免费电话:400-9961-933
邮箱:info@sabbiotech.com
欢迎光临本站
川博智能体 English
位置: 首页 > 多克隆抗体 > PI3 Kinase p85/p55 Antibody

PI3 Kinase p85/p55 Antibody#21508

是否有货: 有货
产品详情

产品名称PI3 Kinase p85/p55 Antibody

来源种属Rabbit

克隆性Polyclonal

纯化Antibodies were produced by immunizing rabbits with synthetic peptide and KLH conjugates. Antibodies were purified by affinity-chromatography using epitope-specific peptide.

应用IHC

种属反应性Human;Mouse;Rat

特异性The antibody detects endogenous level of total PI3 Kinase p85/p55 protein.

免疫原类型Peptide-KLH

免疫原描述Peptide sequence around aa.465~469(L-Y-E-E-Y) derived from Human PI3 Kinase p85/p55.

基因/蛋白名称PI3 Kinase p85/p55

标记Unconjugated

别名p85, AGM7, p85-ALPHA, p55, p55-GAMMA

数据库入口号Swiss-Prot: P27986 Q92569
NCBI Protein: NP_001229395.1 NP_001107644.1

Uniprot P27986

浓度1.0mg/ml

配方Supplied at 1.0mg/mL in phosphate buffered saline (without Mg2+ and Ca2+), pH 7.4, 150mM NaCl, 0.02% sodium azide and 50% glycerol.

保存Store at -20°C for long term preservation (recommended). Store at 4°C for short term use.

应用详情
IHC 1:50-200;
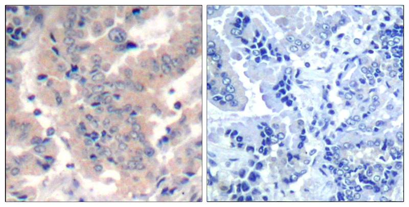
Immunohistochemical analysis of paraffin-embedded Human lung carcinoma tissue using PI3 Kinase p85/p55 Antibody(left) or the same antibody preincubated with blocking peptide(right).
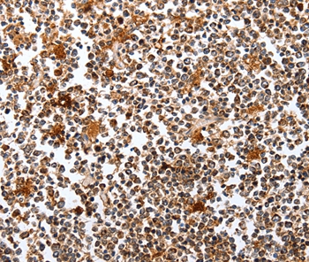
Immunohistochemical analysis of paraffin-embedded Human tonsil cancer tissue using PI3 Kinase p85/p55 Antibody.
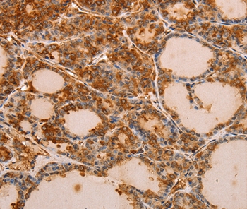
Immunohistochemical analysis of paraffin-embedded Human thyroid cancer tissue using PI3 Kinase p85/p55 Antibody.
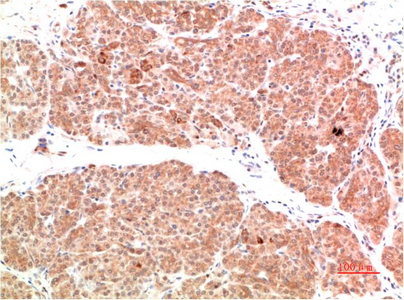
Immunohistochemical analysis of paraffin-embedded Human Pancreas Carcinoma tissue using PI3 Kinase p85/p55 Antibody.
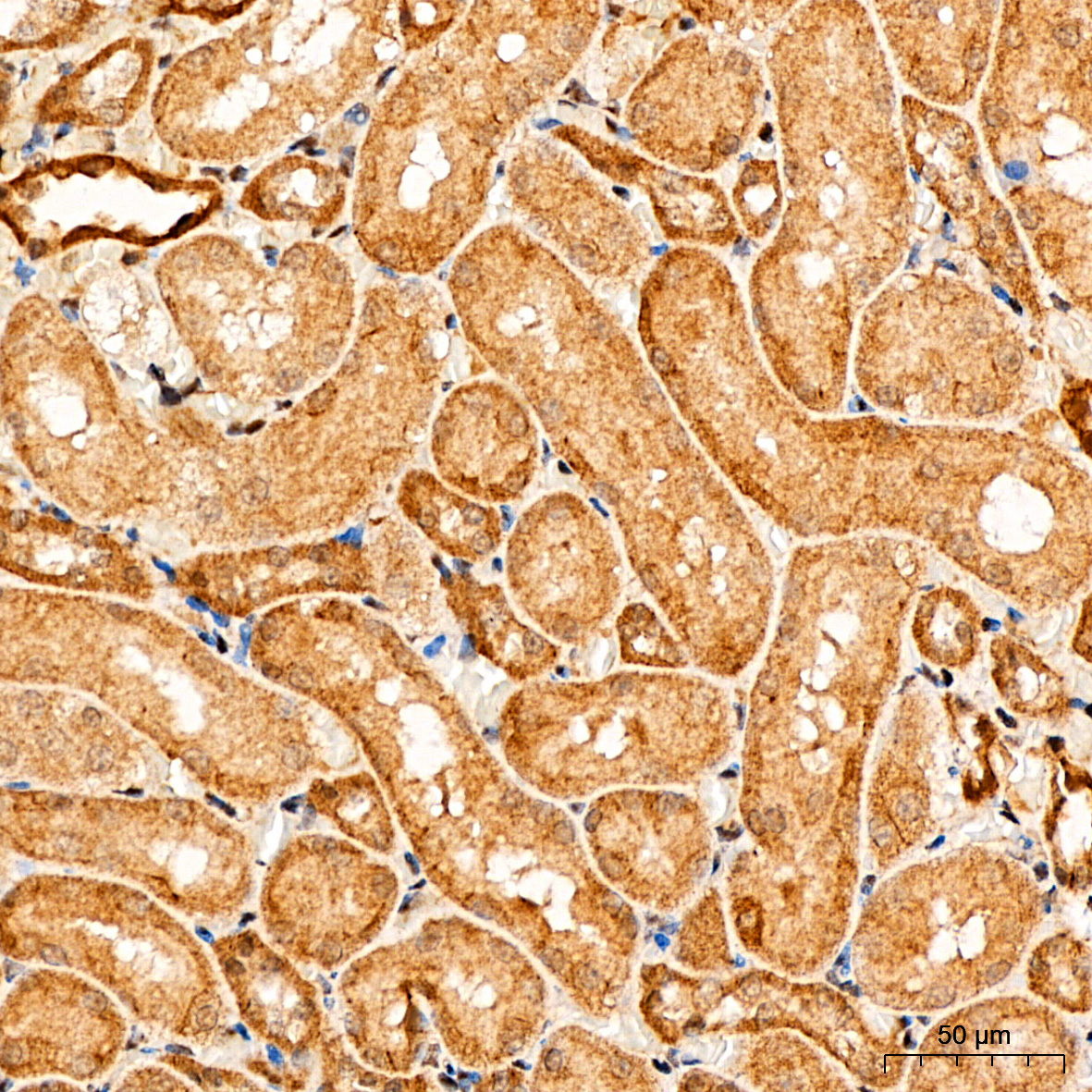
Immunohistochemical analysis of paraffin-embedded Rat kidney tissue using PI3 Kinase p85/p55 Antibody.

