免费电话:400-9961-933
邮箱:info@sabbiotech.com
欢迎光临本站
川博智能体 English
位置: 首页 > 多克隆抗体 > Rb Antibody

Rb Antibody#21109

是否有货: 有货
产品详情

产品名称Rb Antibody

来源种属Rabbit

克隆性Polyclonal

纯化Antibodies were produced by immunizing rabbits with synthetic peptide and KLH conjugates. Antibodies were purified by affinity-chromatography using epitope-specific peptide.

应用WB IHC

种属反应性Human;Mouse;Rat

特异性The antibody detects endogenous level of total Rb protein.

免疫原类型Peptide-KLH

免疫原描述Peptide sequence around aa.805~809 (Y-I-S-P-L) derived from Human Rb.

基因/蛋白名称Rb

标记Unconjugated

别名P105-RB; PP105; PP110; RB-1; RB1

数据库入口号Swiss-Prot: P06400
NCBI Protein: NP_000312.2

Uniprot P06400

计算分子量106kDa

实际分子量106kDa

浓度1.0mg/ml

配方Supplied at 1.0mg/mL in phosphate buffered saline (without Mg2+ and Ca2+), pH 7.4, 150mM NaCl, 0.02% sodium azide and 50% glycerol.

保存Store at -20°C for long term preservation (recommended). Store at 4°C for short term use.

应用详情
WB 1:500-1:2000; IHC 1:50-1:200;
Western blot analysis of extracts from K562 cells using Rb Antibody.
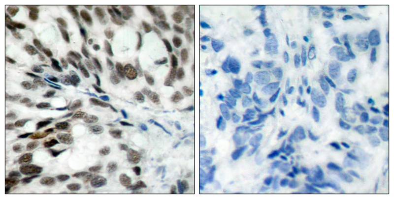
Immunohistochemical analysis of paraffin-embedded human breast carcinoma tissue using Rb Antibody(left) or the same antibody preincubated with blocking peptide(right).
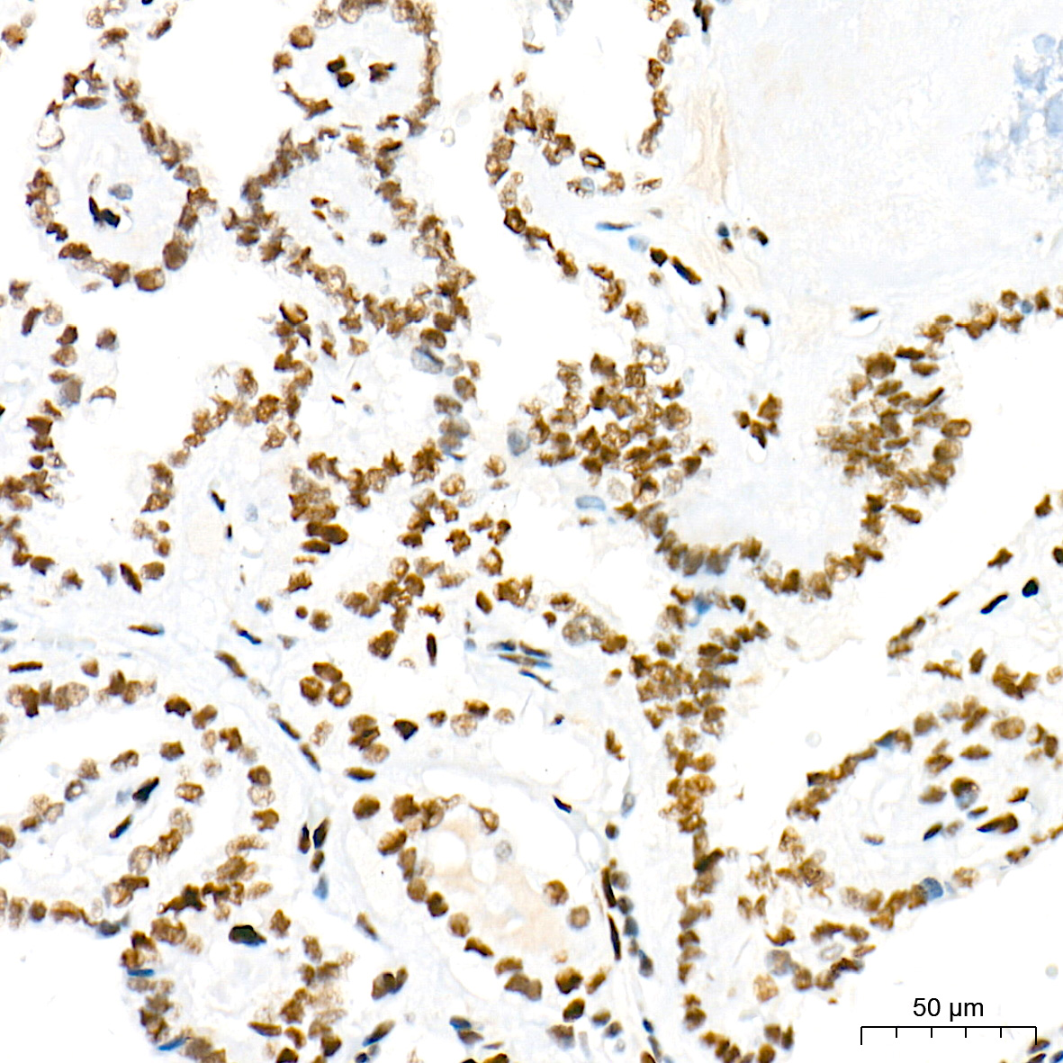
Immunohistochemical analysis of paraffin-embedded Mouse lung tissue using Rb Antibody.Negative control was used by secondary antibody only
Immunohistochemical analysis of paraffin-embedded Human colon tissue using Rb Antibody.
Immunohistochemical analysis of paraffin-embedded Human placenta tissue using Rb Antibody.
Immunohistochemical analysis of paraffin-embedded Human thyroid cancer tissue using Rb Antibody.
Rb operates in the midst of the cell cycle clock apparatus. Its main role is to act as a signal transducer connecting the cell cycle clock with the transcriptional machinery (Ref.1). It plays an important role in the Rb/ E2F pathway in cell proliferation, cell fate determination, and cancer (Ref.2). Cellular senescence is a stable form of cell cycle arrest that limits proliferation of damaged cells and act as a natural barrier to cancer progression. A distinct heterochromatic structure that accumulates in senescent human fibroblasts, designated as SAHF (Senescence-Associated Heterochromatic Foci). SAHF formation coincides with recruitment of heterochromatin proteins and the Rb protein to E2F-responsive promoters and is associated with the stable repression of E2F target genes. Both SAHF formation and the silencing of E2F target genes depended on the integrity of the Rb pathway and do not occur in reversibly arrested cells (Ref.3). Rb activates transcription of the c-Jun gene through the SP1-binding site within the c-Jun promoter

