免费电话:400-9961-933
邮箱:info@sabbiotech.com
欢迎光临本站
川博智能体 English
位置: 首页 > 多克隆抗体 > Histone H3 Antibody

Histone H3 Antibody#21689

是否有货: 有货
产品详情

产品名称Histone H3 Antibody

来源种属Rabbit

克隆性Polyclonal

纯化Antibodies were produced by immunizing rabbits with synthetic peptide and KLH conjugates. Antibodies were purified by affinity-chromatography using epitope-specific peptide.

应用WB;IHC;IF;IP;ELISA

种属反应性Human;Mouse;Rat

特异性The antibody detects endogenous level of total Histone H3 protein.

免疫原类型Peptide-KLH

免疫原描述Peptide sequence around aa.26-30(A-R-K-S-A) derived from Human Histone H3.

基因/蛋白名称Histone H3

标记Unconjugated

别名H3/A; H3FA

数据库入口号Swiss-Prot: P68431
NCBI Gene ID: 8350
NCBI mRNA: NM_003529.2
NCBI Protein: NP_003520.1

Uniprot P68431

计算分子量17kDa

实际分子量17kDa

浓度1.0mg/ml

配方Supplied at 1.0mg/mL in phosphate buffered saline (without Mg2+ and Ca2+), pH 7.4, 150mM NaCl, 0.02% sodium azide and 50% glycerol.

保存Store at -20°C

应用详情
WB 1:1000-1:5000; IHC 1:50-1:200; IF 1:50-1:200; ELISA 1:5000-1:20000; IP 1:50-1:200;
Western blot analysis of extracts from HT29 and C6 cells using Histone H3 Antibody.
Western blot analysis of extracts from MCF, Hela cells and Mouse lung using Histone H3 Antibody.
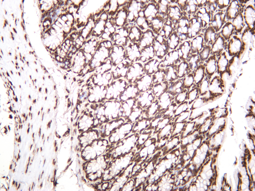
Immunohistochemical analysis of paraffin-embedded Mouse colon tissue using Histone H3 Antibody.
Immunohistochemical analysis of paraffin-embedded Rat liver tissue using Histone H3 Antibody.
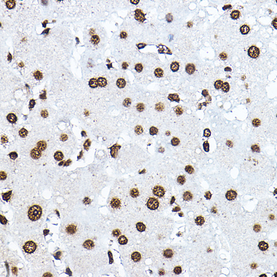
Immunohistochemical analysis of paraffin-embedded Human liver tissue using Histone H3 Antibody.
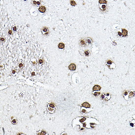
Immunohistochemical analysis of paraffin-embedded Human brain tissue using Histone H3 Antibody.
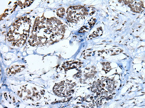
Immunohistochemical analysis of paraffin-embedded Human esophagus cancer tissue using Histone H3 Antibody.
Immunofluorescence staining of methanol-fixed Hela cells using Histone H3 Antibody.
Immunofluorescence staining of methanol-fixed Rat liver using Histone H3 Antibody.
Immunofluorescence staining of methanol-fixed MCF-7 cells using Histone H3 Antibody(green). The nuclear counter stain is DAPI (blue).

Core component of nucleosome. Nucleosomes wrap and compact DNA into chromatin, limiting DNA accessibility to the cellular machineries which require DNA as a template. Histones thereby play a central role in transcription regulation, DNA repair, DNA replication and chromosomal stability. DNA accessibility is regulated via a complex set of post-translational modifications of histones, also called histone code, and nucleosome remodeling.

 

Choi H.S., Choi B.Y., Cho Y.-Y., Zhu F., Bode A.M., Dong Z.J. Biol. Chem. 280:13545-13553(2005)
Tan M., Luo H., Lee S., Jin F., Yang J.S., Montellier E., Buchou T., Cheng Z., Rousseaux S., Rajagopal N., Lu Z., Ye Z., Zhu Q., Wysocka J., Ye Y., Khochbin S., Ren B., Zhao Y.
Cell 146:1016-1028(2011) 

 

如果您使用该产品21689发表了文章,请通知我们,让我们可以引用您的文献。

et al,Inhibitory effects of Salvianolic acid B on apoptosis of Schwann cells and its mechanism induced by intermittent high glucose , (2012),
PMID: 22036624
et al,Protective Effects of Salvianolic Acid B on Schwann Cells Apoptosis Induced by High Glucose. , (2012),
PMID: 22252725
et al,Arsenic trioxide Inhibits the differentiation of fibroblasts to myofibroblasts through nuclear factor erythroid 2-like 2 (NFE2L2) proteIn and the Smad2/3 pathway. In J Cell Physiol on 2019 Mar by Zhong L, Hao H, et al..PMID:30317545 , (2019),
PMID: 30317545
et al,The antioxidant peptide SS31 prevents oxidative stress, downregulates CD36 and improves renal function in diabetic nephropathy.In Nephrol Dial Transplant. On 2018 Nov by Hou Y, Shi Y et al..PMID: 30388276 , (2018),
PMID: 30388276
et al,Human umbilical cord mesenchymal stem cell exosomes enhance angiogenesis through the Wnt4/尾鈥恈atenin pathway銆侷n Stem Cells Transl Med on 2015 May by Bin Zhang , Xiaodan Wu et al..PMID:25824139 , (2015),
PMID: 25824139
et al,Human umbilical cord mesenchymal stem cell exosomes enhance angiogenesis through the Wnt4/β-catenin pathway. In Stem Cells Transl Med on 2015 May by Bin Zhang, Xiaodan Wu, et al..PMID: 25824139 , (2015),
PMID: 25824139
et al,EFFECTS OF GLUCOSE POLYMER INGESTION ON HIGH-INTENSITY INTERMITTENT CYCLING , (2012),
PMID:
查看更多
et al,Hybrid-Ligand Metal–Organic Frameworks Enabling Radio–Radiodynamic–Chemodynamic Therapy Primes Checkpoint Blockade Immunotherapy in Hypoxic Tumors , (2025),
PMID: 40802503

注释

应用

  • WB免疫印迹
  • IHC免疫组化
  • IF免疫荧光
  • ICC免疫细胞化学
  • FC流式细胞
  • IP免疫沉淀
  • E酶联免疫吸附法
  • DB免疫斑点法
  • ChIP染色质免疫沉淀
  • GICA胶体金免疫层析法
  • NC阴性对照

种属反应性

  • Hu
  • Ms小鼠
  • Rt大鼠
  • Dm果蝇
  • C线虫
  • Mk
  • Rb
  • B
  • D
  • P
  • Hm仓鼠
  • ChHm中国仓鼠
  • Chk
;

联系我们

Location :

南京市高新开发区星火路10号人才大厦C座

Phone :

400-9961-933
025-58868422

Email Address

info@sabbiotech.com