免费电话:400-9961-933
邮箱:info@sabbiotech.com
欢迎光临本站
川博智能体 English
位置: 首页 > 多克隆抗体 > PTEN Antibody

PTEN Antibody#21056

是否有货: 有货
产品详情

产品名称PTEN Antibody

来源种属Rabbit

克隆性Polyclonal

纯化Antibodies were produced by immunizing rabbits with synthetic peptide and KLH conjugates. Antibodies were purified by affinity-chromatography using epitope-specific peptide.

应用WB;IHC

种属反应性Human;Mouse;Rat

特异性The antibody detects endogenous level of total PTEN protein.

免疫原类型Peptide-KLH

免疫原描述Peptide sequence around aa.378~382/380~384/381~385 (R-Y-S-D-T-T-D-S) derived from Human PTEN.

基因/蛋白名称PTEN

标记Unconjugated

别名MMAC1; Mutated in multiple advanced cancers 1; Protein-tyrosine phosphatase PTEN; TEP1;

数据库入口号Swiss-Prot: P60484
NCBI Protein: NP_000305.3

Uniprot P60484

计算分子量47kDa

实际分子量54kDa

浓度1.0mg/ml

配方Supplied at 1.0mg/mL in phosphate buffered saline (without Mg2+ and Ca2+), pH 7.4, 150mM NaCl, 0.02% sodium azide and 50% glycerol.

保存Store at -20°C for long term preservation (recommended). Store at 4°C for short term use.

应用详情
WB 1:500-1:2000; IHC 1:50-1:200;
Western blot analysis of extracts from various cell lines using PTEN Antibody.
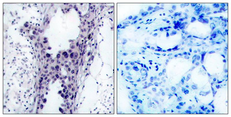
Immunohistochemical analysis of paraffin-embedded human breast carcinoma tissue using PTEN Antibody(left) or the same antibody preincubated with blocking peptide(right).
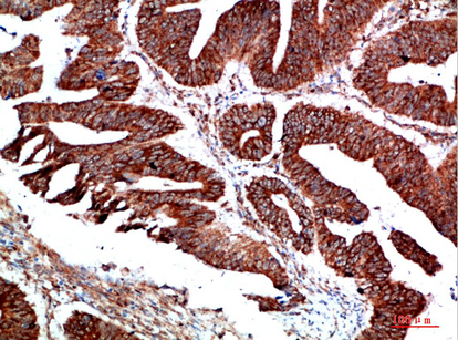
Immunohistochemical analysis of paraffin-embedded human colon cancer using PTEN Antibody.
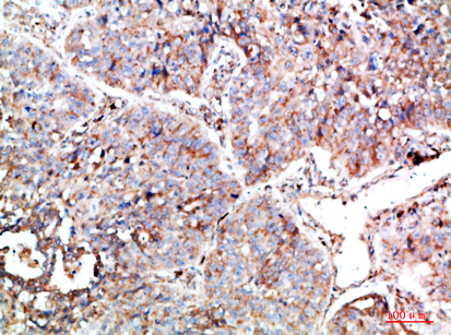
Immunohistochemical analysis of paraffin-embedded human lung cancer using PTEN Antibody.
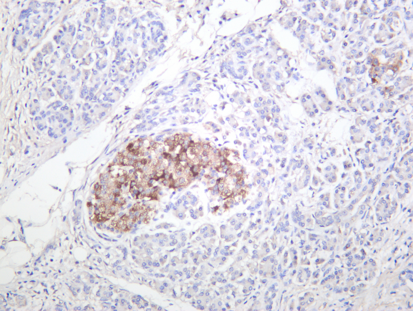
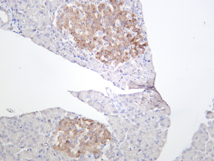
Immunohistochemical analysis of paraffin-embedded Human panreas using PTEN Antibody.
Immunohistochemical analysis of paraffin-embedded Rat panreas using PTEN Antibody.
Tumor suppressor. Acts as a dual-specificity protein phosphatase, dephosphorylating tyrosine-, serine- and threonine-phosphorylated proteins. Also acts as a lipid phosphatase, removing the phosphate in the D3 position of the inositol ring from phosphatidylinositol 3,4,5-trisphosphate, phosphatidylinositol 3,4-diphosphate, phosphatidylinositol 3-phosphate and inositol 1,3,4,5-tetrakisphosphate with order of substrate preference in vitro PtdIns(3,4,5)P3 > PtdIns(3,4)P2 > PtdIns3P > Ins(1,3,4,5)P4. The lipid phosphatase activity is critical for its tumor suppressor function. Antagonizes the PI3K-AKT/PKB signaling pathway by dephosphorylating phosphoinositides and thereby modulating cell cycle progression and cell survival. The unphosphorylated form cooperates with AIP1 to suppress AKT1 activation. Dephosphorylates tyrosine-phosphorylated focal adhesion kinase and inhibits cell migration and integrin-mediated cell spreading and focal adhesion formation. May be a negative regulator of insulin signaling and glucose metabolism in adipose tissue.

Al-Khouri AM, et al. (2005) J Biol Chem. 280(42):35195-35202.
Torres J, et al. (2001) J Biol Chem. 276(2): 993-998.
Vazquez F, et al. (2000) Mol Cell Biol. 20(14): 5010-5018.

如果您使用该产品21056发表了文章,请通知我们,让我们可以引用您的文献。

et al,PTEN expression in U251 glioma cells enhances their sensitivity to ionizing radiation by suppressing DNA repair capacity. In Eur Rev Med Pharmacol Sci on 2019 Dec by Li HL, Wang CY, et al..PMID:31841199 , (2019),
PMID: 31841199
et al,Acetylshikonin stimulates glucose uptake in L6 myotubes via a PLC-β3/PKCδ-dependent pathway. In Biomed Pharmacother on 2019 Apr by Wendong Huang, Jiacheng Zeng, et al..PMID: 30780104 , (2019),
PMID: 30780104
et al,Molecular Mechanisms of Bladder Outlet Obstruction in Transgenic Male Mice Overexpressing Aromatase (Cyp19a1).In Am J Pathol on 2011 Mar by Wei Lin, Nafis A Rahman,et al..PMID:21356374 , (2011),
PMID: 21356374
et al,Effect of adenovirus-mediated PTEN gene on ulcerative colitis-associated colorectal cancer. In Int J Colorectal Dis on 2013 Aug by Zhi Li, Gong Xiang Liu, et al..PMID: 23516074 , (2013),
PMID: 23516074

注释

应用

  • WB免疫印迹
  • IHC免疫组化
  • IF免疫荧光
  • ICC免疫细胞化学
  • FC流式细胞
  • IP免疫沉淀
  • E酶联免疫吸附法
  • DB免疫斑点法
  • ChIP染色质免疫沉淀
  • GICA胶体金免疫层析法
  • NC阴性对照

种属反应性

  • Hu
  • Ms小鼠
  • Rt大鼠
  • Dm果蝇
  • C线虫
  • Mk
  • Rb
  • B
  • D
  • P
  • Hm仓鼠
  • ChHm中国仓鼠
  • Chk
;

联系我们

Location :

南京市高新开发区星火路10号人才大厦C座

Phone :

400-9961-933
025-58868422

Email Address

info@sabbiotech.com