免费电话:400-9961-933
邮箱:info@sabbiotech.com
欢迎光临本站
川博智能体 English
位置: 首页 > 多克隆抗体 > HER2/ErbB2 Polyclonal Antibody

HER2/ErbB2 Polyclonal Antibody#21072

是否有货: 有货
产品详情

产品名称HER2/ErbB2 Polyclonal Antibody

来源种属Rabbit

克隆性Polyclonal

纯化Antibodies were produced by immunizing rabbits with synthetic peptide and KLH conjugates. Antibodies were purified by affinity-chromatography using epitope-specific peptide.

应用WB IHC IF

种属反应性Human;Mouse;Rat

特异性The antibody detects endogenous level of total HER2 protein.

免疫原类型Peptide-KLH

免疫原描述Peptide sequence around aa. 1246~1250 (P-E-Y-L-G) derived from Human HER2.

基因/蛋白名称HER2

标记Unconjugated

别名C-erbB-2; ErbB2;

数据库入口号Swiss-Prot: P04626
NCBI Protein: NP_001005862.1

Uniprot P04626

计算分子量138kDa

实际分子量185kDa

浓度1.0mg/ml

配方Supplied at 1.0mg/mL in phosphate buffered saline (without Mg2+ and Ca2+), pH 7.4, 150mM NaCl, 0.02% sodium azide and 50% glycerol.

保存Store at -20°C for long term preservation (recommended). Store at 4°C for short term use.

应用详情
WB 1:500-2000; IHC 1:50-200; IF 1:50-200;
Western blot analysis of extracts from MCF and SKOV3 cells using HER2/ErbB2 Polyclonal Antibody.
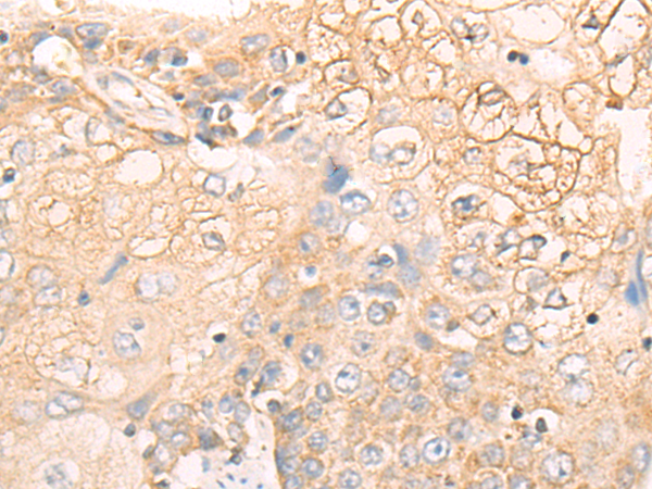
Immunohistochemistry of paraffin-embedded Human breast carcinoma using HER2 Polyclonal Antibody.
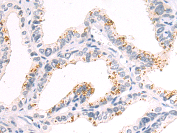
Immunohistochemistry of paraffin-embedded Human esophagus cancer tissue using HER2 Polyclonal Antibody.
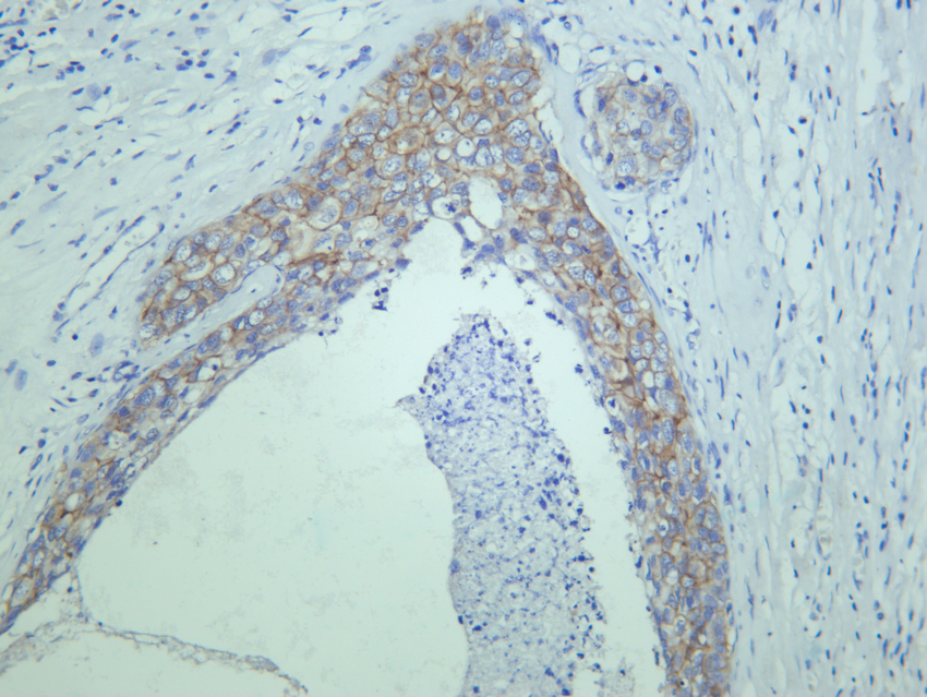
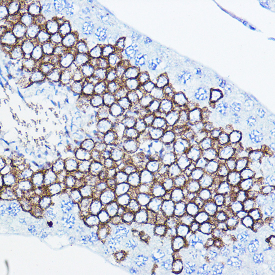
Immunohistochemistry of paraffin-embedded Human prostate cancer tissue using HER2 Polyclonal Antibody.
Immunohistochemistry of paraffin-embedded Rat testis tissue using HER2 Polyclonal Antibody.
Immunofluorescence analysis of MCF7 cells using HER2 Polyclonal Antibody. Blue: DAPI for nuclear staining.
Immunofluorescence analysis of Human breast carcinoma using HER2 Polyclonal Antibody. Blue: DAPI for nuclear staining.
Immunofluorescence analysis of HEK293 cells using HER2 Polyclonal Antibody. Picture A:Target (red). Picture B: DAPI (blue). Picture C: Merge of A+B
Essential component of a neuregulin-receptor complex, although neuregulins do not interact with it alone. GP30 is a potential ligand for this receptor. Not activated by EGF, TGF-a and amphiregulin.

