产品详情
产品名称P38 MAPK Antibody
来源种属Rabbit
克隆性Polyclonal
应用WB;IHC;IF;IP;ELISA
种属反应性Human;Mouse;Rat
特异性The antibody detects endogenous level of total P38 MAPK protein.
免疫原类型Peptide-KLH
免疫原描述Peptide sequence around aa.179-183(M-T-G-Y-V) derived from Human P38 MAPK.
基因/蛋白名称P38 MAPK
标记Unconjugated
别名RK, p38, CSBP, EXIP, Mxi2
Uniprot Q16539
计算分子量41kDa
实际分子量41kDa
浓度1.0mg/ml
应用详情
WB 1:500-1:2000; IHC 1:50-1:200; IF 1:50-1:200; ELISA 1:5000-1:20000; IP 1:10-1:200;

Western blot analysis of extracts from 293, 3T3 and PC12 cells using P38 MAPK Antibody.

Western blot analysis of extracts from BxPC-3 cells, Mouse testis and Rat kidney using P38 MAPK Antibody.

Immunohistochemistry analysis of paraffin-embedded Rat Mesenteric lymph nodes using P38 MAPK Antibody.

Immunohistochemistry analysis of paraffin-embedded human brain tissue using P38 MAPK Antibody.

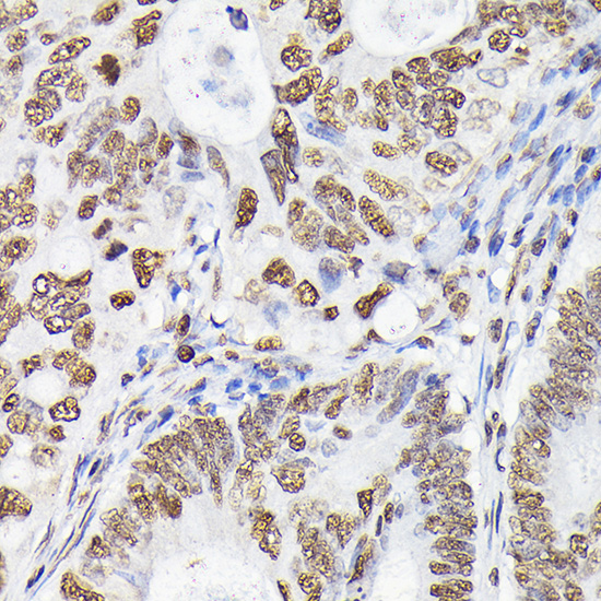
Immunohistochemistry analysis of paraffin-embedded Human colon carcinoma using P38 MAPK Antibody at dilution of 1:100 (40x lens).

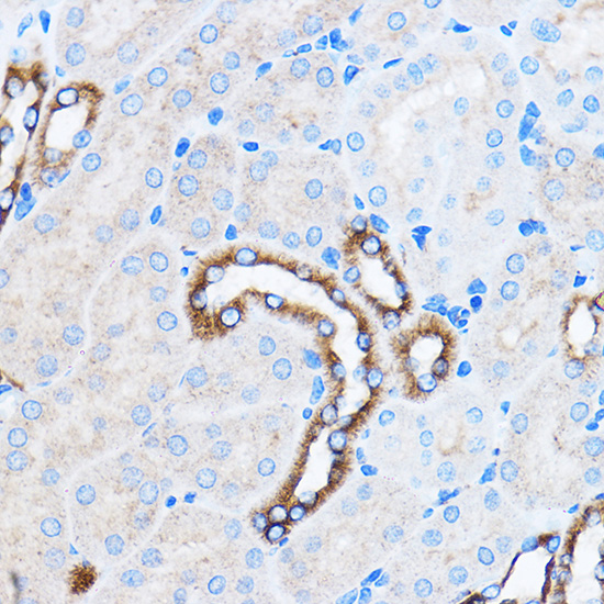
Immunohistochemistry analysis of paraffin-embedded Mouse kidney tissue using P38 MAPK Antibody.

