免费电话:400-9961-933
邮箱:info@sabbiotech.com
欢迎光临本站
川博智能体 English
位置: 首页 > 多克隆抗体 > FoxO1 Polyclonal Antibody

FoxO1 Polyclonal Antibody#21138

是否有货: 有货
产品详情

产品名称FoxO1 Polyclonal Antibody

来源种属Rabbit

克隆性Polyclonal

纯化Antibodies were produced by immunizing rabbits with synthetic peptide and KLH conjugates. Antibodies were purified by affinity-chromatography using epitope-specific peptide.

应用WB IHC IF

种属反应性Human;Mouse;Rat

特异性The antibody detects endogenous level of total FKHR protein.

免疫原类型Peptide-KLH

免疫原描述Peptide sequence around aa.254~258 (A-A-S-M-D) derived from Human FKHR/FOXO1A.

基因/蛋白名称FKHR

标记Unconjugated

别名 FOXO1

数据库入口号Swiss-Prot: Q12778
NCBI Protein: NP_002006.2

Uniprot Q12778

计算分子量69kDa

实际分子量78-82kDa

浓度1.0mg/ml

配方Supplied at 1.0mg/mL in phosphate buffered saline (without Mg2+ and Ca2+), pH 7.4, 150mM NaCl, 0.02% sodium azide and 50% glycerol.

保存Store at -20°C for long term preservation (recommended). Store at 4°C for short term use.

应用详情
WB 1:500-2000; IHC 1:50-300; IF 1:50-300;
Western Blot analysis of extracts from Hela, 3T3 and PC12 cells using FoxO1 Polyclonal Antibody.
Immunohistochemical analysis of paraffin-embedded Human breast carcinoma tissue using FoxO1 Polyclonal Antibody(left) or the same antibody preincubated with blocking peptide(right).
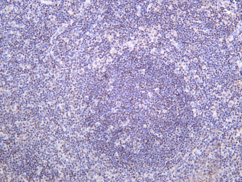
Immunohistochemical analysis of paraffin-embedded Human tonsil tissue using FoxO1 Polyclonal Antibody.
Immunofluorescence staining of methanol-fixed Hela cells using FoxO1 Polyclonal Antibody.
Immunofluorescence analysis of HEK293 cells using FoxO1 Polyclonal Antibody.Picture A:Target. Picture B: DAPI. Picture C: merge of A+B

FKHR belongs to the forkhead family of transcription factors, which are characterized by a distinct forkhead domain. It may play a role in myogenic growth and differentiation. The mammalian DAF-16-like transcription factors, FKHR, FKHRL1, and AFX, function as key regulators of insulin signaling, cell cycle progression, and apoptosis downstream of phosphoinositide 3-kinase. Gene activation through binding to insulin response sequences has been essential for mediating these functions. D-type Cyclins (in Class III) is required for FKHR mediated inhibition of cell cycle progression and transformation. FKHR gene is mapped to chromosome 13q14

Gan L, et al. (2005) J Neurochem; 93(5): 1209-19.
Smith WW, et al. (2005) J Cell Biol; 169(2): 331-9.
Di Maira G, et al. (2005) Cell Death Differ; 12(6): 668-77.
Horn S, et al. (2004) Leukemia; 18(11): 1839-49.
Zhao X, et al. (2004) Biochem J 4; 378(Pt 3): 839-49.

如果您使用该产品21138发表了文章,请通知我们,让我们可以引用您的文献。

et al,GYY4137 protects against type 2 diabetes mellitus-associated myocardial autophagy by suppressing FOXO1 signal pathway. , (2025),
PMID: 39777025
et al,Dynamic Impacts of Stock Enhancement on Kaluga Sturgeon (Huso dauricus): Novel Conservation Strategy Insights from the Gut Microbe Composition and Gene Expression Mode. , (2025),
PMID: 40003945

注释

应用

  • WB免疫印迹
  • IHC免疫组化
  • IF免疫荧光
  • ICC免疫细胞化学
  • FC流式细胞
  • IP免疫沉淀
  • E酶联免疫吸附法
  • DB免疫斑点法
  • ChIP染色质免疫沉淀
  • GICA胶体金免疫层析法
  • NC阴性对照

种属反应性

  • Hu
  • Ms小鼠
  • Rt大鼠
  • Dm果蝇
  • C线虫
  • Mk
  • Rb
  • B
  • D
  • P
  • Hm仓鼠
  • ChHm中国仓鼠
  • Chk
;

联系我们

Location :

南京市高新开发区星火路10号人才大厦C座

Phone :

400-9961-933
025-58868422

Email Address

info@sabbiotech.com