免费电话:400-9961-933
邮箱:info@sabbiotech.com
欢迎光临本站
川博智能体 English
位置: 首页 > 多克隆抗体 > GAPDH Antibody

GAPDH Antibody#21612

是否有货: 有货
产品详情

产品名称GAPDH Antibody

来源种属Rabbit

克隆性Polyclonal

纯化Antibodies were produced by immunizing rabbits with synthetic peptide and KLH conjugates. Antibodies were purified by affinity-chromatography using epitope-specific peptide.

应用WB;IHC;IF

种属反应性Human;Mouse;Rat;Rabbit;Monkey;Sheep;Fish;Chicken;Guinea Pig;Duck

特异性The antibody detects endogenous level of total GAPDH protein.

免疫原类型Peptide-KLH

免疫原描述Peptide sequence around aa.252~256(P-A-K-Y-D) derived from Human GAPDH.

基因/蛋白名称GAPDH

标记Unconjugated

别名G3PD; GAPD; MGC88685

数据库入口号Swiss-Prot: P04406
NCBI Protein: NP_002037.2

Uniprot P04406

浓度1.0mg/ml

配方Supplied at 1.0mg/mL in phosphate buffered saline (without Mg2+ and Ca2+), pH 7.4, 150mM NaCl, 0.02% sodium azide and 50% glycerol.

保存Store at -20°C for long term preservation (recommended). Store at 4°C for short term use.

应用详情
WB 1:5000-10000;
IHC 1:200;
IF 1:50-200
Western blot analysis of extract from Hela, 293 and 3T3 cells using GAPDH Antibody #21612
Western blot analysis of extracts of various cell lines, using GAPDH antibody at 1:20000 dilution.
Sample (30 ug of whole cell lysate)
A: Jurkat
B: Raji
C: 293T
D: A431
E: HeLa
F: HepG2
G: H1299
H: HCT116
I: MCF-7
J: NT2D1
K: PC-3
L: U87-MG
10% SDS PAGE
Primary antibody diluted at 1: 10000
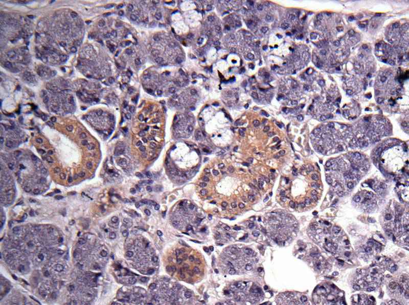
Immunohistochemical analysis of Salivary gland cancer, using GAPDH antibody at 1: 500 dilution.
Confocal immunofluorescence analysis (Olympus FV10i) of paraformaldehyde-fixed HeLa, using GAPDH antibody (green) at 1: 500 dilution and alpha-tubulin antibody (red) at 1: 2000.
Western Blot analysis of NIH-3T3 HepG2 MCF7 cells using GAPDH Polyclonal Antibody
Western blot analysis of GAPDH on different lysates using anti-GAPDH antibody at 1/1,000 dilution.
Positive control:
Lane 1: Ribbit liver tissue
Lane 2: Zebrafish
Lane 3: NCCIT
Lane 4: Mouse heart tissue

Has both glyceraldehyde-3-phosphate dehydrogenase and nitrosylase activities, thereby playing a role in glycolysis and nuclear functions, respectively. Participates in nuclear events including transcription, RNA transport, DNA replication and apoptosis. Nuclear functions are probably due to the nitrosylase activity that mediates cysteine S-nitrosylation of nuclear target proteins such as SIRT1, HDAC2 and PRKDC By similarity. Glyceraldehyde-3-phosphate dehydrogenase is a key enzyme in glycolysis that catalyzes the first step of the pathway by converting D-glyceraldehyde 3-phosphate (G3P) into 3-phospho-D-glyceroyl phosphate.