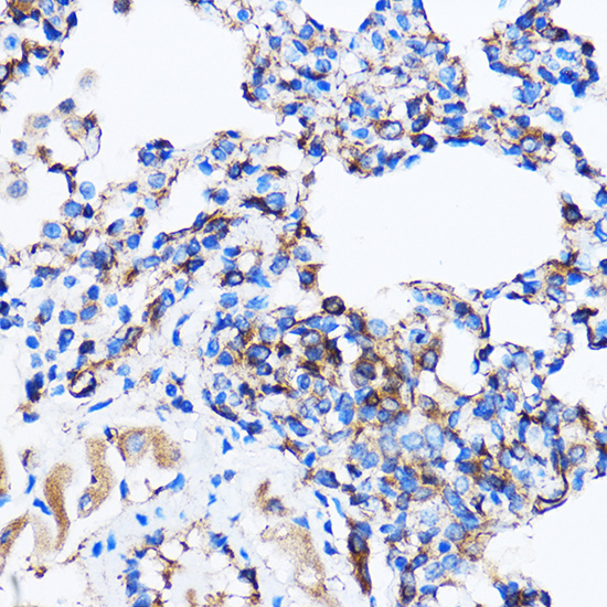
Immunohistochemistry analysis of paraffin-embedded Rat lung tissue using P38 MAPK Antibody.

Immunofluorescence analysis of Hela cells using P38 MAPK Antibody (green).DAPI for nuclear staining.

Immunofluorescence analysis of Rat Mesenteric lymph nodes using P38 MAPK Antibody (green).

