免费电话:400-9961-933
邮箱:info@sabbiotech.com
欢迎光临本站
川博智能体 English
位置: 首页 > 多克隆抗体 > p53 Antibody

p53 Antibody#21083

是否有货: 有货
产品详情

产品名称p53 Antibody

来源种属Rabbit

克隆性Polyclonal

纯化Antibodies were produced by immunizing rabbits with synthetic peptide and KLH conjugates. Antibodies were purified by affinity-chromatography using epitope-specific peptide.

应用WB;IHC;IF;IP;ELISA

种属反应性Human

特异性The antibody detects endogenous level of total p53 protein.

免疫原类型Peptide-KLH

免疫原描述Peptide sequence around aa.4~8 (P-Q-S-D-P) derived from Human p53.

基因/蛋白名称p53

标记Unconjugated

别名Tumor suppressor p53; Phosphoprotein p53; Antigen NY-CO-13; TP53;

数据库入口号Swiss-Prot: P04637
NCBI Protein: NP_000537.3

Uniprot P04637

计算分子量44kDa

实际分子量53kDa

浓度1.0mg/ml

配方Supplied at 1.0mg/mL in phosphate buffered saline (without Mg2+ and Ca2+), pH 7.4, 150mM NaCl, 0.02% sodium azide and 50% glycerol.

保存Store at -20°C for long term preservation (recommended). Store at 4°C for short term use.

应用详情
WB 1:500-1:2000; IHC 1:50-1:200; IF 1:50-1:200; ELISA 1:5000-1:20000; IP 1:10-1:200;
Western blot analysis of extracts from SW480, MCF7 and U-251MG using p53 antibody.
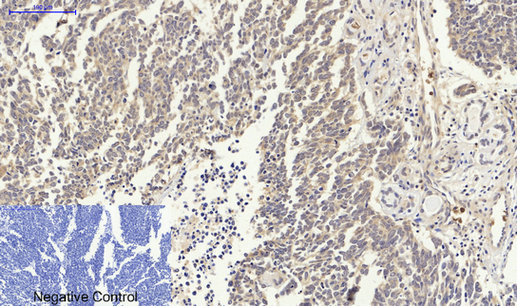
Immunohistochemical analysis of paraffin embedded Human lung cancer tissue using p53 Antibody.
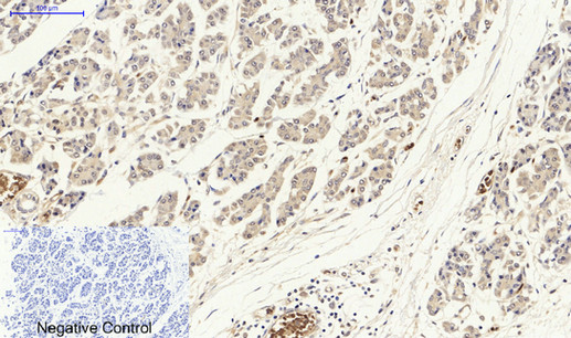
Immunohistochemical analysis of paraffin embedded Human stomach cancer tissue using p53 Antibody.Negative control was used by secondary antibody only.
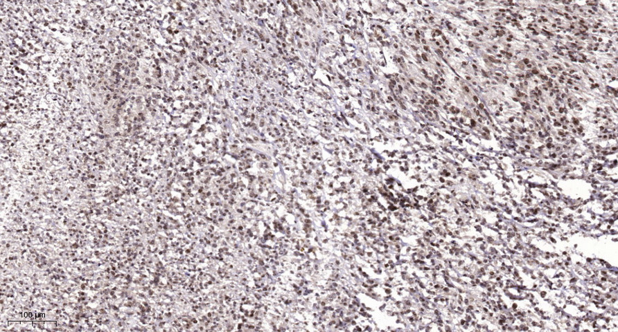
Immunohistochemical analysis of paraffin embedded human gastric cancer using p53 Antibody.
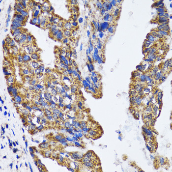
Immunohistochemical analysis of paraffin-embedded human Colon cancer using p53 Antibody.
Immunofluorescence analysis of Hela cells using p53 Antibody.The picture on the right is blocked with the synthesized peptide.
Immunofluorescence analysis of MCF-7 cells using p53 Antibody.
Immunofluorescence analysis of A431 cells using p53 Antibody.