Ercolani L., Florence B., Denaro M., Alexander M. J. Biol. Chem. 263:15335-15341(1988)
Tisdale E.J.J. Biol. Chem. 277:3334-3341(2002)

如果您使用该产品21612发表了文章,请通知我们,让我们可以引用您的文献。

et al,Expression and secretion of neuregulin-1 in cardiac microvascular endothelial cells treated with angiogenic factors .In Exp Ther Med.On 2018 Apr by Wu C, Gui C et al..PMID:29545886 , (2018),
PMID: 29545886
et al,Astragalus polysaccharides exerts anti-infective activity by inducing human cathelicidin antimicrobial peptide LL-37 in respiratory epithelial cells.In Phytother Res. On 2018 Aug by Zhao L, Tan S et al..PMID: 29672953 , (2018),
PMID: 29672953
et al,Mansonone E from Mansonia gagei Inhibited α-MSH-Induced Melanogenesis in B16 Cells by Inhibiting CREB Expression and Phosphorylation in the PI3K/Akt Pathway,In Biol Pharm Bull.On 2018 by Nishina A, Miura A et al..PMID: 29709914 , (2018),
PMID: 29709914
et al,Co-culture with TM4 cells enhances the proliferation and migration of rat adipose-derived mesenchymal stem cells with high stemness.In Cytotechnology.On 2018 Oct by Luo Y1, Mohsin A et al..PMID:30032334 , (2018),
PMID: 30032334
et al,The inconsistent regulation of HOXC13 on different keratins and the regulation mechanism on HOXC13 in cashmere goat (Capra hircus).In BMC Genomics. On 2018 Aug 23 by Wang S, Luo Z et al..PMID: 30139327 , (2018),
PMID: 30139327
et al,Paclitaxel promotes lung cancer cell apoptosis via MEG3-P53 pathway activation.In Biochem Biophys Res Commun. On 2018 Sep 26 by Xu J, Su C et al..PMID:30173893 , (2018),
PMID: 30173893
et al,Tanshinone IIA Attenuates Insulin Like Growth Factor 1 -Induced Cell Proliferation in PC12 Cells through the PI3K/Akt and MEK/ERK Pathways.In Int J Mol Sci. On 2018 Sep 12 by Wang H, Su X et al..PMID: 30213025 , (2018),
PMID: 30213025
查看更多
et al,miR?199b?5p inhibits triple negative breast cancer cell proliferation, migration and invasion by targeting DDR1.In Oncol Lett. On 2018 Oct by Wu A1, Chen Y et al..PMID:30250555 , (2018),
PMID: 30250555
et al,Possible Involvement of alpha B-crystallIn In the cardioprotective effect of n-butanol extract of Potentilla anserIna L. on myocardial ischemia/reperfusion Injury In rat. In PhytomedicIne on 2019 Mar 1 by Zhang L, Jian LL, et al.. PMID:30940361 , (2019),
PMID: 30940361
et al,ThapsigargIn Induces apoptosis In adrenocortical carcInoma by activatIng endoplasmic reticulum stress and the JNK signalIng pathway: an In vitro and In vivo study. In Drug Des Devel Ther on 2019 Aug 12 by Wu L, Huang X, et al..PMID:31496655 , (2019),
PMID: 31496655
et al,Tri ortho cresyl phosphate (TOCP) induced reproductive toxicity involved in placental apoptosis, autophagy and oxidative stress in pregnant mice.In Environ Toxicol on 2020 Jan; by Yang B, Wang X, et al..PMID:31566301 , (2020),
PMID: 31566301
et al,Tauroursodeoxycholic acid mediates endoplasmic reticulum stress and autophagy In adrenocortical carcInoma cells. In Oncol Lett. on 2019 Dec by Huang X, Wu L, et al..PMID:31814847 , (2019),
PMID: 31814847
et al,Phytoestrogens protect joints in collagen induced arthritis by increasing IgG glycosylation and reducing osteoclast activation.In Int Immunopharmacol on 2020 Mar 12 by Du N, Song L, et al..PMID:32172207 , (2020),
PMID: 32172207
et al,Cardamonin Protects Septic Mice From Acute Lung Injury by Preventing Endothelial Barrier Dysfunction.In J Biochem Mol Toxicol on 2012 Jul by Zhifeng Wei, Jian Yang,et al..PMID:22696397 , (2012),
PMID: 22696397