Immunofluorescence analysis of NIH-3T3 cells using P38 MAPK Antibody.
Serine/threonine kinase which acts as an essential component of the MAP kinase signal transduction pathway. MAPK14 is one of the four p38 MAPKs which play an important role in the cascades of cellular responses evoked by extracellular stimuli such as proinflammatory cytokines or physical stress leading to direct activation of transcription factors. Accordingly, p38 MAPKs phosphorylate a broad range of proteins and it has been estimated that they may have approximately 200 to 300 substrates each. Some of the targets are downstream kinases which are activated through phosphorylation and further phosphorylate additional targets. RPS6KA5/MSK1 and RPS6KA4/MSK2 can directly phosphorylate and activate transcription factors such as CREB1, ATF1, the NF-kappa-B isoform RELA/NFKB3, STAT1 and STAT3, but can also phosphorylate histone H3 and the nucleosomal protein HMGN1. RPS6KA5/MSK1 and RPS6KA4/MSK2 play important roles in the rapid induction of immediate-early genes in response to stress or mitogenic stimuli, either by inducing chromatin remodeling or by recruiting the transcription machinery. On the other hand, two other kinase targets, MAPKAPK2/MK2 and MAPKAPK3/MK3, participate in the control of gene expression mostly at the post-transcriptional level, by phosphorylating ZFP36 (tristetraprolin) and ELAVL1, and by regulating EEF2K, which is important for the elongation of mRNA during translation. MKNK1/MNK1 and MKNK2/MNK2, two other kinases activated by p38 MAPKs, regulate protein synthesis by phosphorylating the initiation factor EIF4E2. MAPK14 interacts also with casein kinase II, leading to its activation through autophosphorylation and further phosphorylation of TP53/p53. In the cytoplasm, the p38 MAPK pathway is an important regulator of protein turnover. For example, CFLAR is an inhibitor of TNF-induced apoptosis whose proteasome-mediated degradation is regulated by p38 MAPK phosphorylation. In a similar way, MAPK14 phosphorylates the ubiquitin ligase SIAH2, regulating its activity towards EGLN3. MAPK14 may also inhibit the lysosomal degradation pathway of autophagy by interfering with the intracellular trafficking of the transmembrane protein ATG9. Another function of MAPK14 is to regulate the endocytosis of membrane receptors by different mechanisms that impinge on the small GTPase RAB5A. In addition, clathrin-mediated EGFR internalization induced by inflammatory cytokines and UV irradiation depends on MAPK14-mediated phosphorylation of EGFR itself as well as of RAB5A effectors. Ectodomain shedding of transmembrane proteins is regulated by p38 MAPKs as well. In response to inflammatory stimuli, p38 MAPKs phosphorylate the membrane-associated metalloprotease ADAM17. Such phosphorylation is required for ADAM17-mediated ectodomain shedding of TGF-alpha family ligands, which results in the activation of EGFR signaling and cell proliferation. Another p38 MAPK substrate is FGFR1. FGFR1 can be translocated from the extracellular space into the cytosol and nucleus of target cells, and regulates processes such as rRNA synthesis and cell growth. FGFR1 translocation requires p38 MAPK activation. In the nucleus, many transcription factors are phosphorylated and activated by p38 MAPKs in response to different stimuli. Classical examples include ATF1, ATF2, ATF6, ELK1, PTPRH, DDIT3, TP53/p53 and MEF2C and MEF2A. The p38 MAPKs are emerging as important modulators of gene expression by regulating chromatin modifiers and remodelers. The promoters of several genes involved in the inflammatory response, such as IL6, IL8 and IL12B, display a p38 MAPK-dependent enrichment of histone H3 phosphorylation on 'Ser-10' (H3S10ph) in LPS-stimulated myeloid cells. This phosphorylation enhances the accessibility of the cryptic NF-kappa-B-binding sites marking promoters for increased NF-kappa-B recruitment. Phosphorylates CDC25B and CDC25C which is required for binding to 14-3-3 proteins and leads to initiation of a G2 delay after ultraviolet radiation. Phosphorylates TIAR following DNA damage, releasing TIAR from GADD45A mRNA and preventing mRNA degradation. The p38 MAPKs may also have kinase-independent roles, which are thought to be due to the binding to targets in the absence of phosphorylation. Protein O-Glc-N-acylation catalyzed by the OGT is regulated by MAPK14, and, although OGT does not seem to be phosphorylated by MAPK14, their interaction increases upon MAPK14 activation induced by glucose deprivation. This interaction may regulate OGT activity by recruiting it to specific targets such as neurofilament H, stimulating its O-Glc-N-acylation. Required in mid-fetal development for the growth of embryo-derived blood vessels in the labyrinth layer of the placenta. Also plays an essential role in developmental and stress-induced erythropoiesis, through regulation of EPO gene expression. Isoform MXI2 activation is stimulated by mitogens and oxidative stress and only poorly phosphorylates ELK1 and ATF2. Isoform EXIP may play a role in the early onset of apoptosis.
如果您使用该产品21683发表了文章,请通知我们,让我们可以引用您的文献。
