免费电话:400-9961-933
邮箱:info@sabbiotech.com
欢迎光临本站
川博智能体 English
位置: 首页 > 多克隆抗体 > Smad3 Antibody

Smad3 Antibody#21325

是否有货: 有货
产品详情

产品名称Smad3 Antibody

来源种属Rabbit

克隆性Polyclonal

纯化Antibodies were produced by immunizing rabbits with synthetic peptide and KLH conjugates. Antibodies were purified by affinity-chromatography using epitope-specific peptide.

应用WB;IHC;IF

种属反应性Human;Mouse;Rat

特异性The antibody detects endogenous level of total Smad3 protein.

免疫原类型Peptide-KLH

免疫原描述Peptide sequence around aa.423~427 (C-S-S-V-S) derived from Human Smad3.

基因/蛋白名称Smad3

标记Unconjugated

别名JV15-2; MAD-3; MADH3; Mad3; Mothers against DPP homolog 3

数据库入口号Swiss-Prot: P84022
NCBI Protein: NP_001138574.1

Uniprot P84022

计算分子量48kDa

实际分子量50kDa

浓度1.0mg/ml

配方Supplied at 1.0mg/mL in phosphate buffered saline (without Mg2+ and Ca2+), pH 7.4, 150mM NaCl, 0.02% sodium azide and 50% glycerol.

保存Store at -20°C for long term preservation (recommended). Store at 4°C for short term use.

应用详情
WB 1:500-1:2000; IHC 1:50-1:200; IF 1:50-1:200;
Western blot analysis of extracts from HT29, Hela cells and mouse brain using Smad3 Antibody.
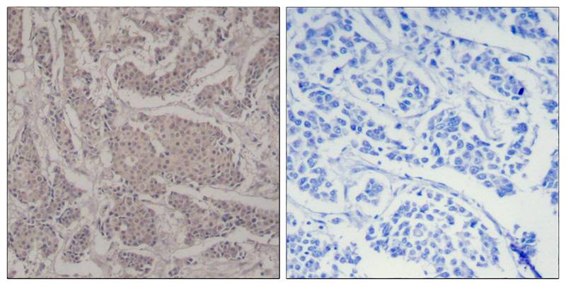
Immunohistochemical analysis of paraffin-embedded human breast carcinoma tissue using Smad3 Antibody(left) or the same antibody preincubated with blocking peptide(right).
Immunohistochemistry analysis of paraffin-embedded human colon colon tissue using Smad3 Antibody.
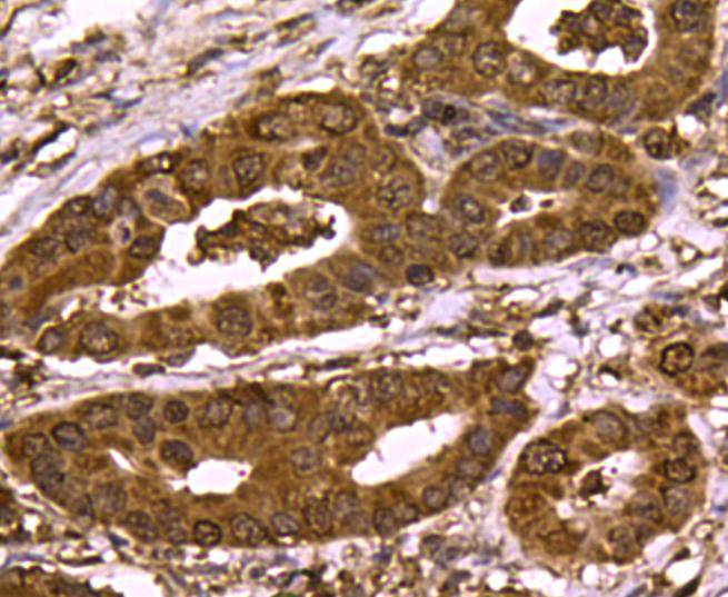
Immunohistochemistry analysis of paraffin-embedded human stomach carcinoma tissue using Smad3 Antibody.
Immunohistochemistry analysis of paraffin-embedded Rat intestine tissue using Smad3 Antibody.
Immunofluorescence staining of methanol-fixed Hela cells using Smad3 Antibody.
Immunofluorescence staining of methanol-fixed HCT116 cells using Smad3 Antibody.
Immunofluorescence staining of methanol-fixed HepG2 cells using Smad3 Antibody.
Immunofluorescence staining of methanol-fixed NIH/3T3 cells using Smad3 Antibody.

Smad3 encoded by this gene belongs to the SMAD, a family of proteins similar to the gene products of the Drosophila gene 'mothers against decapentaplegic' (Mad) and the C. elegans gene Sma. SMAD proteins are signal transducers and transcriptional modulators that mediate multiple signaling pathways. This protein functions as a transcriptional modulator activated by transforming growth factor-beta and is thought to play a role in the regulation of carcinogenesis.

Shi W, et al. J Cell Sci. 2007 Apr 1;120(Pt 7):1216-24
Seong HA, et al. J Biol Chem. 2007 Apr 20;282(16):12272-89
Wordinger RJ, et al. Invest Ophthalmol Vis Sci. 2007 Mar;48(3):1191-200
LeClair RJ, et al. Circ Res. 2007 Mar 30;100(6):826-33

如果您使用该产品21325发表了文章,请通知我们,让我们可以引用您的文献。

et al,TGF β1 mediated Smad signaling pathway and EMT in hepatic fibrosis induced by Nano NiO in vivo and in vitro.In Environ Toxicol on 2020 Apr by Zhang Q, Chang X ,et al..PMID: 31737983 , (2020),
PMID: 31737983

注释

应用

  • WB免疫印迹
  • IHC免疫组化
  • IF免疫荧光
  • ICC免疫细胞化学
  • FC流式细胞
  • IP免疫沉淀
  • E酶联免疫吸附法
  • DB免疫斑点法
  • ChIP染色质免疫沉淀
  • GICA胶体金免疫层析法
  • NC阴性对照

种属反应性

  • Hu
  • Ms小鼠
  • Rt大鼠
  • Dm果蝇
  • C线虫
  • Mk
  • Rb
  • B
  • D
  • P
  • Hm仓鼠
  • ChHm中国仓鼠
  • Chk
;

联系我们

Location :

南京市高新开发区星火路10号人才大厦C座

Phone :

400-9961-933
025-58868422

Email Address

info@sabbiotech.com