et al,Palmitic acid triggers cell apoptosis in RGC-5 retinal ganglion cells through the Akt/FoxO1 signaling pathway.In Metab Brain Dis on 2017 Apr by Panshi Yan, Shu Tang,et al..PMID: 27928692 , (2017),
PMID: 27928692
et al,The atypical antipsychotic agent, clozapine, protects against corticosterone-induced death of PC12 cells by regulating the Akt/FoxO3a signaling pathway.In Mol Neurobiol on 2017 Jul by Zhiwen Zeng, Xue Wang,et al..PMID: 27173157 , (2017),
PMID: 27173157
et al,The DEAD-Box RNA Helicase DDX3 Interacts With M 6 A RNA Demethylase ALKBH5.In Stem Cells Int on 2017 Nov 23 by Abdullah Shah, Farooq Rashid ,et al..PMID: 29333169 , (2017),
PMID: 29333169
et al,Combined Effects of Starvation and Butyrate on Autophagy-Dependent Gingival Epithelial Cell Death.In J Periodontal Res on 2017 Jun by M Evans, T Murofushi,et al..PMID: 27624546 , (2017),
PMID: 27624546
et al,LAMC1 mRNA Promotes Malignancy of Hepatocellular Carcinoma Cells by Competing for MicroRNA-124 Binding With CD151.In IUBMB Life on 2017 Aug by Zhan-Po Yang, Hong-Shun Ma,et al..PMID:28524360 , (2017),
PMID: 28524360
et al,Propofol Postconditioning Attenuates Hippocampus Ischemia-Reperfusion Injury via Modulating JAK2/STAT3 Pathway in Rats After Autogenous Orthotropic Liver Transplantation.In Brain Res on 2017 Feb 15 by Lili Jia, Fei Wang,et al..PMID: 27998796 , (2017),
PMID: 27998796
et al,Fenofibrate suppressed proliferation and migration of human neuroblastoma cells via oxidative stress dependent of TXNIP upregulation.In Biochem Biophys Res Commun on 2015 May 15 by Cunjin Su, Aiming Shi et al..PMID:25839662 , (2015),
PMID: 25839662
et al,Fermentation of soy milk via Lactobacillus plantarum improves dysregulated lipid metabolism in rats on a high cholesterol diet.In PLoS One on 2014 Feb 10 by Yunhye Kim, Sun Yoon et al..PMID:24520358 , (2014),
PMID: 24520358
et al,Lithium ions attenuate serum-deprivation-induced apoptosis in PC12 cells through regulation of the Akt/FoxO1 signaling pathways.In Psychopharmacology (Berl).On 2015 Dec 2 by Zhiwen Zeng, Haitao Wang et al..PMID: 26626328 , (2015),
PMID: 26626328
et al,IGF-1 signaling via the PI3K/Akt pathway confers neuroprotection in human retinal pigment epithelial cells exposed to sodium nitroprusside insult.In Drug Des Devel Ther.On 2015 Sep 4 by Chunyang Du , Yonghong Shi et al..PMID:26379423 , (2015),
PMID: 26379423
et al, MicroRNA-497 suppresses cell proliferation and induces apoptosis through targeting PBX3 in human multiple myeloma.In Am J Cancer Res on 2016 Dec 1 by Tianhua Yu , Xuanhe Zhang et al..PMID:28042507 , (2016),
PMID: 28042507
et al,miR-137 and miR-197 induce apoptosis and suppress tumorigenicity by targeting MCL-1 in multiple myeloma.In Clin Cancer Res on 2015 May 15 by Yijun Yang , Fei Li et al..PMID:25724519 , (2015),
PMID: 25724519
et al,Combinational treatment of curcumin and quercetin against gastric cancer MGC-803 cells in vitro Molecules on 2015 Jun 22 by Jian-Ye Zhang , Min-Ting Lin et al..PMID:26111180 , (2015),
PMID: 26111180
et al,Prostaglandin E2 promotes human cholangiocarcinoma cell proliferation, migration and invasion through the upregulation of 尾-catenin expression via EP3-4 receptor.In Oncol Rep on 2015 Aug Oct by Mingzhan Du, Feng Shi ,et al..PMID: 26058972 , (2016),
PMID: 26058972
et al, Prostaglandin E2 promotes hepatocellular carcinoma cell invasion through upregulation of YB-1 protein expression.In Int J Oncol on 2014 Mar by Hai Zhang, Shanyu Cheng, et al..PMID: 24378923 , (2016),
PMID: 24378923