p53 is a nuclear protein which plays an essential role in the regulation of cell cycle specifically in the transition from G0 to G1. It is found in very low levels in normal cells however in a variety of transformed cell lines in high amounts and believed to contribute to transformation and malignancy. The open reading frame of p53 is 393 amino acids long, with the central region (consisting of amino acids from about 100 to 300) containing the DNA-binding domain. This proteolysis-resistant core is flanked by a C-terminal end mediating oligomerization and an N-terminal end containing a strong transcription activation signal. p53 binds as a tetramer to a PBS (p53-Binding Site) and activates the expression of downstream genes that inhibit growth and/or invasion. p53 binds as a tetramer to a p53-binding site (PBS) and to activate the expression of adjacent genes that inhibit growth and/or invasion. Deletion of one or both p53 alleles reduces the expression of tetramers, resulting in decreased expression of the growth inhibitory genes

Lin T, et al. (2005) Nat Cell Biol; 7(2): 165-71.
Vega FM, et al. (2004) Mol Cell Biol; 24(23): 10366-80.
Li J, et al. (2004) J Biol Chem; 279(40): 41275-9.
Wang J, et al. (2004) J Biol Chem; 279(38): 39584-92.

如果您使用该产品21083发表了文章,请通知我们,让我们可以引用您的文献。

et al,AKT鈥恉ependent phosphorylation of Niban regulates nucleophosmin鈥恆nd MDM2鈥恗ediated p53 stability and cell apoptosis. In EMBO Rep on 2012 Jun 1 by Haitao Ji, Zhiyong Ding, et al..PMID: 22510990 , (2012),
PMID: 22510990
et al,Down-Regulated Exosomal MicroRNA-221 - 3p Derived From Senescent Mesenchymal Stem Cells Impairs Heart Repair. In Front Cell Dev Biol on 2020 May 5 by Ling Sun, Wenwu Zhu, et al..PMID: 32432109 , (2020),
PMID: 32432109
et al,Long noncoding RNA UCA1 from hypoxia-conditioned hMSC-derived exosomes: a novel molecular target for cardioprotection through miR-873-5p/XIAP axis. In Cell Death Dis on 2020 Aug 10 by Ling Sun, Wenwu Zhu, et al..PMID:32826854 , (2020),
PMID: 32826854
et al,Xanthatin Induces Cell Cycle Arrest at G2/M Checkpoint and Apoptosis via Disrupting NF-娄脢B Pathway in A549 Non-Small-Cell Lung Cancer Cells. , (2012),
PMID: 22450683
et al,Nordihydroguaiaretic acid inhibits growth of cervical cancer SiHa cells by up-regulating p21.In Oncol Lett on 2011 Jan by Peng Gao, Fei Zhai,et al..PMID:22870140 , (2011),
PMID: 22870140
et al,Application of HEMA-AAm copolymer to achieve faster optical tissue transparency for 2D/3D fluorescence imaging , (2025),
PMID: 40181114

注释

应用

  • WB免疫印迹
  • IHC免疫组化
  • IF免疫荧光
  • ICC免疫细胞化学
  • FC流式细胞
  • IP免疫沉淀
  • E酶联免疫吸附法
  • DB免疫斑点法
  • ChIP染色质免疫沉淀
  • GICA胶体金免疫层析法
  • NC阴性对照

种属反应性

  • Hu
  • Ms小鼠
  • Rt大鼠
  • Dm果蝇
  • C线虫
  • Mk
  • Rb
  • B
  • D
  • P
  • Hm仓鼠
  • ChHm中国仓鼠
  • Chk
;

联系我们

Location :

南京市高新开发区星火路10号人才大厦C座

Phone :

400-9961-933
025-58868422

Email Address

info@sabbiotech.com