PI3K binds to activated (phosphorylated) protein-Tyr kinases, through its SH2 domain, and acts as an adapter, mediating the association of the p110 catalytic unit to the plasma membrane. Necessary for the insulin-stimulated increase in glucose uptake and glycogen synthesis in insulin-sensitive tissues.

Stoyanov, B. et al. (1995) Science 269, 690-3.
Simpson, L. and Parsons, R. (2001) Exp Cell Res 264, 29-41.
Neri, L.M. et al. (2002) Biochim Biophys Acta 1584, 73-80.

如果您使用该产品21508发表了文章,请通知我们,让我们可以引用您的文献。

et al,Fatty Acid Synthase Regulates Proliferation and Migration of Colorectal Cancer Cells via HER2-PI3K/Akt Signaling Pathway.In Nutr Cancer on 2012 Aug by Nan Li, Xiaodong Bu,et al..PMID:22860766 , (2012),
PMID: 22860766
et al,Loss of Fatty Acid Synthase Inhibits the "HER2-PI3K/Akt Axis" Activity and Malignant Phenotype of Caco-2 Cells.In Lipids Health Dis on 2013 Jun 1 by Nan Li, Heng Lu,et al..PMID:23725225 , (2013),
PMID: 23725225
et al,The 鈥淗ER2鈥揚I3K/Akt鈥揊ASN Axis锟?Regulated Malignant Phenotype of Colorectal Cancer Cells. In Lipids on 2012 Apr by Nan Li, Xiaodong Bu, et al..PMID:22218925 , (2012),
PMID: 22218925
et al,Suppression of chronic lymphocytic leukemia progression by CXCR4 inhibitor WZ811.In Am J Transl Res. On 2016 Sep 15 by SH Li, WC Dong et al..PMID:27725861 , (2016),
PMID: 27725861
et al,An alternatively spliced variant of CXCR3 mediates the metastasis of CD133+ liver cancer cells induced by CXCL9.In Oncotarget on 2016 Mar 22 by Qiang Ding, Yujia Xia et al..PMID:26883105 , (2016),
PMID: 26883105
et al,CPU-12, a novel synthesized oxazolo [5, 4-d] pyrimidine derivative, showed superior anti-angiogenic activity.In J Pharmacol Sci on 2015 Sep by Jiping Liu , Ya-Hui Deng et al..PMID: 26154846 , (2015),
PMID: 26154846

注释

应用

  • WB免疫印迹
  • IHC免疫组化
  • IF免疫荧光
  • ICC免疫细胞化学
  • FC流式细胞
  • IP免疫沉淀
  • E酶联免疫吸附法
  • DB免疫斑点法
  • ChIP染色质免疫沉淀
  • GICA胶体金免疫层析法
  • NC阴性对照

种属反应性

  • Hu
  • Ms小鼠
  • Rt大鼠
  • Dm果蝇
  • C线虫
  • Mk
  • Rb
  • B
  • D
  • P
  • Hm仓鼠
  • ChHm中国仓鼠
  • Chk
;

联系我们

Location :

南京市高新开发区星火路10号人才大厦C座

Phone :

400-9961-933
025-58868422

Email Address

info@sabbiotech.com