et al,Genistein upregulates LDLR levels via JNK-mediated activation of SREBP-2.In Food Nutr Res on 2016 May 20 by Medicia Kartawijaya, Hye Won Han et al..PMID: 27211318 , (2016),
PMID: 27211318
et al,Blockade of Orai1 Store-Operated Calcium Entry Protects Against Renal Fibrosis .In J Am Soc Nephrol on 2016 Oct by Xiaoyi Mai, Jinyan Shang et al..PMID: 26940090 , (2016),
PMID: 26940090
et al,Nerve growth factor protects retinal ganglion cells against injury induced by retinal ischemia鈥搑eperfusion in rats.In Growth Factors on 2015 Apr by Qian Chen , Haitao Wang et al..PMID: 25707536 , (2015),
PMID: 25707536
et al,Liganded retinoic acid X receptor 伪 represses connexin 43 through a potential retinoic acid response element in the promoter region.In Pediatr Res on 2016 Jul by Ruoyi Gu , Jun Xu et al..PMID:26991262 , (2016),
PMID: 26991262
et al,Transcription factor Nrf1 is negatively regulated by its O-GlcNAcylation status.In FEBS Lett on 2015 Aug 19 by Jiayu Chen, Xiping Liu et al..PMID: 26231763 , (2015),
PMID: 26231763
et al,PIK3C2A mRNA functions as a miR-124 sponge to facilitate CD151 expression and enhance malignancy of hepatocellular carcinoma cells.In Oncotarget on 2016 Jul 12 by Tao Liu , Cai-Hua Zu et al..PMID: 27270320 , (2016),
PMID: 27270320
et al,IL12p40 Regulates Functional Development of Human CD4+ T Cells Enlightenment by the Elevated Expressions of IL12p40 in Patients With Inflammatory Bowel Diseases.In Medicine (Baltimore) on 2015 Mar by Xiaobing Wang, Ting Wu et al..PMID:25761185 , (2015),
PMID: 25761185
et al,MiRNA-29a as a tumor suppressor mediates PRIMA-1Met-induced anti-myeloma activity by targeting c-Myc. In Oncotarget on 2016 Feb 9 by Manujendra N Saha, Jahangir Abdi, et al..PMID: 26771839 , (2016),
PMID: 26771839
et al,PAQR3 modulates cholesterol homeostasis by anchoring Scap/SREBP complex to the Golgi apparatus. In Nat Commun on 2015 Aug 27 by Daqian Xu, Zheng Wang,et al..PMID:26311497 , (2015),
PMID: 26311497
et al,Increased striatal adenosine A2A receptor levels is an early event in Parkinson's disease-related pathology and it is potentially regulated by miR-34b. In Neurobiol Dis on 2014 Sep by S铆lvia Porta, Sandra P Buira,et al..PMID:24892887 , (2014),
PMID: 24892887
et al,Soluble advanced glycosylation receptor is apotential target for the treatment of neutrophilic asthma. , (2020),
PMID:
et al,Nicotinamide mononucleotide (NMN) protects bEnd.3 cells against H2O2-induced damage via NAMPT and the NF-kB p65 signalling pathway. In FEBS Open Bio on 2021 Mar by Xiujun Deng, Xinghuan Liang, et al..PMID:33340447 , (2020),
PMID: 33340447
et al,Glycogen Phosphorylase B Is Regulated by miR101-3p and Promotes Hepatocellular Carcinoma Tumorigenesis. In Front Cell Dev Biol on 2020 Nov 25 by Guangying Cui, Huifen Wang, et al..PMID:33324633 , (2020),
PMID: 33324633
et al,Administration of low-dose resveratrol attenuated hepatic inflammation and lipid accumulation in high cholesterol-fructose diet-induced rat model of nonalcoholic fatty liver disease. In Chin J Physiol on Jul-Aug 2020 by Chih-Chun Chang, Chieh-Yu Chang,et al..PMID:32859881 , (2020),
PMID: 32859881
et al,Curcumin induces apoptosis and inhibits the growth of adrenocortical carcinoma: Identification of potential candidate genes and pathways by transcriptome analysis. In Oncol Lett on 2021 Jun by Xuemei Huang, Chunfeng Liang,et al..PMID:33907586 , (2021),
PMID: 33907586
et al,sRAGE Inhibits the Mucus Hypersecretion in a Mouse Model with Neutrophilic Asthma. In Immunol Invest on 2021 May 21 by Xiaobo Zhang, Jun Xie,et al..PMID:34018452 , (2021),
