tan Y, et al.( 1996) EMBO J; 15(17): 4629-42.
Hao, M. et al. (1996) J. Biol. Chem. 271, 29380-29385.
Mayo LD, et al. (2001) Biol Chem; 276(27): 25184-9.
Lu, H. et al. (1997) Mol. Cell. Biol. 17, 5923-5934.

如果您使用该产品21052发表了文章,请通知我们,让我们可以引用您的文献。

et al,Aluminum toxicity related to SOD and expression of presenilin and CREB in Bombyx mori.In Arch Insect Biochem Physiol.On 2018 Oct by Liu L, Qian X et al..PMID:29978503 , (2018),
PMID: 29978503
et al,Inhibition of TPL2 by interferon-α suppresses bladder cancer through activation of PDE4D.In J Exp Clin Cancer Res. On 2018 Nov 27 by Qiang Z, Zhou ZY et al..PMID: 30482227 , (2018),
PMID: 30482227
et al,Lithium chloride administration prevents spatial learning and memory impairment in repeated cerebral ischemia-reperfusion mice by depressing apoptosis and increasing BDNF expression in hippocampus.In Behav Brain Res.On 2015 Sep 15 by Fan M, Jin W et al..PMID:26031381 , (2015),
PMID: 26031381
et al,Downregulation of microsomal glutathione-S-transferase 1 modulates protective mechanisms in differentiated PC12 cells.In J Physiol Biochem on 2014 Jun by Monika Sobczak , Tomasz Boczek et al ..PMID: 24419913 , (2014),
PMID: 24419913
et al,Hydrogen sulfide decreases 尾-adrenergic agonist-stimulated lung liquid clearance by inhibiting ENaC-mediated transepithelial sodium absorption. In Am J Physiol Regul Integr Comp Physiol on 2015 Apr 1 by Alisa M Agn茅, Jan-Peter Baldin, et al..PMID: 25632025 , (2015),
PMID: 25632025
et al,Connexin Hemichannels Contribute to the Activation of cAMP Signaling Pathway and Renin Production. In Int J Mol Sci on 2020 Jun 23 by Jingru Hong, Jian Yao,et al..PMID:32585970 , (2020),
PMID: 32585970
et al,Hydrogen sulfide decreases β-adrenergic agonist-stimulated lung liquid clearance by inhibiting ENaC-mediated transepithelial sodium absorption , (2015),
PMID:

注释

应用

  • WB免疫印迹
  • IHC免疫组化
  • IF免疫荧光
  • ICC免疫细胞化学
  • FC流式细胞
  • IP免疫沉淀
  • E酶联免疫吸附法
  • DB免疫斑点法
  • ChIP染色质免疫沉淀
  • GICA胶体金免疫层析法
  • NC阴性对照

种属反应性

  • Hu
  • Ms小鼠
  • Rt大鼠
  • Dm果蝇
  • C线虫
  • Mk
  • Rb
  • B
  • D
  • P
  • Hm仓鼠
  • ChHm中国仓鼠
  • Chk
;

联系我们

Location :

南京市高新开发区星火路10号人才大厦C座

Phone :

400-9961-933
025-58868422

Email Address

info@sabbiotech.com