Roesch A, et al. (2005) Mod Pathol. 18(4): 565-572.
Chadee DN, et al. (2004) Nat Cell Biol. 6(8): 770-776.
Knudsen ES, et al. (1997) Mol Cell Biol. 17(10): 5771-5783.
Knudsen ES, et al. (1996) J Biol Chem. 271(14): 8313-8320.

如果您使用该产品21109发表了文章,请通知我们,让我们可以引用您的文献。

et al,MS4a4B, a CD20 Homologue in T Cells, Inhibits T Cell Propagation by Modulation of Cell Cycle. , (2010),
PMID: 21072172
et al,Luteolin induced G2 phase cell cycle arrest and apoptosis on non-small cell lung cancer cells.In Toxicol In Vitro on 2011 Oct by Cai X, Ye T,et al..PMID:21601631 , (2011),
PMID: 21601631
et al,Vinpocetine Inhibits Breast Cancer Cells Growth in Vitro and in Vivo.In Apoptosis on 2012 Oct by Er-Wen Huang, Sheng-Jiang Xue, et al..PMID:22729609 , (2012),
PMID: 22729609
et al,MS4a4B, a CD20 homologue in T cells, inhibits T cell propagation by modulation of cell cycle. In PLoS One on 2010 Nov 1 by Hui Xu, Yaping Yan, et al..PMID:21072172 , (2010),
PMID: 21072172
et al,Nuclear distribution of claudin-2 increases cell proliferation in human lung adenocarcinoma cells.In Biochim Biophys Acta on 2014 Sep by Akira Ikari, Ryo Watanabe et al..PMID: 24907662 , (2014),
PMID: 24907662
et al,EEN regulates the proliferation and survival of multiple myeloma cells by potentiating IGF-1 secretion.In Biochem Biophys Res Commun on 2014 May 2 by Er-Wen Huang , Sheng-Jiang Xue et al ..PMID: 24704450 , (2014),
PMID: 24704450
et al,T-helper-1-cell Cytokines Drive Cancer Into Senescence. In Nature on 2013 Feb 21 by Heidi Braum眉ller, Thomas Wieder, et al..PMID: 23376950 , (2013),
PMID: 23376950
查看更多
et al,The reversal effect of Ginsenoside Rh2 on drug resistance in human colorectal carcinoma cells and its mechanism. In Hum Cell.On 2018 Jul by Liu GW, Liu YH et al..PMID:29582366 , (2018),
PMID: 29582366

注释

应用

  • WB免疫印迹
  • IHC免疫组化
  • IF免疫荧光
  • ICC免疫细胞化学
  • FC流式细胞
  • IP免疫沉淀
  • E酶联免疫吸附法
  • DB免疫斑点法
  • ChIP染色质免疫沉淀
  • GICA胶体金免疫层析法
  • NC阴性对照

种属反应性

  • Hu
  • Ms小鼠
  • Rt大鼠
  • Dm果蝇
  • C线虫
  • Mk
  • Rb
  • B
  • D
  • P
  • Hm仓鼠
  • ChHm中国仓鼠
  • Chk
;

联系我们

Location :

南京市高新开发区星火路10号人才大厦C座

Phone :

400-9961-933
025-58868422

Email Address

info@sabbiotech.com