免费电话:400-9961-933
邮箱:info@sabbiotech.com
欢迎光临本站
川博智能体 English
位置: 首页 > 鼠单克隆抗体 > Myc Mouse Monoclnal Antibody

Myc Mouse Monoclnal Antibody#21390

是否有货: 有货
产品详情

产品名称Myc Mouse Monoclnal Antibody

来源种属Mouse

克隆性Monoclonal

亚型IgG2b,Kappa

纯化Protein G

应用WB;IHC;IF;ELISA

种属反应性Human;Mouse;Rat

特异性This antibody detects endogenous levels of c-MYC protein.

免疫原描述Synthesized peptide derived from human c-MYC

基因/蛋白名称Myc

标记Unconjugated

别名c-myc

数据库入口号Swiss-Prot: P01106
NCBI Protein: NP_002458.2

Uniprot P01106

Gene ID 4609

计算分子量48kDa

实际分子量57kDa

浓度1mg/ml

配方PBS, 50% glycerol, 0.05% Proclin 300, 0.05%BSA

保存Store at -20℃/1 year

应用详情
WB 1:500-2000; IHC 1:200-1000; IF 1:100-500; ELISA 1:1000-5000
Western blot analysis of extracts from 293 cells transfected with recombinant human Myc using Myc mouse mAb #21390.
Whole cell lysates of MDCK were separated by 12% SDS-PAGE, and the membrane was blotted with anti-C-Myc antibody.
Whole cell lysates of NIH-3T3 were separated by 12% SDS-PAGE, and the membrane was blotted with anti-C-Myc antibody.
Whole cell lysates of A549 were separated by 12% SDS-PAGE, and the membrane was blotted with anti-C-Myc antibody.