PMID: 34018452
et al,miR锟?9a锟?p regulates the epithelial鈥憁esenchymal transition via the SPARC/ERK signaling pathway in human bronchial epithelial cells. In Int J Mol Med on 2021 Sep by Xiaobo Zhang, Jun Xie et al..PMID: 34278471 , (2021),
PMID: 34278471
et al,Nicotinamide mononucleotide (NMN) protects bEnd.3 cells against H2O2-induced damage via NAMPT and the NF-魏B p65 signalling pathway. In FEBS Open Bio on 2021 Mar by Xiujun Deng, Xinghuan Liang,et al..PMID:33340447 , (2021),
PMID: 33340447
et al,Bioactive glass promotes the barrier functional behaviors of keratinocytes and improves the Re-epithelialization in wound healing in diabetic rats. In Bioact Mater on 2021 Mar 21 by Fengling Tang, Junliang Li, et al..PMID:33817423 , (2021),
PMID: 33817423
et al,Alleviative Effect of Alpha-Lipoic Acid on Cognitive Impairment in High-Fat Diet and Streptozotocin-Induced Type 2 Diabetic Rats. In Front Aging Neurosci on 2021 Nov 12 by Chih-Yuan Ko, Jian-Hua Xu,et al..PMID:34867302 , (2021),
PMID: 34867302
et al,MiR-221-3p-mediated downregulation of MDM2 reverses the paclitaxel resistance of non-small cell lung cancer in vitro and in vivo. In Eur J Pharmacol on 2021 May 15 by Liwei Ni, Jianhao Xu,et al..PMID:33771522 , (2021),
PMID: 33771522
et al,miR-143/145 inhibits Th9 cell differentiation by targeting NFATc1. In Mol Immunol on 2021 Apr by Xin Qiu, Qiuyue Shi,et al..PMID:33446394 , (2021),
PMID: 33446394
et al,Kuanxiong aerosol inhibits apoptosis and attenuates isoproterenol-induced myocardial injury through the mitogen-activated protein kinase pathway. In J Ethnopharmacol on 2021 Apr 6 by Yan Lu, Meiling Yang,et al..PMID:33359915 , (2021),
PMID: 33359915
et al,Baicalein suppresses growth of non-small cell lung carcinoma by targeting MAP4K3. In Biomed Pharmacother on 2021 Jan by Jian Li, Lijun Yan,et al..PMID:33166766 , (2021),
PMID: 33166766
et al,Deficiency of coiled-coil domain containing 80 increases plasma cholesterol by decreasing fecal sterols excretion in hypercholesterolemic mice. In J Nutr Biochem on 2021 Dec by Wenyun Li, Zhuo Sun,et al..PMID:34563664 , (2021),
PMID: 34563664
et al,Expression of functional thyroid-stimulating hormone receptor in microglia. In Ann Endocrinol (Paris) on 2021 Dec 9 by Yuping Liu, Haiyan Yang,et al..PMID:34896340 , (2021),
PMID: 34896340
et al,METTL3 Depletion Contributes to HR+/HER2- Breast Cancer Progression and Drug Resistance via m6A Modification of Constituents of the CDKN1A/EMT and BAX/caspase-9/-3/-8 Signalling Pathways , (2021),
PMID:
et al,1,10-Seco-Eudesmane sesquiterpenoids as a new type of anti-neuroinflammatory agents by suppressing TLR4/NF-魏B/MAPK pathways. In Eur J Med Chem on 2021 Nov 15 by Jiang-Jiang Tang, Min-Ran Wang, et al..PMID:34315042 , (2021),
PMID: 34315042
et al,Treponema denticola Induces Neuronal Apoptosis by Promoting Amyloid-β Accumulation in Mice. In Pathogens on 2022 Oct 5 by Linrui Wu, Xinyi Su, et al..PMID: 36297207 , (2022),
PMID: 36297207
et al,Double-Edged Sword Effect of Pyroptosis: The Role of Caspase-1/-4/-5/-11 in Different Levels of Apical Periodontitis. In Biomolecules on 2022 Nov 8 by Zhiwu Wu, Mingming Li,et al..PMID:36359010 , (2022),
PMID: 36359010
et al,Penetrating Macrophage-Based Nanoformulation for Periodontitis Treatment. In ACS Nano on 2022 Nov 22 by Na Yan, Junchao Xu, et al..PMID:36288552 , (2022),
PMID: 36288552