et al,Astragalus polysaccharides exerts anti-infective activity by inducing human cathelicidin antimicrobial peptide LL-37 in respiratory epithelial cells.In Phytother Res. On 2018 Aug by Zhao L, Tan S et al..PMID: 29672953 , (2018),
PMID: 29672953
PMID: 29672953
et al,Molecular mechanisms of somatostatin-mediated intestinal epithelial barrier function restoration by upregulating claudin-4 in mice with DSS-induced colitis.In Am J Physiol Cell Physiol. On 2018 Oct 1 by Cai L, Li X et al..PMID: 30020824 , (2018),
PMID: 30020824
PMID: 30020824
et al,Ajudecumin A from Ajuga ovalifolia var. calantha exhibits anti-inflammatory activity in lipopolysaccharide-activated RAW264.7 murine macrophages and animal models of acute inflammation.In Pharm Biol. On 2018 Dec by Zhang H, Ren QC et al..PMID: 31070535 , (2018),
PMID: 31070535
PMID: 31070535
et al,HMGN2 regulates non-tuberculous mycobacteria survival via modulation of M1 macrophage polarization. In J Cell Mol Med on 2019 Dec by Wang X, Chen S, et al..PMID:31596045 , (2019),
PMID: 31596045
PMID: 31596045
et al,Lidocaine Attenuates Proinflammatory Cytokine Production Induced by Extracellular Adenosine Triphosphate in Cultured Rat Microglia.In Anesth Analg on 2010 Sep by Diansan Su, Yang Gu,et al..PMID:20686009 , (2010),
PMID: 20686009
PMID: 20686009
et al,Toosendanin Induces Apoptosis Through Suppression of JNK Signaling Pathway in HL-60 Cells.In Toxicol In Vitro on 2013 Feb by Jianming Ju, Zhichao Qi,et al..PMID:23111283 , (2013),
PMID: 23111283
PMID: 23111283
et al,Role of mitogen-activated protein kinase cascades in inducible nitric oxide synthase expression by lipopolysaccharide in a rat schwann cell line. In Neurochem Res on 2009 Mar by Haibo Wang, Chun Cheng, et al..PMID: 18668365 , (2009),
PMID: 18668365
PMID: 18668365
查看更多
et al,Astragaloside IV Inhibits Isoprenaline鈥慽nduced Cardiac Fibrosis by Targeting the Reactive Oxygen Species/Mitogen鈥慳ctivated Protein Kinase Signaling Axis.In Mol Med Rep on 2017 Apr by Hongliang Dai ,Guizhi Jia ,et al..PMID:28260010 , (2017),
PMID: 28260010
PMID: 28260010
et al,Capsular polysaccharide of mycoplasma ovipneumoniae induces sheep airway epithelial cell apoptosis via ROS-dependent JNK/P38 MAPK pathways.In Oxid Med Cell Longev on 2017 Mar 7 by Zhongjia Jiang, Fuyang Song,et al..PMID: 28367270 , (2017),
PMID: 28367270
PMID: 28367270
et al,Ellagic Acid Inhibits RANKL-induced Osteoclast Differentiation by Suppressing the p38 MAP Kinase Pathway.In Arch Pharm Res on 2017 Jan by Mpho Rantlha , Travers Sagar,et al..PMID: 27384064 , (2017),
PMID: 27384064
PMID: 27384064
et al,FSTL1 as a Potential Mediator of Exercise-Induced Cardioprotection in Post-Myocardial Infarction Rats.In Sci Rep on 2016 Aug 26 by Yue Xi, Da-Wei Gong et al..PMID: 27561749 , (2016),
PMID: 27561749
PMID: 27561749
et al,The Effects of Xiangqing Anodyne Spray on treating acute soft-Tissue injury mainly depend on suppressing activations of AKT and p38 pathways.In Evid Based Complement Alternat Med on 2016 by Shudong Wang , Tao Li et al..PMID:27190541 , (2016),
PMID: 27190541
PMID: 27190541
et al,Insights in dynamic kinome reprogramming as a consequence of MEK inhibition in MLL-rearranged AML.In Leukemia on 2014 Mar by K R Kampen, A Ter Elst et al..PMID:24240200 , (2014),
PMID: 24240200
PMID: 24240200
et al,Cannabinoid receptor agonist WIN55,212-2 and fatty acid amide hydrolase inhibitor URB597 suppress chronic cerebral hypoperfusion-induced neuronal apoptosis by inhibiting c-Jun N-terminal kinase signaling.In Neuroscience 2015 Aug 20 by S-H Su , Y-F Wu et al..PMID:25795598 , (2015),
PMID: 25795598
PMID: 25795598
et al,Role of 5-HT degradation in acute liver injury induced by carbon tetrachloride. In Eur J Pharmacol on 2021 Oct 5 by Yu-Xin Zhang, Chen Li,et al..PMID:34280394 , (2021),
PMID: 34280394
PMID: 34280394
et al,Timosaponin AIII Induces G2/M Arrest and Apoptosis in Breast Cancer by Activating the ATM/Chk2 and p38 MAPK Signaling Pathways. In Front Pharmacol on 2021 Jan 15 by Minjie Zhang, Jiaxi Qu,et al..PMID:33628174 , (2021),
PMID: 33628174
PMID: 33628174
et al,Brevilin A Ameliorates Acute Lung Injury and Inflammation Through Inhibition of NF-κB Signaling via Targeting IKKα/β. In Front Pharmacol on 2022 Jun 14 by Lu Liu, Xian Chen,et al..PMID:35774606 , (2022),
PMID: 35774606
PMID: 35774606
et al,CPU-12, a novel synthesized oxazolo [5, 4-d] pyrimidine derivative, showed superior anti-angiogenic activity.In J Pharmacol Sci on 2015 Sep by Jiping Liu , Ya-Hui Deng et al..PMID: 26154846 , (2015),
PMID: 26154846
PMID: 26154846
et al,p38 mitogen-activated protein kinase inhibition modulates nucleus pulposus cell apoptosis in spontaneous resorption of herniated intervertebral discs: An experimental study in rats.In J Cardiovasc Pharmacol on 2014 Jun by Fangyuan Chen, Ning Guo et al..PMID: 24709638 , (2014),
PMID: 24709638
PMID: 24709638
et al,AMBRA1 drives gastric cancer progression through regulation of tumor plasticity , (2024),
PMID:
PMID:
et al,Nephrotoxicity induced by cisplatin is primarily due to the activation of the 5-hydroxytryptamine degradation system in proximal renal tubules , (2021),
PMID:
PMID:


有货