Human prostate tissue was stained with Anti-c-MYC Antibody
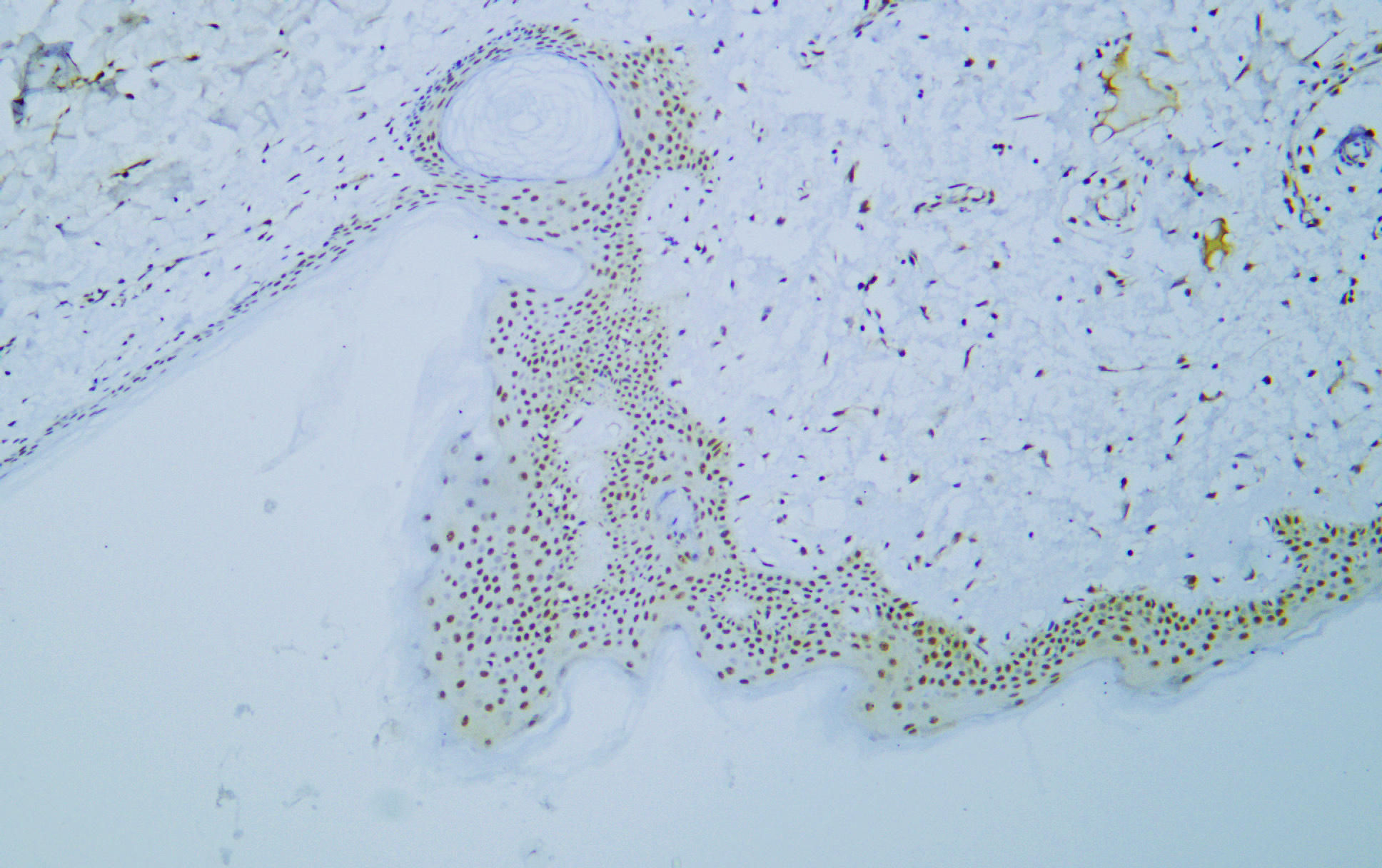
Human skin tissue was stained with Anti-c-MYC Antibody
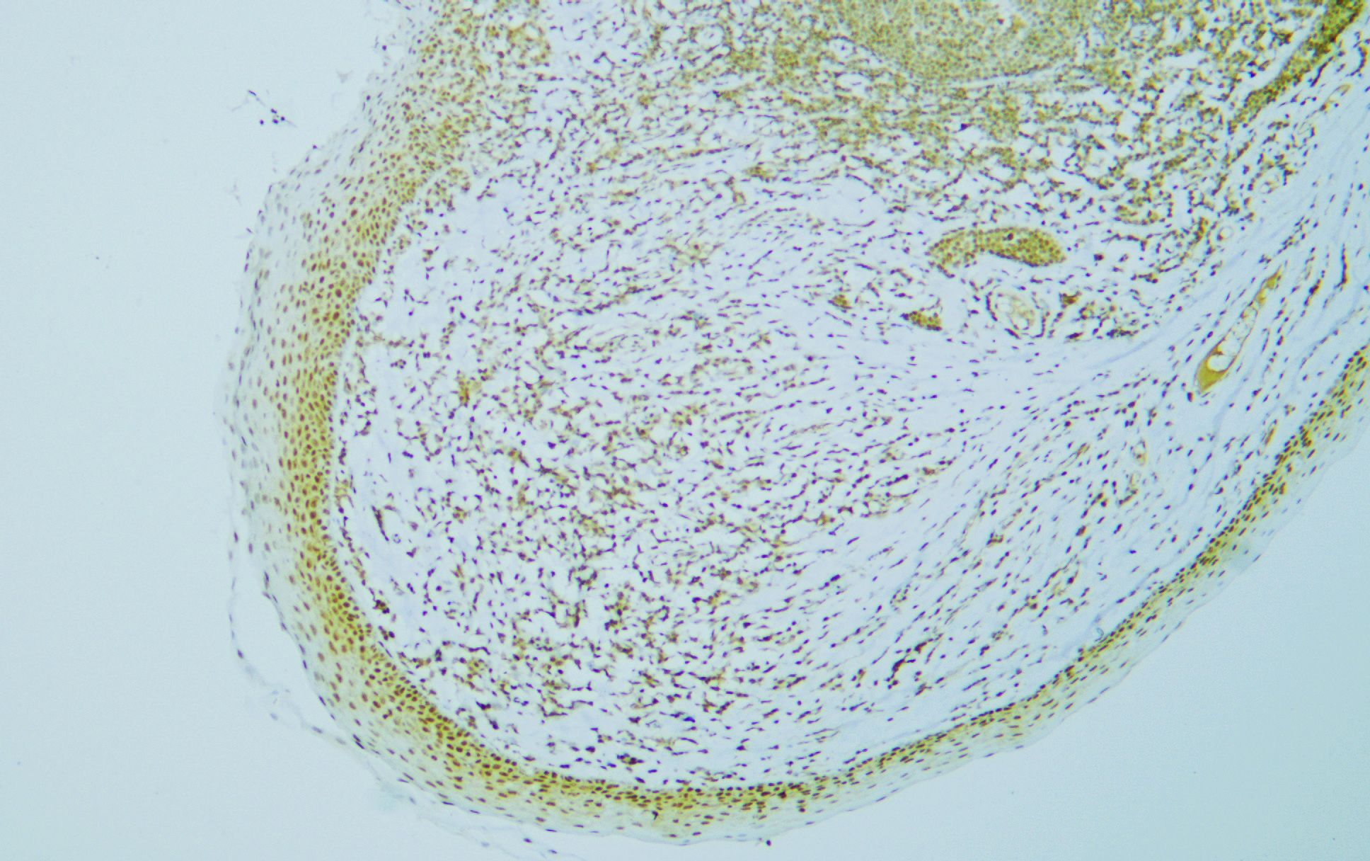
Human tonsil tissue was stained with Anti-c-MYC Antibody
Myc proto-oncogene encodes nuclear DNA-binding phosphoproteins that are involved in the regulation of gene expression and DNA replication during cell growth and differentiation. Myc encodes a protein of 65 kDa which is expressed in almost all normal and transformed cells. The expression correlates with the proliferation state of the cells. Transcription is repressed in quiescent or terminally differentiated cells. Expression of Myc is generally induced after mitogenic stimulation of cells or serum induction. Myc therefore is an important positive regulator of cell growth and proliferation. Myc has been demonstrated also to be a potent inducer of apoptosis when expressed in the absence of serum or growth factors. Apoptosis may serve also as a protective mechanism to prevent tumorigenicity elicited by deregulated Myc expression. Sequences of the Myc oncogene have been highly conserved throughout evolution, from Drosophila to vertebrates