et al,Expression of functional thyroid-stimulating hormone receptor in microgliaExpression du récepteur fonctionnel de l’hormone thyréostimulante dans la microglie , (2022),
PMID:
et al,Period 2 Suppresses the Malignant Cellular Behaviors of Colorectal Cancer Through the Epithelial-Mesenchymal Transformation Process. In Cancer Control on 2022 Jan-Dec by Yubo Xiong, Yifan Zhuang,et al..PMID:35220799 , (2022),
PMID: 35220799
et al,Endothelial Transient Receptor Potential Canonical Channel Regulates Angiogenesis and Promotes Recovery After Myocardial Infarction. In J Am Heart Assoc on 2022 Mar 15 by Xin Wen, Yidi Peng, et al..PMID:35253458 , (2022),
PMID: 35253458
et al,Curved Nanofiber Network Induces Cellular Bridge Formation to Promote Stem Cell Mechanotransduction. In Adv Sci (Weinh) on 2023 Jan by Qian Sun, Fang Pei, et al..PMID:36382560 , (2022),
PMID: 36382560
et al,Effects of α-Lipoic Acid on Phagocytosis of Oligomeric Beta-Amyloid1–42 in BV-2 Mouse Microglial Cells. In Front Aging Neurosci on 2022 Jan 12 by Chih-Yuan Ko, Jian-Hua Xu, et al..PMID: 35095473 , (2022),
PMID: 35095473
et al,Delayed neutrophil apoptosis may enhance NET formation in ARDS. In Respir Res on 2022 Jun 13 by Chao Song, Haitao Li,et al..PMID:35698192 , (2022),
PMID: 35698192
et al,sRAGE Inhibits the Mucus Hypersecretion in a Mouse Model with Neutrophilic Asthma. In Immunol Invest on 2022 Jul by Xiaobo Zhang, Jun Xie,et al..PMID:34018452 , (2022),
PMID: 34018452
et al,Neferine, a novel ROCK1-targeting inhibitor, blocks EMT process and induces apoptosis in non-small cell lung cancer. In J Cancer Res Clin Oncol on 2022 Aug 19 by Po Hu, Peng Wan, et al..PMID:35984492 , (2022),
PMID: 35984492
et al,Resveratrol Protects Against Nicotine-Induced Apoptosis by Enhancing Autophagy in BEAS-2B Lung Epithelial Cells , (2022),
PMID:
et al,Canonical and noncanonical pyroptosis are both activated in periodontal inflammation and bone resorption. In J Periodontal Res on 2022 Dec by Rui Zhang, Zhiwu Wu, et al..PMID:36146901 , (2022),
PMID: 36146901
et al,Combined Administration of Curcumin and Chondroitin Sulfate Alleviates Cartilage Injury and Inflammation via NF-κB Pathway in Knee Osteoarthritis Rats. In Front Pharmacol on 2022 May 19 by Ting Guan, Liu-Gang Ding, et al..PMID: 35662715 , (2022),
PMID: 35662715
et al,Insoluble Fiber in Barley Leaf Attenuates Hyperuricemic Nephropathy by Modulating Gut Microbiota and Short-Chain Fatty Acids. In Foods on 2022 Nov 2 by Yongmei Li, Lu Li, et al..PMID:36360095 , (2022),
PMID: 36360095
et al,Methyl vanillate for inhibiting the proliferation, migration, and epithelial-mesenchymal transition of ovarian cancer cells via the ZEB2/Snail signaling pathwayInTransl Cancer ResOn?2023 Apr 28byLing Wang?#?1,?Yali Miao et al..PMID:?37180664 , (2023),
PMID: 37180664
et al,S-nitrosylation of EMMPRIN influences the migration of HSCs and MMP activity in liver fibrosisInActa Biochim Biophys SinOn2023 Sep 12byXinyan Zhu?1,?Zihui Tang et al..PMID:?37700592 , (2023),
PMID: 37700592
et al,Curved Nanofiber Network Induces Cellular Bridge Formation to Promote Stem Cell MechanotransductionInAdv Sci (Weinh)On2023 JanbyQian Sun?1?2,?Fang Pei et al..PMID:?36382560 , (2023),
PMID: 36382560
et al,High-fat diet causes mitochondrial damage and downregulation of mitofusin-2 and optic atrophy-1 in multiple organsInJ Clin Biochem NutrOn2023 JulbyPeng Zheng?1,?Wenjing Ma et al..PMID:?37534099 , (2023),
PMID: 37534099