Ramsauer VP, et al. (2003)J Biol Chem; 278(32): 30142-7.
Jepson S, et al. (2002)Oncogene; 21(49): 7524-32.
Ren Z, et al. (2002)J Biol Chem; 277(41): 38486-93.
Eppenberger-Castori S, et al. (2001)J Clin Oncol; 19(3): 645-56.

如果您使用该产品21072发表了文章,请通知我们,让我们可以引用您的文献。

et al,The 鈥淗ER2鈥揚I3K/Akt鈥揊ASN Axis锟?Regulated Malignant Phenotype of Colorectal Cancer Cells. In Lipids on 2012 Apr by Nan Li, Xiaodong Bu, et al..PMID:22218925 , (2012),
PMID: 22218925
et al,Loss of Fatty Acid Synthase Inhibits the "HER2-PI3K/Akt Axis" Activity and Malignant Phenotype of Caco-2 Cells.In Lipids Health Dis on 2013 Jun 1 by Nan Li, Heng Lu,et al..PMID:23725225 , (2013),
PMID: 23725225
et al,Fatty Acid Synthase Regulates Proliferation and Migration of Colorectal Cancer Cells via HER2-PI3K/Akt Signaling Pathway.In Nutr Cancer on 2012 Aug by Nan Li, Xiaodong Bu,et al..PMID:22860766 , (2012),
PMID: 22860766

注释

应用

  • WB免疫印迹
  • IHC免疫组化
  • IF免疫荧光
  • ICC免疫细胞化学
  • FC流式细胞
  • IP免疫沉淀
  • E酶联免疫吸附法
  • DB免疫斑点法
  • ChIP染色质免疫沉淀
  • GICA胶体金免疫层析法
  • NC阴性对照

种属反应性

  • Hu
  • Ms小鼠
  • Rt大鼠
  • Dm果蝇
  • C线虫
  • Mk
  • Rb
  • B
  • D
  • P
  • Hm仓鼠
  • ChHm中国仓鼠
  • Chk
;

联系我们

Location :

南京市高新开发区星火路10号人才大厦C座

Phone :

400-9961-933
025-58868422

Email Address

info@sabbiotech.com