免费电话:400-9961-933
邮箱:info@sabbiotech.com
欢迎光临本站
川博智能体 English
位置: 首页 > 多克隆抗体 > Estrogen Receptor-a Antibody

Estrogen Receptor-a Antibody#21066

是否有货: 有货
产品详情

产品名称Estrogen Receptor-a Antibody

来源种属Rabbit

克隆性Polyclonal

纯化Antibodies were produced by immunizing rabbits with synthetic peptide and KLH conjugates. Antibodies were purified by affinity-chromatography using epitope-specific peptide.

应用WB;IHC;IF

种属反应性Human;Mouse;Rat

特异性The antibody detects endogenous level of total Estrogen Receptor-a protein.

免疫原类型Peptide-KLH

免疫原描述Peptide sequence around aa.104~108 (S-P- S-P-L) derived from Human Estrogen Receptor-a.

基因/蛋白名称Estrogen Receptor-a

标记Unconjugated

别名ER; ESR; ESR1; ESTR; ESTRA

数据库入口号Swiss-Prot: P03372
NCBI Protein: NP_000116.2

Uniprot P03372

计算分子量66kDa

实际分子量66kDa

浓度1.0mg/ml

配方Supplied at 1.0mg/mL in phosphate buffered saline (without Mg2+ and Ca2+), pH 7.4, 150mM NaCl, 0.02% sodium azide and 50% glycerol.

保存Store at -20°C for long term preservation (recommended). Store at 4°C for short term use.

应用详情
WB 1:500-1:2000; IHC 1:50-1:200; IF 1:50-1:200;
Western blot analysis of extracts from MCF7 cells using Estrogen Receptor-a Antibody and the same antibody preincubated with blocking peptide.
Western blot analysis of extracts from Mouse brain tissue, 231 and Hela cells using Estrogen Receptor-a Antibody.
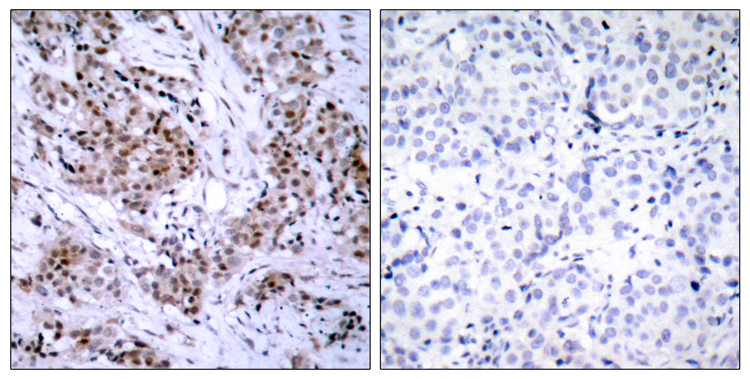
Immunohistochemistry analysis of paraffin-embedded human breast carcinoma tissue using Estrogen Receptor-a Antibody. The picture on the right is blocked with the synthesized peptide.
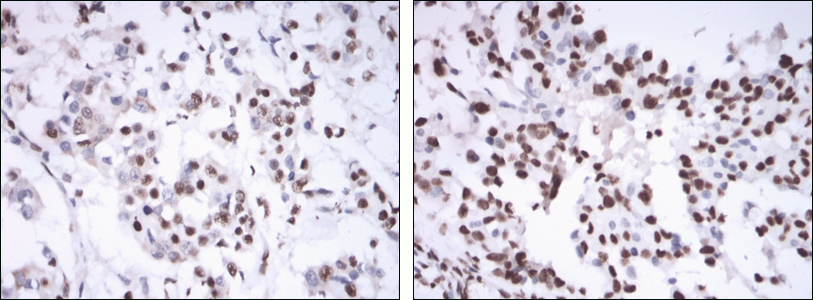
Immunohistochemistry analysis of paraffin-embedded mammary cancer tissues with DAB staining using Estrogen Receptor-a Antibody.
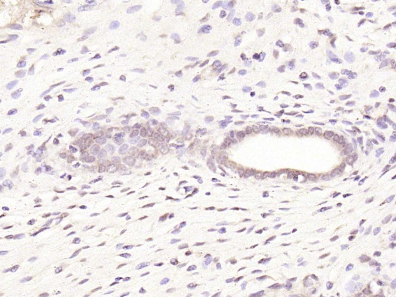
Immunohistochemistry analysis of paraffin-embedded rat uterus tissues using Estrogen Receptor-a Antibody.
Immunohistochemistry analysis of paraffin-embedded Rat ovary tissues using Estrogen Receptor-a Antibody.
Immunofluorescence staining of methanol-fixed MCF cells using Estrogen Receptor-a Antibody.
Immunofluorescence analysis of Hela cells using Estrogen Receptor-a Antibody (green).
Immunofluorescence analysis of C6 cells using Estrogen Receptor-a Antibody at dilution of 1:100. Blue: DAPI for nuclear staining.
Immunofluorescence analysis of NIH/3T3 cells using Estrogen Receptor-a Antibody at dilution of 1:100. Blue: DAPI for nuclear staining.
Immunofluorescence analysis of U-2OS cells using Estrogen Receptor-a Antibody at dilution of 1:100. Blue: DAPI for nuclear staining.
Nuclear hormone receptor. The steroid hormones and their receptors are involved in the regulation of eukaryotic gene expression and affect cellular proliferation and differentiation in target tissues.

Medunjanin S, et al. (2005). J Biol Chem.80 (38):33006-33014.
Dutertre M, et al. (2003). Mol Endocrinol.17 (7): 1296-1314.
Chen D, et al. (2000). Mol Cell.6 (1): 127-137.
Rogatsky I, et al. (1999). J Biol Chem.274 (32): 22296-22302.

如果您使用该产品21066发表了文章,请通知我们,让我们可以引用您的文献。

et al,Analysis of prognostic factors and treatment of anaplastic meningioma in China. In J Clin Neurosci on 2015 Apr by Qing Xie, Yu Zhou, et al..PMID:25744075 , (2015),
PMID: 25744075

注释

应用

  • WB免疫印迹
  • IHC免疫组化
  • IF免疫荧光
  • ICC免疫细胞化学
  • FC流式细胞
  • IP免疫沉淀
  • E酶联免疫吸附法
  • DB免疫斑点法
  • ChIP染色质免疫沉淀
  • GICA胶体金免疫层析法
  • NC阴性对照

种属反应性

  • Hu
  • Ms小鼠
  • Rt大鼠
  • Dm果蝇
  • C线虫
  • Mk
  • Rb
  • B
  • D
  • P
  • Hm仓鼠
  • ChHm中国仓鼠
  • Chk
;

联系我们

Location :

南京市高新开发区星火路10号人才大厦C座

Phone :

400-9961-933
025-58868422

Email Address

info@sabbiotech.com