et al,METTL3 depletion contributes to tumour progression and drug resistance via N6 methyladenosine-dependent mechanism in HR+HER2—breast cancerBreast Cancer Res2023 Feb 10Dengjie Ouyang, Tao Hong et al..PMID:36765397 , (2023),
PMID: 36765397
et al,Iridium nanozyme-mediated photoacoustic imaging-guided NIR-II photothermal therapy and tumor microenvironment regulation for targeted eradication of cancer stem cellsInActa BiomaterOn2023 DecbyYuying Yao , Zhuangzhuang Zhao et al..PMID:37852456 , (2023),
PMID: 37852456
et al,Low-dose atorvastatin protects skeletal muscle mitochondria in high-fat diet-fed mice with mitochondrial autophagy inhibition and fusion enhancementIn Eur J PharmacolOn2023 Nov 15byPeng Zheng , Qian Zhang et al..PMID:37806539 , (2023),
PMID: 37806539
et al,Exploration of anti‑osteosarcoma activity of asiatic acid based on network pharmacology and in vitro experiments. In Oncol Rep on 2024 Feb by He Pang, Hang Wu,et al..PMID:38186298 , (2024),
PMID: 38186298
et al,Tauroursodeoxycholic acid mediates endoplasmic reticulum stress and autophagy in adrenocortical carcinoma cells , (2019),
PMID: 31814847
et al,Artemisinin alleviates astrocyte overactivation and neuroinflammation by modulating the IRE1/NF-κB signaling pathway in in vitro and in vivo Alzheimer's disease models. , (2025),
PMID: 39826816
et al,Xinyin tablets affect mitophagy and cardiomyocyte apoptosis to alleviate chronic heart failure by regulating histone deacetylase 3(HDAC3)-mediated PTEN induced putative kinase 1(PINK1)/Parkin signaling pathway. , (2025),
PMID: 40122315
et al,Focal Adhesion Regulation as a Strategy against Kidney Fibrosis. , (2025),
PMID: 39818722
et al,Bruceine D induces apoptosis in human chronic myeloid leukemia K562 cells via mitochondrial pathway.In Am J Cancer Res on 2016 Mar 15 by Jian-Ye Zhang, Min-Ting Lin et al..PMID: 27186433 , (2016),
PMID: 27186433
et al,Differential apoptosis gene expressions of rhabdomyosarcoma cells in response to enterovirus 71 infection.In BMC Infect Dis on 2012 Nov 28 by Shi W, Li X,et al..PMID:23191987 , (2012),
PMID: 23191987
et al,The TNFR-RIPK1/RIPK3 signalling pathway mediates the effect of lanthanum on necroptosis of nerve cells , (2025),
PMID: 41142942
et al,Fluid shear stress-mediated upregulated exosomal-IGF2 promotes hepatocellular carcinoma cell migration and metastasis , (2025),
PMID: 41244125
et al,Astaxanthin alleviates oxidative stress and skeletal muscle damage by promoting mitochondrial biogenesis , (2025),
PMID: 40963587
et al,Investigating the anti-osteosarcoma effects of Patchouli alcohol through protein network mapping and in vitro experiments , (2025),
PMID: 40991530
et al,CAFs-secreted fatty acids fuel oral cancer progression via lipid raft formation , (2025),
PMID: 40840065
et al,Inhibiting cancer metastasis with water-solubilized membrane receptor CXCR4QTY-Fc as a molecular trap , (2025),
PMID: 40845831
et al,Inhibiting Rac1 signaling alleviates DSS-induced colitis by improving inflammatory response and intestinal permeability , (2025),
PMID: 40735505
et al,Identification of risk model based on glycolysis-related genes in the metastasis of osteosarcoma , (2022),
PMID: 36387908
et al,SIRT7-mediated NRF2 deacetylation promotes antioxidant response and protects against chemodrug-induced liver injury , (2025),
PMID: 40169535
et al,Phellodendrine Exerts Protective Effects on Intra-abdominal Sepsis by Inactivating AKT/NF-kB Signaling. , (2025),
PMID: 39953352
et al,Novel therapeutic insights into pathological cardiac hypertrophy: tRF-16-R29P4PE regulates PACE4 and metabolic pathways. , (2025),
