免费电话:400-9961-933
邮箱:info@sabbiotech.com
欢迎光临本站
川博智能体 English
位置: 首页 > 多克隆抗体 > MEK1/MEK2 Antibody

MEK1/MEK2 Antibody#21203

是否有货: 有货
产品详情

产品名称MEK1/MEK2 Antibody

来源种属Rabbit

克隆性Polyclonal

纯化Antibodies were produced by immunizing rabbits with synthetic peptide and KLH conjugates. Antibodies were purified by affinity-chromatography using epitope-specific peptide.

应用WB;IHC;IF

种属反应性Human;Mouse;Rat

特异性The antibody detects endogenous level of total MEK1/MEK2 protein.

免疫原类型Peptide-KLH

免疫原描述Peptide sequence around aa.215~219/219~223 (I-D-S-M-A) derived from Human MEK1/MEK2.

基因/蛋白名称MEK1/MEK2

标记Unconjugated

别名ERK activator kinase 1/ERK activator kinase2; MAP kinase kinase 1/MAP kinase kinase 2; MAP2K1/MAP2K1; MAPK/ERK kinase 1/MAPK/ERK kinase 2; MAPKK 1/MAPKK 1

数据库入口号Swiss-Prot: Q02750
NCBI Protein: NP_002746.1 NP_109587.1

Uniprot Q02750

计算分子量43, 44kDa

实际分子量44kDa

浓度1.0mg/ml

配方Supplied at 1.0mg/mL in phosphate buffered saline (without Mg2+ and Ca2+), pH 7.4, 150mM NaCl, 0.02% sodium azide and 50% glycerol.

保存Store at -20°C for long term preservation (recommended). Store at 4°C for short term use.

应用详情
WB 1:500-1:2000; IHC 1:50-1:200; IF 1:50-1:200;
Western blot analysis of extracts from U-87MG cells, Mouse brain and Rat brain using MEK1/MEK2 Antibody.
Immunohistochemical analysis of paraffin-embedded human lung carcinoma tissue using MEK1/MEK2 Antibody(left) or the same antibody preincubated with blocking peptide(right).
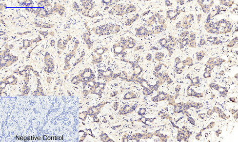
Immunohistochemical analysis of paraffin-embedded Human liver cancer tissue using MEK1/MEK2 Antibody.Negative control was used by secondary antibody only.
Immunohistochemical analysis of paraffin-embedded Rat brain tissue using MEK1/MEK2 Antibody.Negative control was used by secondary antibody only.
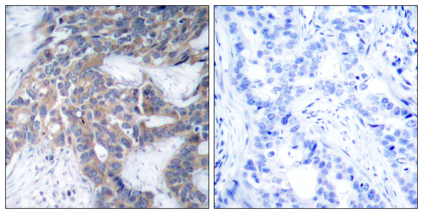
Immunohistochemistry analysis of paraffin-embedded human breast carcinoma using MEK1/MEK2 Antibody. The picture on the right is blocked with the phospho peptide.
Immunofluorescence staining of methanol-fixed Hela cells using MEK1/MEK2 Antibody.
Immunofluorescence staining of methanol-fixed U2OS cells using MEK1/MEK2 Antibody.
Catalyzes the concomitant phosphorylation of a threonine and a tyrosine residue in a Thr-Glu-Tyr sequence located in MAP kinases. Activates ERK1 and ERK2 MAP kinases.

Shen R, et al. (2002) Mol Cell Biol; 22(10): 3230-3236
Preisinger C, et al. (2005) EMBO J; 24(4): 753-765
Laine P, et al. (2000) Biochem J; 349(Pt 1): 19-25
Yaglom J, et al. (2003) Mol Cell Biol; 23(11): 3813-3824
Dahan S, et al. (2002) Infect Immun; 70(5): 2304-2310

如果您使用该产品21203发表了文章,请通知我们,让我们可以引用您的文献。

et al,UBIAD1 suppresses the proliferation of bladder carcinoma cells by regulating H-Ras intracellular trafficking via interaction with the C-terminal domain of H-Ras.In Cell Death Dis. On 2018 Dec 5 by Xu Z, Duan F et al..PMID: 30518913 , (2018),
PMID: 30518913
et al,Effect of Chaihushugan San on Expression of the Raf/mitogen-activated Protein Kinase/Extracellular Signal-Regulated Kinase Pathway in the Hippocampi of Perimenopausal Rats Induced by Immobilization Stress .In J Tradit Chin Med on 2015 Aug by Li Shengqiang, Liang Wenna et al..PMID:26427116 , (2015),
PMID: 26427116
et al,Mycoplasma ovipneumoniae induces sheep airway epithelial cell apoptosis through an ERK signalling-mediated mitochondria pathway. In BMC Microbiol on 2016 Sep 23 by Yanan Li, Zhongjia Jiang,et al..PMID:27663303 , (2016),
PMID: 27663303

注释

应用

  • WB免疫印迹
  • IHC免疫组化
  • IF免疫荧光
  • ICC免疫细胞化学
  • FC流式细胞
  • IP免疫沉淀
  • E酶联免疫吸附法
  • DB免疫斑点法
  • ChIP染色质免疫沉淀
  • GICA胶体金免疫层析法
  • NC阴性对照

种属反应性

  • Hu
  • Ms小鼠
  • Rt大鼠
  • Dm果蝇
  • C线虫
  • Mk
  • Rb
  • B
  • D
  • P
  • Hm仓鼠
  • ChHm中国仓鼠
  • Chk
;

联系我们

Location :

南京市高新开发区星火路10号人才大厦C座

Phone :

400-9961-933
025-58868422

Email Address

info@sabbiotech.com