免费电话:400-9961-933
邮箱:info@sabbiotech.com
欢迎光临本站
川博智能体 English
位置: 首页 > 多克隆抗体 > PHKA2 antibody

PHKA2 antibody#22226

是否有货: 有货
产品详情

产品名称PHKA2 antibody

来源种属Rabbit

克隆性Polyclonal

纯化Purified by antigen-affinity chromatography.

应用WB IHC

种属反应性Human

免疫原类型Peptide

免疫原描述Synthetic peptide contain a sequence corresponding to a region within amino acids 1172 and 1235 of human PHKA2

基因/蛋白名称PHKA2

标记Unconjugated

别名PHK; PYK; XLG; PYKL; XLG2; GSD9A; MGC133071

数据库入口号NCBI Gene ID: 5256
NCBI mRNA#: NM_000292
NCBI Protein#: NP_000283

浓度1mg/ml

配方Supplied in 0.1M Tris-buffered saline with 10% Glycerol (pH7.0). 0.01% Thimerosal was added as a preservative.

保存Store at -20˚C for long term preservation (recommended). Store at 4˚C for short term use.

应用详情
Predicted MW: 138kd
Western blotting: 1:500-1:3000
Immunohistochemistry: 1:100-1:250
Sample (30 ug of whole cell lysate)
A: Hep G2
5% SDS PAGE
Primary antibody diluted at 1: 500
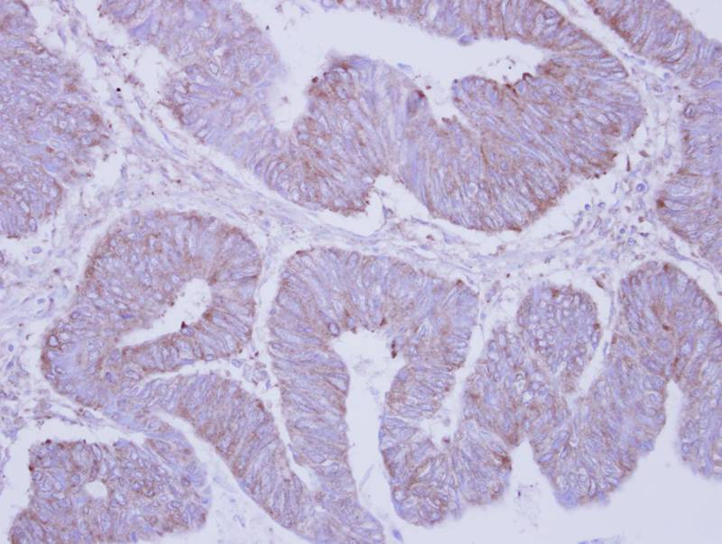
Immunohistochemical analysis of paraffin-embedded Colon ca, using PHKA2 antibody at 1: 250 dilution.

如果您使用该产品22226发表了文章,请通知我们,让我们可以引用您的文献。

et al,LXR-β regulates microglial efferocytosis and neuroinflammation in CPSP via STAT6 activation , (2025),
PMID: 40848997

注释

应用

  • WB免疫印迹
  • IHC免疫组化
  • IF免疫荧光
  • ICC免疫细胞化学
  • FC流式细胞
  • IP免疫沉淀
  • E酶联免疫吸附法
  • DB免疫斑点法
  • ChIP染色质免疫沉淀
  • GICA胶体金免疫层析法
  • NC阴性对照

种属反应性

  • Hu
  • Ms小鼠
  • Rt大鼠
  • Dm果蝇
  • C线虫
  • Mk
  • Rb
  • B
  • D
  • P
  • Hm仓鼠
  • ChHm中国仓鼠
  • Chk
;

联系我们

Location :

南京市高新开发区星火路10号人才大厦C座

Phone :

400-9961-933
025-58868422

Email Address

info@sabbiotech.com