免费电话:400-9961-933
邮箱:info@sabbiotech.com
欢迎光临本站
川博智能体 English
位置: 首页 > 多克隆抗体 > Tau Antibody

Tau Antibody#21093

是否有货: 有货
产品详情

产品名称Tau Antibody

来源种属Rabbit

克隆性Polyclonal

纯化Antibodies were produced by immunizing rabbits with synthetic peptide and KLH conjugates. Antibodies were purified by affinity-chromatography using epitope-specific peptide.

应用WB;IHC;IF;ELISA

种属反应性Human;Mouse;Rat

特异性The antibody detects endogenous level of total Tau protein.

免疫原类型Peptide-KLH

免疫原描述Peptide sequence around aa. 394~398 (Y-K-S-P-V) derived from Human Tau.

基因/蛋白名称Tau

标记Unconjugated

别名Neurofibrillary tangle protein; Paired helical filament-tau;

数据库入口号Swiss-Prot: P10636
NCBI Protein: NP _001116538.1

Uniprot P10636

计算分子量48 62 78 kDa

实际分子量50-80kDa

浓度1.0mg/ml

配方Supplied at 1.0mg/mL in phosphate buffered saline (without Mg2+ and Ca2+), pH 7.4, 150mM NaCl, 0.02% sodium azide and 50% glycerol.

保存Store at -20°C for long term preservation (recommended). Store at 4°C for short term use.

应用详情
WB 1:500-1:2000; IHC 1:100-1:300; IF 1:50-1:500; ELISA 1:20000;
Western blot analysis of extracts from Mouse brain using Tau Antibody.
Western blot analysis of extracts from A172, hela cells using Tau Antibody.
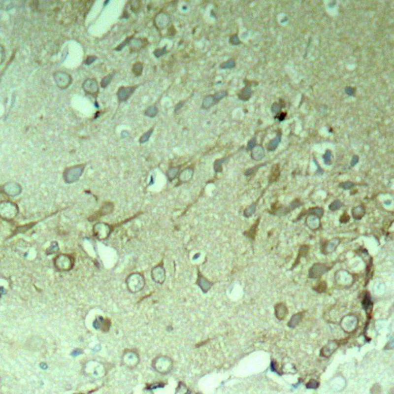
Immunohistochemical analysis of paraffin-embedded rat hippocampal region tissue from a model with Alzheimer using Tau Antibody.
Immunofluorescence staining of methanol-fixed Hela cells using Tau Antibody.
Immunofluorescence analysis of U-251 MG cells using Tau Rabbit pAb at dilution of 1:100 (40x lens). Blue: DAPI for nuclear staining.
Immunofluorescence analysis of rat brain using Tau Rabbit pAb at dilution of 1:100 (40x lens). Blue: DAPI for nuclear staining.
Immunofluorescence analysis of mouse brain using Tau Rabbit pAb at dilution of 1:100 (40x lens). Blue: DAPI for nuclear staining.
Promotes microtubule assembly and stability, and might be involved in the establishment and maintenance of neuronal polarity. The C-terminus binds axonal microtubules while the N-terminus binds neural plasma membrane components, suggesting that tau functions as a linker protein between both. Axonal polarity is predetermined by tau localization (in the neuronal cell) in the domain of the cell body defined by the centrosome. The short isoforms allow plasticity of the cytoskeleton whereas the longer isoforms may preferentially play a role in its stabilization.

Puig B, et al. (2005) Acta Neuropathol (Berl). 110(3):261-268.
DeGiorgis JA, et al. (2005) J Proteome Res. 4(2): 306-315.
Alonso Adel C, et al. (2004) J Biol Chem. 279(33): 34873-34881.

如果您使用该产品21093发表了文章,请通知我们,让我们可以引用您的文献。

et al,Tau hyperphosphorylation is associated with memory impairment after exposure to 1.5% isoflurane without temperature maintenance in rats.In Eur J Anaesthesiol on 2010 Sep by Tan W, Cao X, et al..PMID:20485178 , (2010),
PMID: 20485178
et al,Protective effects of lithium treatment for spatial memory deficits induced by tau hyperphosphorylation in splenectomized rats.In Clin Exp Pharmacol Physiol on 2010 Oct by Tan WF, Cao XZ,et al..PMID:20659131 , (2010),
PMID: 20659131
et al,Chronic Cold-Water-Induced Hypothermia Impairs Memory Retrieval and Nepeta Menthoides as a Traditional "Hot" Herb Reverses the Impairment.In Iran J Pharm Res on Winter 2014 by Mohammad Mahdi ,Ahmadian-Attar et al..PMID:24711845 , (2014),
PMID: 24711845
et al,Impairment of rat spatial learning and memory in a new model of cold water-induced chronic hypothermia: implication for Alzheimer's disease.In Neurotox Res on 2015 Aug by Mohammad Mahdi Ahmadian-Attari, Leila Dargahi et al..PMID:25782579 , (2015),
PMID: 25782579
et al,Capsaicin consumption reduces brain amyloid-beta generation and attenuates Alzheimer's disease-type pathology and cognitive deficits in APP/PS1 mice. In Transl Psychiatry on 2020 Jul 13 by Jun Wang, Bin-Lu Sun,et al..PMID:32661266 , (2020),
PMID: 32661266
et al,Oleocanthal enhances amyloid-尾 clearance from the brains of TgSwDI mice and in vitro across a human blood-brain barrier model. In ACS Chem Neurosci on 2015 Nov 18 by Hisham Qosa, Yazan S Batarseh,et al..PMID:26348065 , (2015),
PMID: 26348065
et al,Improving Blood Monocyte Energy Metabolism Enhances Its Ability to Phagocytose Amyloid-β and Prevents Alzheimer's Disease-Type Pathology and Cognitive Deficits , (2023),
PMID: 37316674
查看更多
et al,Erythropoietin attenuates Alzheimer-like memory impairments and pathological changes induced by amyloid 尾42 in mice.In Brain Res on 2015 Aug 27 by Yi-Pei Li, Guo-Jun Yang et al..PMID:26049128 , (2015),
PMID: 26049128
et al,Fingolimod ameliorates amyloid deposition and neurodegeneration in APP/PS1 mouse model of Alzheimer's disease. , (2025),
PMID: 40158900
et al,Gypenoside IX restores Akt/GSK-3β pathway and alleviates Alzheimer's disease-like neuropathology and cognitive deficitsInAging (Albany NY)On2023 Dec 12byLing Lei?1?2,?Yong Luo et al..PMID:?38095632 , (2023),
PMID: 38095632

注释

应用

  • WB免疫印迹
  • IHC免疫组化
  • IF免疫荧光
  • ICC免疫细胞化学
  • FC流式细胞
  • IP免疫沉淀
  • E酶联免疫吸附法
  • DB免疫斑点法
  • ChIP染色质免疫沉淀
  • GICA胶体金免疫层析法
  • NC阴性对照

种属反应性

  • Hu
  • Ms小鼠
  • Rt大鼠
  • Dm果蝇
  • C线虫
  • Mk
  • Rb
  • B
  • D
  • P
  • Hm仓鼠
  • ChHm中国仓鼠
  • Chk
;

联系我们

Location :

南京市高新开发区星火路10号人才大厦C座

Phone :

400-9961-933
025-58868422

Email Address

info@sabbiotech.com