PMID: 39947523
et al,Chikusetsusaponin IVa targeted YAP as an inhibitor to attenuate liver fibrosis and hepatic stellate cell activation. , (2025),
PMID: 40098188
et al,The coordinated effects of Apatinib and Tripterine on the proliferation, invasiveness and apoptosis of human hepatoma Hep3B cells.In Oncol Lett. On 2018 Jul by Li H, Fan Y et al..PMID: 29928421 , (2018),
PMID: 29928421
et al,Anti-Inflammatory effects of Ang-(1-7) via TLR4-mediated Inhibition of the JNK/FoxO1 pathway In lipopolysaccharide-stimulated RAW264.7?cells. In Dev Comp Immunol on 2019 Mar by Jiang M, Huang W,et al.. PMID: 30458182 , (2019),
PMID: 30458182
et al,Glutathione Might Attenuate Cadmium-Induced Liver Oxidative Stress and Hepatic Stellate Cell Activation. In Biol Trace Elem Res on 2019 Feb 4 by Ren L, Qi K, et al..PMID:30715683 , (2019),
PMID: 30715683
et al,Response of MAPK pathway to iron oxide nanoparticles in vitro treatment promotes osteogenic differentiation of hBMSCs.In Biomaterials.On 2016 Apr by Wang Q, Chen B et al..PMID:26874888 , (2016),
PMID: 26874888
et al,Oral Treponema denticola Infection Induces A尾1锟?0 and A尾1锟?2 Accumulation in the Hippocampus of C57BL/6 Mice. In J Mol Neurosci on 2021 Jul by Xinyi Su 1, Zhiqun Tang, et al..PMID: 33763842 , (2021),
PMID: 33763842
et al,Developing Light-Switchable Affibody-Based Inhibitors of Key Interactions in the p53 Network , (2024),
PMID:
et al,Magnetic iron oxide nanoparticles accelerate osteogenic differentiation of mesenchymal stem cells via modulation of long noncoding RNA INZEB2 , (2017),
PMID:
et al,Mycn ameliorates cardiac hypertrophy-induced heart failure in mice by mediating the USP2/JUP/Akt/β-catenin cascade. In BMC Cardiovasc Disord on 2024 Jan 31 by Weinian Gao, Na Guo,et al..PMID:38297207 , (2024),
PMID: 38297207
et al,The Anti-Senescence Effect and Mechanism of 17β-Estradiol on Pelvic Organ Prolapse Derived Fibroblasts , (2025),
PMID:
et al,Hydrogen sulfide-mediated persulfidation regulates homocysteine metabolism and enhances ferroptosis in non-small cell lung cancer. In Mol Cell on 2024 Oct 17 by Hualei Zheng, Huidi Chen, et al..PMID:39321805 , (2024),
PMID: 39321805
et al,Aberrant activation of the complement system in renal grafts is mediated by cold storage. In Am J Physiol Renal Physiol on 2021 Jun 1 by Sorena Lo, Li Jiang, et al..PMID:33998295 , (2021),
PMID: 33998295
et al,Fusobacterium nucleatum infection-induced neurodegeneration and abnormal gut microbiota composition in Alzheimer's disease-like rats , (2022),
PMID: 36188448
et al,Overexpression of hsa_circ_0002874 promotes resistance of non-small cell lung cancer to paclitaxel by modulating miR-1273f/MDM2/p53 pathway , (2021),
PMID: 33612481
et al,Improved Small Extracellular Vesicle Secretion of Rat Adipose-Derived Stem Cells by Microgrooved Substrates through Upregulation of the ESCRT-III-Associated Protein Alix , (2021),
PMID: 34176241
et al,Protective Mechanism of Berberine on Human Retinal Pigment Epithelial Cells against Apoptosis Induced by Hydrogen Peroxide via the Stimulation of Autophagy , (2021),
PMID: 34422209

注释

应用

  • WB免疫印迹
  • IHC免疫组化
  • IF免疫荧光
  • ICC免疫细胞化学
  • FC流式细胞
  • IP免疫沉淀
  • E酶联免疫吸附法
  • DB免疫斑点法
  • ChIP染色质免疫沉淀
  • GICA胶体金免疫层析法
  • NC阴性对照

种属反应性

  • Hu
  • Ms小鼠
  • Rt大鼠
  • Dm果蝇
  • C线虫
  • Mk
  • Rb
  • B
  • D
  • P
  • Hm仓鼠
  • ChHm中国仓鼠
  • Chk
;

联系我们

Location :

南京市高新开发区星火路10号人才大厦C座

Phone :

400-9961-933
025-58868422

Email Address

info@sabbiotech.com