Baudino T A, et al. (2001) Mol Cell Biol. 21: 691-702.
Blackwood E M, et al. (1991) Science. 251:1211-1217.
Henriksson M, et al. (1996) Adv Cancer Res. 68: 109-182.
Grandori C, et al. (2000) Annu Rev Cell Dev Biol. 16: 653-699.

如果您使用该产品21390发表了文章,请通知我们,让我们可以引用您的文献。

et al,ERK1/2-dependent phosphorylation and nuclear translocation of PKM2 promotes the Warburg effect.In Nat Cell Biol on 2012 Dec by Weiwei Yang, Yanhua Zheng,et al..PMID:23178880 , (2012),
PMID: 23178880
et al,Inhibition of DNA-PK enhances chemosensitivity of B-cell precursor acute lymphoblastic leukemia cells to doxorubicin.In Biomed Pharmacother on 2017 Oct by Fatemeh Alikarami , Majid Safa,et al..PMID: 28821159 , (2017),
PMID: 28821159

注释

应用

  • WB免疫印迹
  • IHC免疫组化
  • IF免疫荧光
  • ICC免疫细胞化学
  • FC流式细胞
  • IP免疫沉淀
  • E酶联免疫吸附法
  • DB免疫斑点法
  • ChIP染色质免疫沉淀
  • GICA胶体金免疫层析法
  • NC阴性对照

种属反应性

  • Hu
  • Ms小鼠
  • Rt大鼠
  • Dm果蝇
  • C线虫
  • Mk
  • Rb
  • B
  • D
  • P
  • Hm仓鼠
  • ChHm中国仓鼠
  • Chk
;

联系我们

Location :

南京市高新开发区星火路10号人才大厦C座

Phone :

400-9961-933
025-58868422

Email Address

info@sabbiotech.com